Tel:
+49 (0)241 95 163 153
Fax:
+49 (0)241 95 163 155
E-Mail:
orders@anticorps-enligne.fr

SELENBP1 anticorps (AA 23-462)

Cet anticorps Lapin Polyclonal détecte spécifiquement SELENBP1 dans WB, IHC, ELISA, IF et FACS. Il présente une réactivité avec des échantillons de Humain, Souris et Rat.
N° du produit ABIN7600755
500,50 €
Plus frais de livraison 40,00 € et TVA
100 μg
Destination: France
Envoi sous 8 à 12 jours ouvrables

Aperçu rapide pour SELENBP1 anticorps (AA 23-462) (ABIN7600755)

Antigène

Voir toutes SELENBP1 Anticorps
SELENBP1 (Selenium Binding Protein 1 (SELENBP1))

Reactivité

  • 58
  • 37
  • 31
  • 3
  • 3
  • 3
  • 3
  • 3
  • 2
  • 2
  • 2
  • 1
  • 1
Humain, Souris, Rat

Hôte

  • 52
  • 6
Lapin

Clonalité

  • 52
  • 6
Polyclonal

Conjugué

  • 27
  • 3
  • 3
  • 3
  • 3
  • 2
  • 1
  • 1
  • 1
  • 1
  • 1
  • 1
  • 1
  • 1
  • 1
  • 1
  • 1
  • 1
  • 1
  • 1
  • 1
  • 1
  • 1
Cet anticorp SELENBP1 est non-conjugé

Application

  • 51
  • 18
  • 14
  • 13
  • 13
  • 8
  • 4
  • 3
  • 3
  • 3
  • 2
  • 1
  • 1
Western Blotting (WB), Immunohistochemistry (IHC), ELISA, Immunofluorescence (IF), Flow Cytometry (FACS)
  • Épitope

    • 15
    • 7
    • 7
    • 5
    • 3
    • 3
    • 2
    • 1
    • 1
    AA 23-462

    Fonction

    Anti-SBP/SELENBP1 Antibody

    Réactivité croisée (Details)

    No cross-reactivity with other proteins.

    Attributs du produit

    Anti-SBP/SELENBP1 Antibody (ABIN7600755). Tested in ELISA, Flow Cytometry, IF, IHC, WB applications. This antibody reacts with Human, Mouse, Rat. This is a premium antibody that guarantees superior quality, high affinity, and strong signals with minimal background in Western blot applications.

    Purification

    Immunogen affinity purified.

    Immunogène

    E.coli-derived human SBP/SELENBP1 recombinant protein (Position: R23-P462).

    Isotype

    IgG
  • Indications d'application

    Western blot, 0.1-0.25 μg/mL, Human, Mouse, Rat
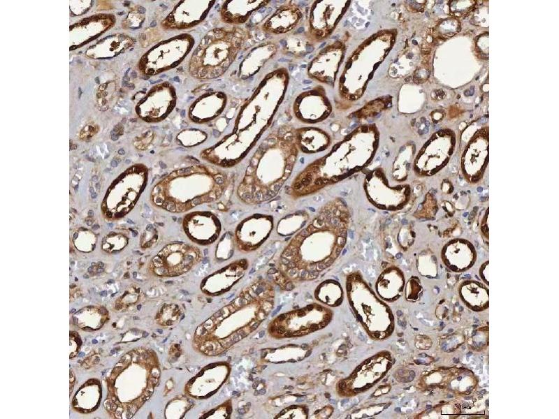
    Immunohistochemistry(Paraffin-embedded Section), 2-5 μg/mL, Human, Rat
    Immunofluorescence, 5 μg/mL, Human
    Flow Cytometry (Fixed), 1-3 μg/1x106 cells, Human
    ELISA, 0.1-0.5 μg/mL, -

    Restrictions

    For Research Use only
  • Format

    Lyophilized

    Reconstitution

    Adding 0.2 mL of distilled water will yield a concentration of 500 μg/mL.

    Concentration

    500 μg/mL

    Buffer

    Each vial contains 4 mg Trehalose, 0.9 mg NaCl, 0.2 mg Na2HPO4.

    Stock

    4 °C,-20 °C

    Stockage commentaire

    At -20°C for one year from date of receipt. After reconstitution, at 4°C for one month.
    It can also be aliquotted and stored frozen at -20°C for six months. Avoid repeated freezing and thawing.
  • Antigène

    SELENBP1 (Selenium Binding Protein 1 (SELENBP1))

    Autre désignation

    SELENBP1

    Sujet

    Synonyms: Interleukin-25, IL-25, Interleukin-17E, IL-17E, IL25, IL17E, UNQ3120/PRO10272

    Tissue Specificity: Expressed at low levels in several tissues, including brain, kidney, lung, prostate, testis, spinal cord, adrenal gland, and trachea.

    Background: Selenium-binding protein 1, also known as SELENBP1 or SBP is a protein that in humans is encoded by the SLELNBP1 gene. This gene is mapped to 1q21.3. This gene encodes a member of the selenium-binding protein family. Selenium is an essential nutrient that exhibits potent anticarcinogenic properties, and deficiency of selenium may cause certain neurologic diseases. The effects of selenium in preventing cancer and neurologic diseases may be mediated by selenium-binding proteins, and decreased expression of this gene may be associated with several types of cancer. The encoded protein may play a selenium-dependent role in ubiquitination/deubiquitination-mediated protein degradation.

    Poids moléculaire

    52-56 kDa

    ID gène

    8991

    UniProt

    Q13228

    Pathways

    Brown Fat Cell Differentiation
Vous êtes ici:
Chat with us!