Tel:
+49 (0)241 95 163 153
Fax:
+49 (0)241 95 163 155
E-Mail:
orders@anticorps-enligne.fr

FERMT2 anticorps (AA 1-650)

L’anticorps anti-FERMT2 Polyclonal Lapin est utilisé pour la détection de FERMT2 dans des échantillons de Humain. Il a été validé pour WB, ELISA, IHC, IF, FACS et ICC.
N° du produit ABIN7599515
500,50 €
Plus frais de livraison 40,00 € et TVA
100 μg
Destination: France
Envoi sous 8 à 12 jours ouvrables

Aperçu rapide pour FERMT2 anticorps (AA 1-650) (ABIN7599515)

Antigène

Voir toutes FERMT2 Anticorps
FERMT2 (Fermitin Family Member 2 (FERMT2))

Reactivité

  • 50
  • 6
  • 6
  • 4
  • 2
  • 2
  • 2
  • 2
  • 1
  • 1
  • 1
  • 1
Humain

Hôte

  • 37
  • 13
Lapin

Clonalité

  • 37
  • 13
Polyclonal

Conjugué

  • 27
  • 4
  • 3
  • 3
  • 1
  • 1
  • 1
  • 1
  • 1
  • 1
  • 1
  • 1
  • 1
  • 1
  • 1
  • 1
  • 1
Cet anticorp FERMT2 est non-conjugé

Application

  • 44
  • 18
  • 13
  • 13
  • 9
  • 8
  • 4
  • 3
  • 3
  • 3
  • 2
  • 1
Western Blotting (WB), ELISA, Immunohistochemistry (IHC), Immunofluorescence (IF), Flow Cytometry (FACS), Immunocytochemistry (ICC)
  • Épitope

    • 15
    • 9
    • 5
    • 4
    • 2
    • 2
    • 1
    • 1
    • 1
    • 1
    • 1
    • 1
    • 1
    AA 1-650

    Fonction

    Anti-Kindlin 2/FERMT2 Antibody

    Réactivité croisée (Details)

    No cross-reactivity with other proteins.

    Attributs du produit

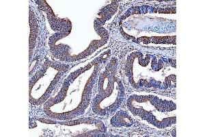
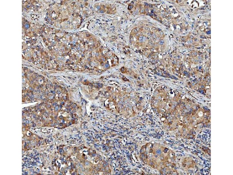
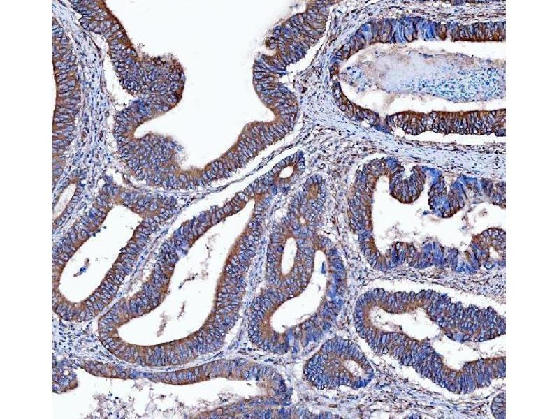
    Anti-Kindlin 2/FERMT2 Antibody (ABIN7599515). Tested in ELISA, Flow Cytometry, IF, IHC, ICC, WB applications. This antibody reacts with Human. This is a premium antibody that guarantees superior quality, high affinity, and strong signals with minimal background in Western blot applications.

    Purification

    Immunogen affinity purified.

    Immunogène

    E.coli-derived human Kindlin 2/FERMT2 recombinant protein (Position: M1-I650).

    Isotype

    IgG
  • Indications d'application

    Western blot, 0.25-0.5 μg/mL, Human
    Immunohistochemistry(Paraffin-embedded Section), 2-5 μg/mL, Human
    Immunocytochemistry/Immunofluorescence, 5 μg/mL, Human
    Flow Cytometry (Fixed), 1-3 μg/1x106 cells, Human
    ELISA, 0.1-0.5 μg/mL, -

    Restrictions

    For Research Use only
  • Format

    Lyophilized

    Reconstitution

    Adding 0.2 mL of distilled water will yield a concentration of 500 μg/mL.

    Concentration

    500 μg/mL

    Buffer

    Each vial contains 4 mg Trehalose, 0.9 mg NaCl, 0.2 mg Na2HPO4.

    Stock

    4 °C,-20 °C

    Stockage commentaire

    At -20°C for one year from date of receipt. After reconstitution, at 4°C for one month.
    It can also be aliquotted and stored frozen at -20°C for six months. Avoid repeated freezing and thawing.
  • Antigène

    FERMT2 (Fermitin Family Member 2 (FERMT2))

    Autre désignation

    FERMT2

    Sujet

    Synonyms: DNA replication licensing factor MCM5, CDC46 homolog, P1-CDC46, MCM5, CDC46

    Tissue Specificity: Ubiquitous.

    Background: Fermitin family homolog 2 (FERMT2) also known as pleckstrin homology domain-containing family C member 1 (PLEKHC1) or kindlin-2 is a protein that in humans is encoded by the FERMT2 gene. Enables several functions, including actin binding activity, phosphatidylinositol-3,4,5-trisphosphate binding activity, and type I transforming growth factor beta receptor binding activity. Involved in several processes, including cell surface receptor signaling pathway, positive regulation of cell differentiation, and positive regulation of cellular component biogenesis. Acts upstream of or within cell adhesion and protein localization to cell junction. Located in cytosol, focal adhesion, and nucleoplasm. Is extrinsic component of cytoplasmic side of plasma membrane. Part of adherens junction and plasma membrane. Biomarker of acute myeloid leukemia.

    Poids moléculaire

    70 kDa

    ID gène

    10979

    Pathways

    Cell-Cell Junction Organization
Vous êtes ici:
Chat with us!