Tel:
+49 (0)241 95 163 153
Fax:
+49 (0)241 95 163 155
E-Mail:
orders@anticorps-enligne.fr

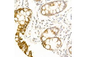
USP18 anticorps (AA 200-300)

Cet anticorps anti-USP18 Polyclonal Lapin (ABIN7271145) détecte spécifiquement USP18 dans WB, IF et IHC. L’anticorps est réactif avec des échantillons de Humain.
N° du produit ABIN7271145
320,00 €
Plus frais de livraison 40,00 € et TVA
Destination: France
Envoi sous 8 à 10 jours ouvrables

Aperçu rapide pour USP18 anticorps (AA 200-300) (ABIN7271145)

Antigène

Voir toutes USP18 Anticorps
USP18 (Ubiquitin Specific Peptidase 18 (USP18))

Reactivité

  • 22
  • 4
  • 2
  • 2
  • 1
  • 1
  • 1
  • 1
  • 1
Humain

Hôte

  • 19
  • 3
Lapin

Clonalité

  • 22
Polyclonal

Conjugué

  • 18
  • 2
  • 1
  • 1
Cet anticorp USP18 est non-conjugé

Application

  • 18
  • 10
  • 8
  • 4
  • 2
  • 1
  • 1
  • 1
  • 1
  • 1
Western Blotting (WB), Immunofluorescence (IF), Immunohistochemistry (IHC)
  • Épitope

    • 6
    • 5
    • 3
    • 3
    • 2
    • 1
    • 1
    AA 200-300

    Fonction

    USP18 Rabbit pAb

    Séquence

    DVDSKPLKTL EDALHCFFQP RELSSKSKCF CENCGKKTRG KQVLKLTHLP QTLTIHLMRF SIRNSQTRKI CHSLYFPQSL DFSQILPMKR ESCDAEEQSG G

     Réactivité croisée

    Humain, Souris, Rat

    Attributs du produit

    Polyclonal Antibodies

    Purification

    Affinity purification

    Immunogène

    Recombinant fusion protein containing a sequence corresponding to amino acids 200-300 of human USP18 (NP_059110.2).

    Isotype

    IgG
  • Indications d'application

    WB,1:500 - 1:2000,IHC,1:50 - 1:200,IF,1:50 - 1:200

    Restrictions

    For Research Use only
  • Format

    Liquid

    Buffer

    PBS with 0.02 % sodium azide,50 % glycerol, pH 7.3.

    Agent conservateur

    Sodium azide

    Précaution d'utilisation

    This product contains Sodium azide: a POISONOUS AND HAZARDOUS SUBSTANCE which should be handled by trained staff only.

    Stock

    -20 °C

    Stockage commentaire

    Store at -20°C. Avoid freeze / thaw cycles.
  • Antigène

    USP18 (Ubiquitin Specific Peptidase 18 (USP18))

    Autre désignation

    USP18

    Sujet

    The protein encoded by this gene belongs to the ubiquitin-specific proteases (UBP) family of enzymes that cleave ubiquitin from ubiquitinated protein substrates. It is highly expressed in liver and thymus, and is localized to the nucleus. This protein efficiently cleaves only ISG15 (a ubiquitin-like protein) fusions, and deletion of this gene in mice results in a massive increase of ISG15 conjugates in tissues, indicating that this protein is a major ISG15-specific protease. Mice lacking this gene are also hypersensitive to interferon, suggesting a function of this protein in downregulating interferon responses, independent of its isopeptidase activity towards ISG15.,USP18,ISG43,UBP43,PTORCH2,Epigenetics & Nuclear Signaling,Cell Biology & Developmental Biology,Ubiquitin,USP18

    Poids moléculaire

    43kDa

    ID gène

    11274

    UniProt

    Q9UMW8
Vous êtes ici:
Chat with us!