SLC26A4 anticorps (AA 301-400)
Aperçu rapide pour SLC26A4 anticorps (AA 301-400) (ABIN721030)
Antigène
Voir toutes SLC26A4 AnticorpsReactivité
Hôte
Clonalité
Conjugué
Application
-
-
Épitope
- AA 301-400
-
Réactivité croisée
- Humain, Porc
-
Homologie
- Mouse,Rat,Dog,Cow,Horse
-
Purification
- Purified by Protein A.
-
Immunogène
- KLH conjugated synthetic peptide derived from human Solute carrier family 26 member 4
-
Isotype
- IgG
-
-
-
-
Indications d'application
-
WB 1:300-5000
ELISA 1:500-1000
FCM 1:20-100
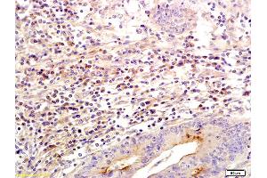
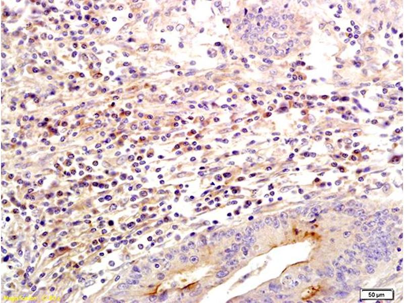
IHC-P 1:200-400
IF(IHC-P) 1:50-200 -
Restrictions
- For Research Use only
-
-
-
Format
- Liquid
-
Concentration
- 1 μg/μL
-
Buffer
- 0.01M TBS( pH 7.4) with 1 % BSA, 0.02 % Proclin300 and 50 % Glycerol.
-
Agent conservateur
- ProClin
-
Précaution d'utilisation
- This product contains ProClin: a POISONOUS AND HAZARDOUS SUBSTANCE, which should be handled by trained staff only.
-
Stock
- 4 °C,-20 °C
-
Stockage commentaire
- Shipped at 4°C. Store at -20°C for one year. Avoid repeated freeze/thaw cycles.
-
Date de péremption
- 12 months
-
-
- SLC26A4 (Solute Carrier Family 26, Member 4 (SLC26A4))
-
Autre désignation
- SLC26A4
-
Sujet
-
Synonyms: EVA, PDS, DFNB4, TDH2B, Pendrin, Sodium-independent chloride/iodide transporter, Solute carrier family 26 member 4, SLC26A4
Background: Sodium-independent transporter of chloride and iodide.
-
ID gène
- 5172
-
UniProt
- O43511
-
Pathways
- Thyroid Hormone Synthesis, Sensory Perception of Sound
Antigène
-