Tel:
+49 (0)241 95 163 153
Fax:
+49 (0)241 95 163 155
E-Mail:
orders@anticorps-enligne.fr

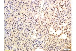
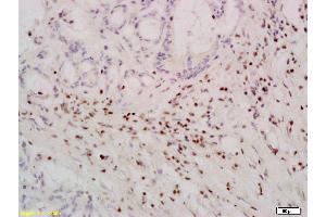
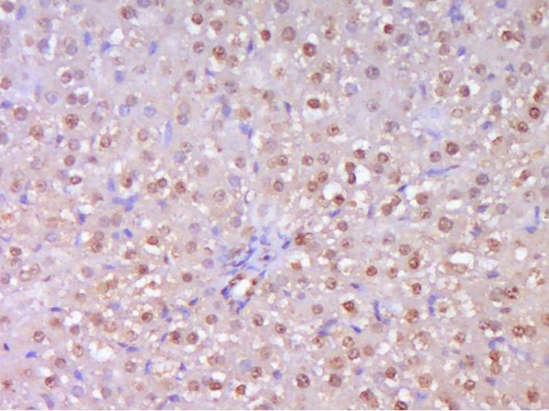
TERT anticorps (AA 601-750)

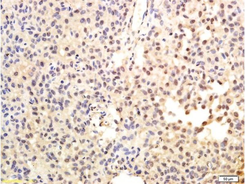
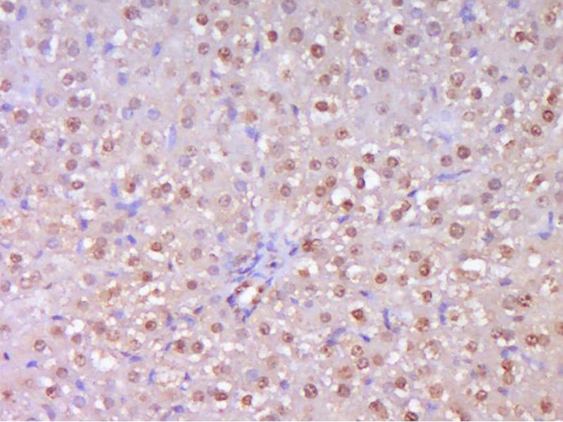
Il existe 3+ publications pour ce produit. L’anticorps anti-TERT Polyclonal Lapin est utilisé pour la détection de TERT dans des échantillons de Humain, Souris et Rat. Il a été validé pour WB, ELISA, FACS, IF (cc), IF (p), IHC (p) et IHC (fro).
N° du produit ABIN726650
357,70 €
Plus frais de livraison 40,00 € et TVA
100 μL
Destination: France
Envoi sous 8 à 12 jours ouvrables

Aperçu rapide pour TERT anticorps (AA 601-750) (ABIN726650)

Antigène

Voir toutes TERT Anticorps
TERT (Telomerase Reverse Transcriptase (TERT))

Reactivité

  • 112
  • 37
  • 22
  • 5
  • 1
  • 1
Humain, Souris, Rat

Hôte

  • 116
  • 8
  • 1
Lapin

Clonalité

  • 97
  • 28
Polyclonal

Conjugué

  • 55
  • 8
  • 8
  • 6
  • 4
  • 3
  • 3
  • 3
  • 3
  • 3
  • 3
  • 2
  • 2
  • 2
  • 2
  • 2
  • 2
  • 2
  • 2
  • 2
  • 2
  • 2
  • 2
  • 1
  • 1
Cet anticorp TERT est non-conjugé

Application

  • 75
  • 49
  • 48
  • 26
  • 24
  • 17
  • 13
  • 12
  • 10
  • 7
  • 6
  • 4
  • 3
  • 2
  • 2
  • 1
Western Blotting (WB), ELISA, Flow Cytometry (FACS), Immunofluorescence (Cultured Cells) (IF (cc)), Immunofluorescence (Paraffin-embedded Sections) (IF (p)), Immunohistochemistry (Paraffin-embedded Sections) (IHC (p)), Immunohistochemistry (Frozen Sections) (IHC (fro))
  • Épitope

    • 16
    • 15
    • 10
    • 10
    • 5
    • 5
    • 4
    • 4
    • 4
    • 3
    • 3
    • 2
    • 2
    • 2
    • 1
    • 1
    • 1
    • 1
    • 1
    • 1
    • 1
    • 1
    • 1
    • 1
    • 1
    • 1
    AA 601-750

     Réactivité croisée

    Humain, Souris, Rat

    Purification

    Purified by Protein A.

    Immunogène

    KLH conjugated synthetic peptide derived from human TERT

    Isotype

    IgG
  • Indications d'application

    WB 1:300-5000
    ELISA 1:500-1000
    FCM 1:20-100
    IHC-P 1:200-400
    IHC-F 1:100-500
    IF(IHC-P) 1:50-200
    IF(IHC-F) 1:50-200
    IF(ICC) 1:50-200

    Restrictions

    For Research Use only
  • Format

    Liquid

    Concentration

    1 μg/μL

    Buffer

    0.01M TBS( pH 7.4) with 1 % BSA, 0.02 % Proclin300 and 50 % Glycerol.

    Agent conservateur

    ProClin

    Précaution d'utilisation

    This product contains ProClin: a POISONOUS AND HAZARDOUS SUBSTANCE, which should be handled by trained staff only.

    Stock

    4 °C,-20 °C

    Stockage commentaire

    Shipped at 4°C. Store at -20°C for one year. Avoid repeated freeze/thaw cycles.

    Date de péremption

    12 months
  • Fan, Li, Li, Zhang, Dou, Zhao, Cao, Deng, Zhang, Li, Suo: "Anti-senescence role of heterozygous fumarate hydratase gene knockout in rat lung fibroblasts in vitro." dans: Aging, Vol. 11, Issue 2, pp. 573-589, (2020) (PubMed).

    Carreras, Zhang, Peris, Qiao, Gileles-Hillel, Li, Wang, Gozal: "Chronic sleep fragmentation induces endothelial dysfunction and structural vascular changes in mice." dans: Sleep, Vol. 37, Issue 11, pp. 1817-24, (2015) (PubMed).

  • Antigène

    TERT (Telomerase Reverse Transcriptase (TERT))

    Autre désignation

    TERT

    Sujet

    Synonyms: TP2, TRT, CMM9, EST2, TCS1, hTRT, DKCA2, DKCB4, hEST2, PFBMFT1, Telomerase reverse transcriptase, Telomerase catalytic subunit, Telomerase-associated protein 2, TERT

    Background: Telomerase is a ribonucleoprotein enzyme essential for the replication of chromosome termini in most eukaryotes. Active in progenitor and cancer cells. Inactive, or very low activity, in normal somatic cells. Catalytic component of the teleromerase holoenzyme complex whose main activity is the elongation of telomeres by acting as a reverse transcriptase that adds simple sequence repeats to chromosome ends by copying a template sequence within the RNA component of the enzyme. Catalyzes the RNA-dependent extension of 3'-chromosomal termini with the 6-nucleotide telomeric repeat unit, 5'-TTAGGG-3'. The catalytic cycle involves primer binding, primer extension and release of product once the template boundary has been reached or nascent product translocation followed by further extension. More active on substrates containing 2 or 3 telomeric repeats. Telomerase activity is regulated by a number of factors including telomerase complex-associated proteins, chaperones and polypeptide modifiers. Modulates Wnt signaling. Plays important roles in aging and antiapoptosis.

    ID gène

    7015

    UniProt

    O14746

    Pathways

    Telomere Maintenance
Vous êtes ici:
Chat with us!