Tel:
+49 (0)241 95 163 153
Fax:
+49 (0)241 95 163 155
E-Mail:
orders@anticorps-enligne.fr

Ki-67 anticorps

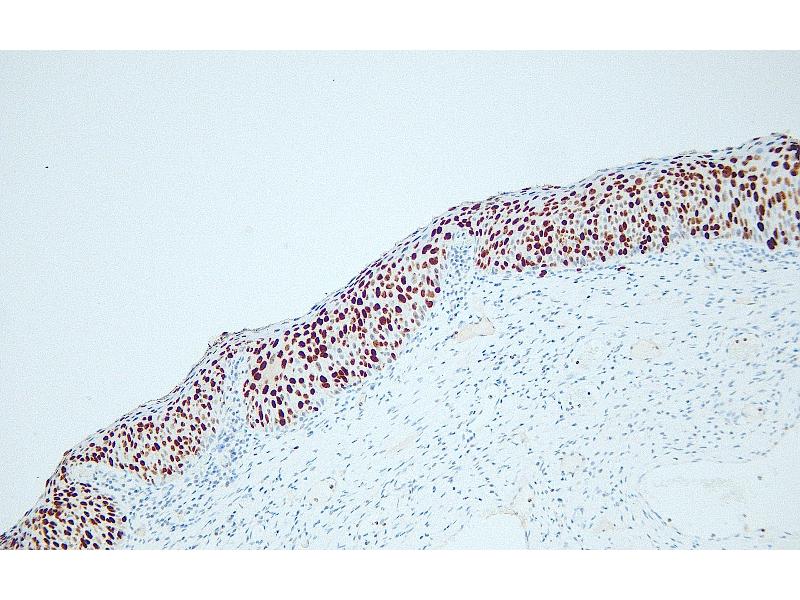
L’anticorps anti-Ki-67 Monoclonal Lapin est utilisé pour la détection de Ki-67 dans des échantillons de Humain. Il a été validé pour IHC (p).
N° du produit ABIN7598906
271,86 €
Plus frais de livraison 40,00 € et TVA
Destination: France
Envoi sous 3 à 5 jours ouvrables

Aperçu rapide pour Ki-67 anticorps (ABIN7598906)

Antigène

Voir toutes Ki-67 (MKI67) Anticorps
Ki-67 (MKI67) (Antigen Identified By Monoclonal Antibody Ki-67 (MKI67))

Reactivité

  • 190
  • 53
  • 30
  • 5
  • 2
  • 2
  • 2
  • 1
  • 1
Humain

Hôte

  • 109
  • 79
  • 13
  • 3
  • 1
Lapin

Clonalité

  • 121
  • 82
Monoclonal

Conjugué

  • 113
  • 13
  • 11
  • 6
  • 5
  • 5
  • 4
  • 3
  • 3
  • 3
  • 3
  • 3
  • 2
  • 2
  • 2
  • 2
  • 2
  • 2
  • 2
  • 2
  • 2
  • 1
  • 1
  • 1
  • 1
  • 1
  • 1
  • 1
  • 1
  • 1
  • 1
  • 1
  • 1
  • 1
  • 1
  • 1
Cet anticorp Ki-67 est non-conjugé

Application

  • 110
  • 106
  • 83
  • 63
  • 43
  • 43
  • 27
  • 19
  • 18
  • 16
  • 13
  • 6
  • 6
  • 6
  • 5
  • 4
  • 2
  • 2
  • 2
  • 2
  • 1
  • 1
  • 1
Immunohistochemistry (Paraffin-embedded Sections) (IHC (p))

Clone

M17-I
Vous êtes ici:
Chat with us!