Tel:
+49 (0)241 95 163 153
Fax:
+49 (0)241 95 163 155
E-Mail:
orders@anticorps-enligne.fr

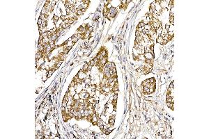
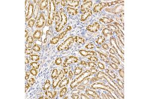
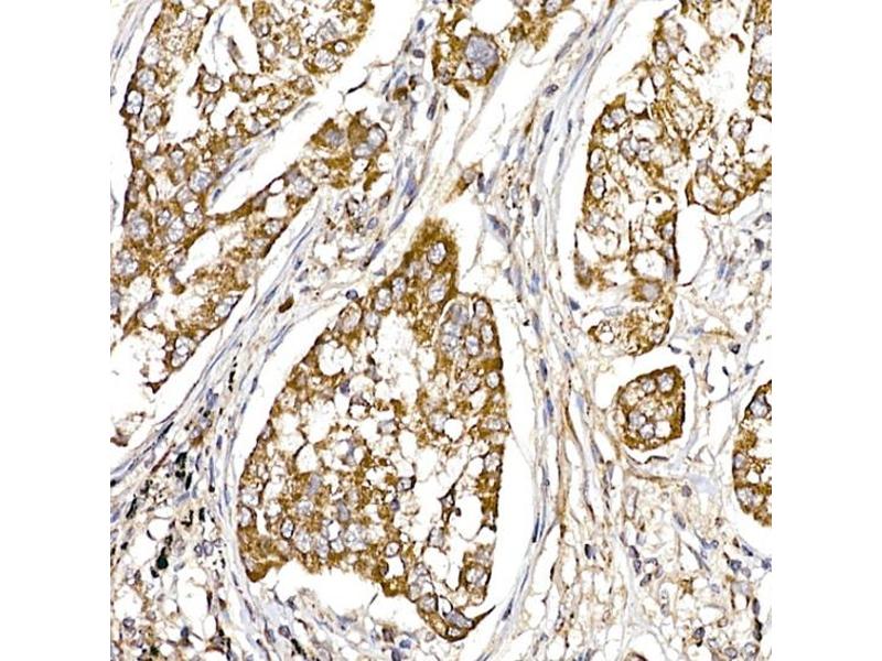
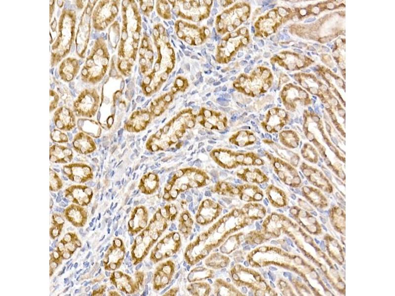
UQCRH anticorps

L’anticorps anti-UQCRH Monoclonal Lapin est utilisé pour la détection de UQCRH dans des échantillons de Humain. Il a été validé pour WB et IHC.
N° du produit ABIN7271126
330,00 €
Plus frais de livraison 40,00 € et TVA
Destination: France
Envoi sous 8 à 10 jours ouvrables

Aperçu rapide pour UQCRH anticorps (ABIN7271126)

Antigène

Voir toutes UQCRH (Uqcrh) Anticorps
UQCRH (Uqcrh) (Ubiquinol-Cytochrome C Reductase Hinge Protein (Uqcrh))

Reactivité

  • 22
  • 18
  • 12
Humain

Hôte

  • 20
  • 2
Lapin

Clonalité

  • 12
  • 10
Monoclonal

Conjugué

  • 6
  • 2
  • 2
  • 2
  • 2
  • 2
  • 2
  • 2
  • 1
  • 1
Cet anticorp UQCRH est non-conjugé

Application

  • 13
  • 11
  • 4
  • 1
Western Blotting (WB), Immunohistochemistry (IHC)
  • Fonction

    UQCRH Rabbit mAb

     Réactivité croisée

    Humain, Souris, Rat

    Attributs du produit

    Monoclonal Antibodies

    Purification

    Affinity purification

    Immunogène

    A synthesized peptide derived from human UQCRH.

    Isotype

    IgG
  • Indications d'application

    WB,1:500 - 1:2000,IHC,1:50 - 1:200

    Restrictions

    For Research Use only
  • Format

    Liquid

    Buffer

    PBS with 0.02 % sodium azide,50 % glycerol, pH 7.3.

    Agent conservateur

    Sodium azide

    Précaution d'utilisation

    This product contains Sodium azide: a POISONOUS AND HAZARDOUS SUBSTANCE which should be handled by trained staff only.

    Stock

    -20 °C

    Stockage commentaire

    Store at -20°C. Avoid freeze / thaw cycles.
  • Antigène

    UQCRH (Uqcrh) (Ubiquinol-Cytochrome C Reductase Hinge Protein (Uqcrh))

    Autre désignation

    UQCRH

    Sujet

    Component of the ubiquinol-cytochrome c oxidoreductase, a multisubunit transmembrane complex that is part of the mitochondrial electron transport chain which drives oxidative phosphorylation. The respiratory chain contains 3 multisubunit complexes succinate dehydrogenase (complex II, CII, ubiquinol-cytochrome c oxidoreductase (cytochrome b-c1 complex, complex III, CIII and cytochrome c oxidase (complex IV, CIV, that cooperate to transfer electrons derived from NADH and succinate to molecular oxygen, creating an electrochemical gradient over the inner membrane that drives transmembrane transport and the ATP synthase. The cytochrome b-c1 complex catalyzes electron transfer from ubiquinol to cytochrome c, linking this redox reaction to translocation of protons across the mitochondrial inner membrane, with protons being carried across the membrane as hydrogens on the quinol. In the process called Q cycle, 2 protons are consumed from the matrix, 4 protons are released into the intermembrane space and 2 electrons are passed to cytochrome c.,UQCRH

    Poids moléculaire

    11kDa

    ID gène

    7388

    UniProt

    P07919
Vous êtes ici:
Chat with us!