GCP6 anticorps (AA 600-900)
Aperçu rapide pour GCP6 anticorps (AA 600-900) (ABIN7271055)
Antigène
Voir toutes GCP6 (TUBGCP6) AnticorpsReactivité
Hôte
Clonalité
Conjugué
Application
-
-
Épitope
- AA 600-900
-
Fonction
- TUBGCP6 Rabbit pAb
-
Séquence
- KTINLLKLCC PRHYLCWSDV PVPRISVIFS LEELKEIEKD CAVYVGRMER VARHSSVSKE EKELRMEIAK QELIAHAREA ASRVLSALSD RQMSERMALD ARKREQFQRL KEQFVKDQER RQAARQEELD DDFSYARELR DRERRLKSLE EELERKARQA LVDHYSKLSA EAARREQKAL WRIQRHRLES ARLRFLLEDE KHIQEMLKAV SEAHQPQEPP DVLLSVHPQV TSPGPEHPEG GQGCDSGSAE QHSPAWDGWN RPGLLTPQPL KPLAVGAGGR GLQQAEGARP FSDSLSIGDF L
-
Réactivité croisée
- Humain, Souris, Rat
-
Attributs du produit
- Polyclonal Antibodies
-
Purification
- Affinity purification
-
Immunogène
- Recombinant fusion protein containing a sequence corresponding to amino acids 600-900 of human TUBGCP6 (NP_065194.2).
-
Isotype
- IgG
-
-
-
-
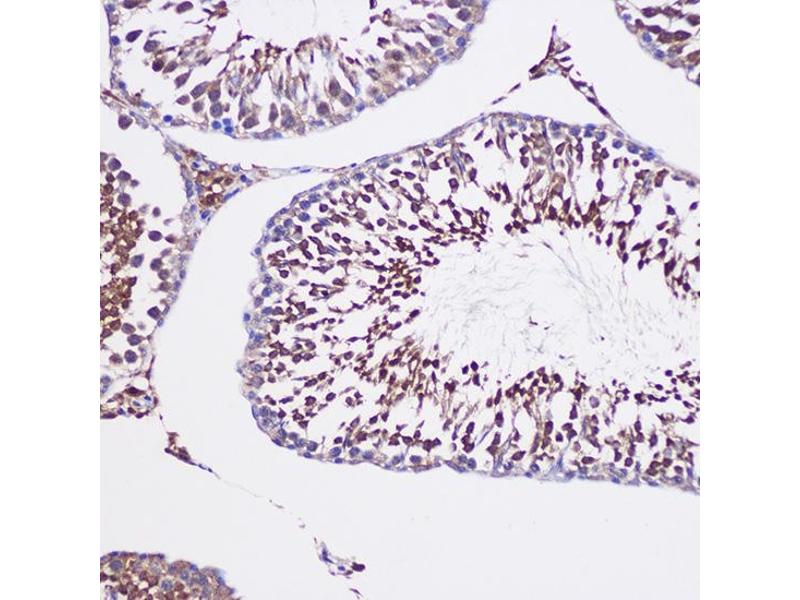
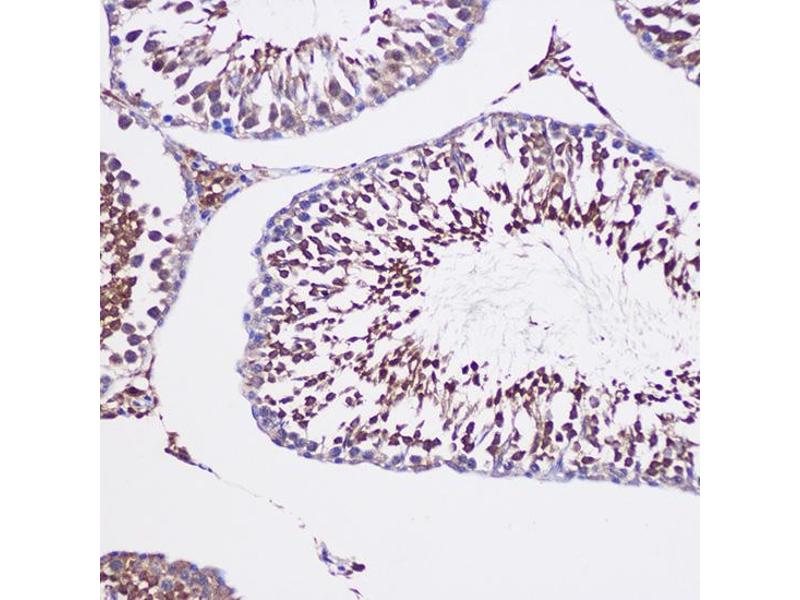
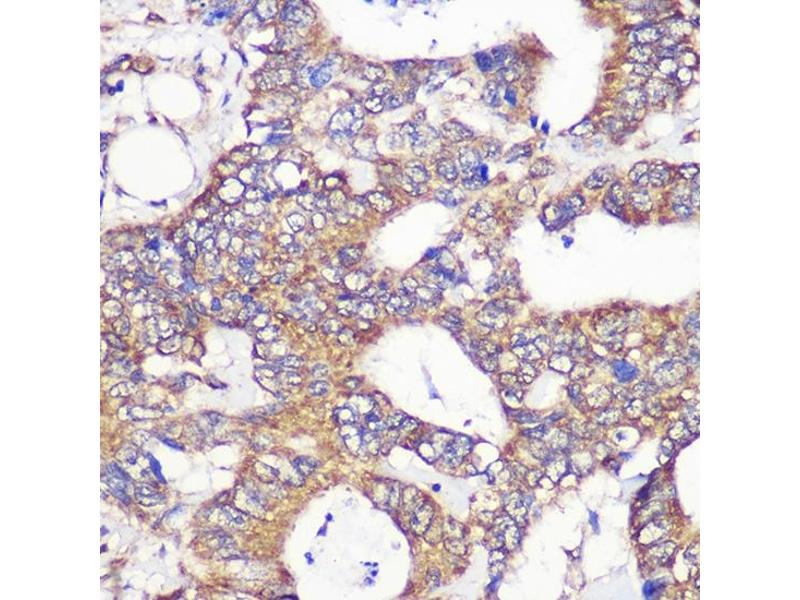
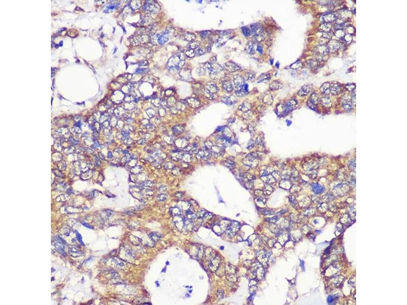
Indications d'application
- WB,1:500 - 1:2000,IHC,1:50 - 1:200
-
Restrictions
- For Research Use only
-
-
-
Format
- Liquid
-
Buffer
- PBS with 0.02 % sodium azide,50 % glycerol, pH 7.3.
-
Agent conservateur
- Sodium azide
-
Précaution d'utilisation
- This product contains Sodium azide: a POISONOUS AND HAZARDOUS SUBSTANCE which should be handled by trained staff only.
-
Stock
- -20 °C
-
Stockage commentaire
- Store at -20°C. Avoid freeze / thaw cycles.
-
-
- GCP6 (TUBGCP6) (Tubulin, gamma Complex Associated Protein 6 (TUBGCP6))
-
Autre désignation
- TUBGCP6
-
Sujet
- The protein encoded by this gene is part of a large multisubunit complex required for microtubule nucleation at the centrosome.,TUBGCP6,GCP-6,GCP6,MCCRP,MCCRP1,MCPHCR,Cell Biology & Developmental Biology,Cell Cycle,Centrosome,TUBGCP6
-
Poids moléculaire
- 196kDa/198kDa/200kDa
-
ID gène
- 85378
-
UniProt
- Q96RT7
-
Pathways
- M Phase
Antigène
-