Tel:
+49 (0)241 95 163 153
Fax:
+49 (0)241 95 163 155
E-Mail:
orders@anticorps-enligne.fr

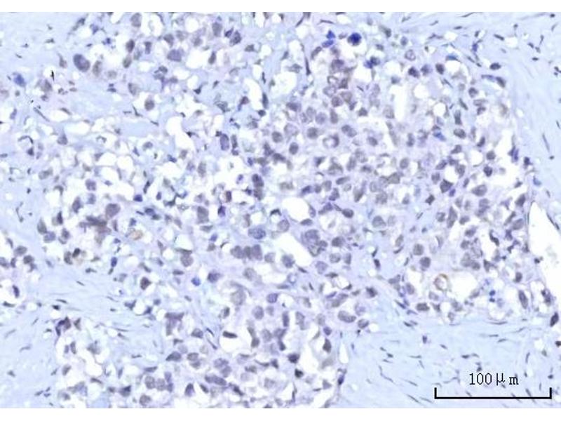
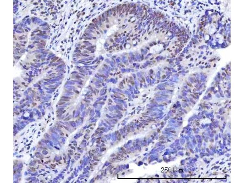
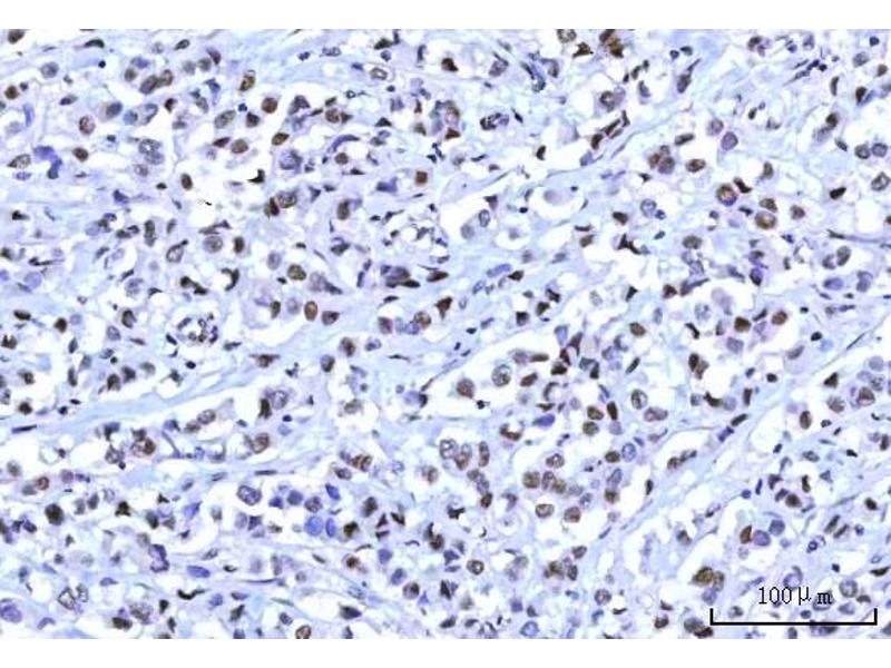
RBM15B anticorps (AA 164-890)

L’anticorps anti-RBM15B Polyclonal Lapin est utilisé pour la détection de RBM15B dans des échantillons de Humain et Rat. Il a été validé pour WB, ELISA, IHC, FACS et IF.
N° du produit ABIN7600219
500,50 €
Plus frais de livraison 40,00 € et TVA
100 μg
Destination: France
Envoi sous 8 à 12 jours ouvrables

Aperçu rapide pour RBM15B anticorps (AA 164-890) (ABIN7600219)

Antigène

Voir toutes RBM15B Anticorps
RBM15B (RNA Binding Motif Protein 15B (RBM15B))

Reactivité

  • 7
  • 5
  • 3
  • 2
  • 2
  • 2
  • 1
  • 1
  • 1
  • 1
Humain, Rat

Hôte

  • 7
Lapin

Clonalité

  • 7
Polyclonal

Conjugué

  • 7
Cet anticorp RBM15B est non-conjugé

Application

Western Blotting (WB), ELISA, Immunohistochemistry (IHC), Flow Cytometry (FACS), Immunofluorescence (IF)
  • Épitope

    • 2
    • 1
    • 1
    AA 164-890

    Fonction

    Anti-RBM15B Antibody

    Réactivité croisée (Details)

    No cross-reactivity with other proteins.

    Attributs du produit

    Anti-RBM15B Antibody (ABIN7600219). Tested in ELISA, Flow Cytometry, IF, IHC, WB applications. This antibody reacts with Human, Rat. This is a premium antibody that guarantees superior quality, high affinity, and strong signals with minimal background in Western blot applications.

    Purification

    Immunogen affinity purified.

    Immunogène

    E.coli-derived human RBM15B recombinant protein (Position: K164-A890).

    Isotype

    IgG
  • Indications d'application

    Western blot, 0.25-0.5 μg/mL, Human, Rat
    Immunohistochemistry(Paraffin-embedded Section), 2-5 μg/mL, Human
    Immunofluorescence, 5 μg/mL, Human
    Flow Cytometry (Fixed), 1-3 μg/1x106 cells, Human
    ELISA, 0.1-0.5 μg/mL, -

    Restrictions

    For Research Use only
  • Format

    Lyophilized

    Reconstitution

    Adding 0.2 mL of distilled water will yield a concentration of 500 μg/mL.

    Concentration

    500 μg/mL

    Buffer

    Each vial contains 4 mg Trehalose, 0.9 mg NaCl, 0.2 mg Na2HPO4.

    Stock

    4 °C,-20 °C

    Stockage commentaire

    At -20°C for one year from date of receipt. After reconstitution, at 4°C for one month.
    It can also be aliquotted and stored frozen at -20°C for six months. Avoid repeated freezing and thawing.
  • Antigène

    RBM15B (RNA Binding Motif Protein 15B (RBM15B))

    Autre désignation

    RBM15B

    Sujet

    Synonyms: Interleukin-17B, IL-17B, Cytokine CX1, Cytokine-like protein ZCYTO7, Neuronal interleukin-17-related factor, Il17b, Nirf, Zcyto7

    Tissue Specificity: Expressed in adult pancreas, small intestine, stomach, spinal cord and testis. Less pronounced expression in prostate, colon mucosal lining, and ovary.

    Background: Members of the SPEN (Split-end) family of proteins, including RBM15B, have repressor function in several signaling pathways and may bind to RNA through interaction with spliceosome component.

    Poids moléculaire

    110 kDa

    ID gène

    29890
Vous êtes ici:
Chat with us!