Tel:
+49 (0)241 95 163 153
Fax:
+49 (0)241 95 163 155
E-Mail:
orders@anticorps-enligne.fr

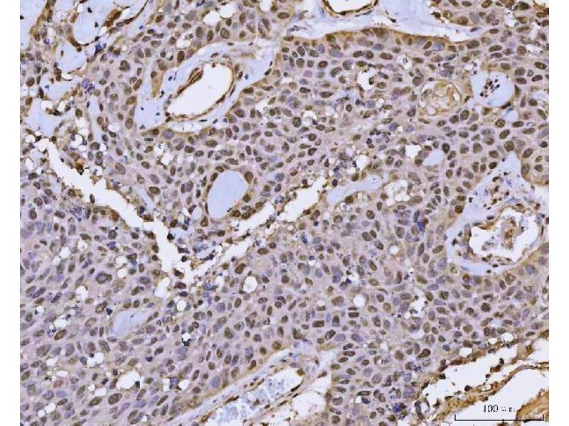
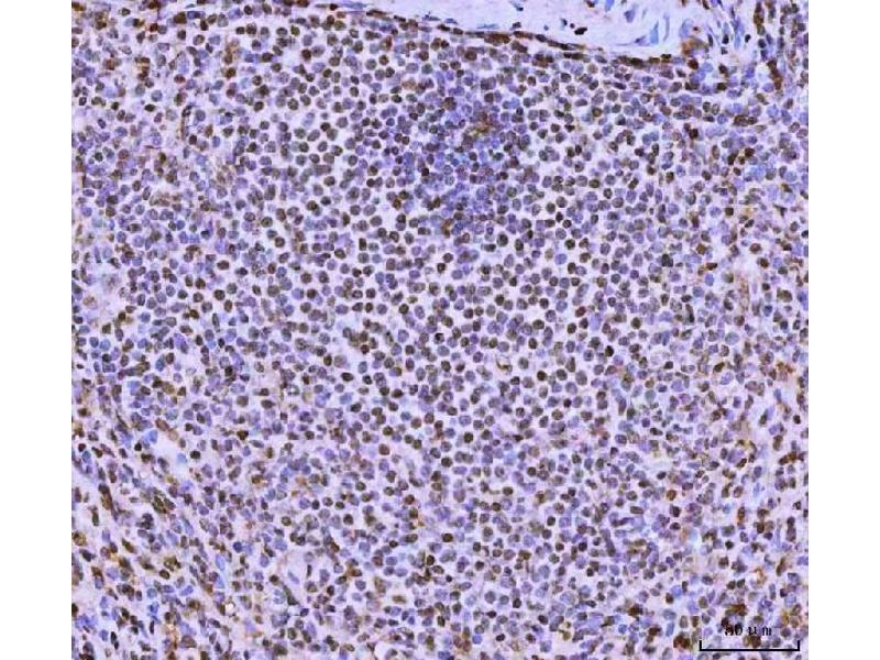
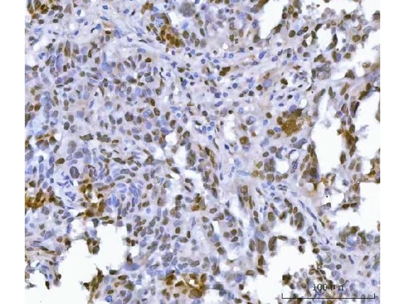
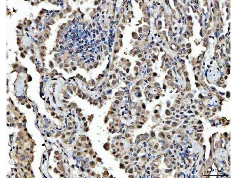
FIP1L1 anticorps (AA 23-558)

Cet anticorps Lapin Polyclonal détecte spécifiquement FIP1L1 dans WB, IHC, IF, ELISA, ICC et FACS. Il présente une réactivité avec des échantillons de Humain, Souris et Rat.
N° du produit ABIN7600761
500,50 €
Plus frais de livraison 40,00 € et TVA
100 μg
Destination: France
Envoi sous 8 à 12 jours ouvrables

Aperçu rapide pour FIP1L1 anticorps (AA 23-558) (ABIN7600761)

Antigène

Voir toutes FIP1L1 Anticorps
FIP1L1 (FIP1 Like 1 (FIP1L1))

Reactivité

  • 28
  • 7
  • 7
  • 4
  • 4
  • 3
  • 2
  • 2
  • 2
  • 1
  • 1
  • 1
Humain, Souris, Rat

Hôte

  • 26
  • 2
Lapin

Clonalité

  • 26
  • 2
Polyclonal

Conjugué

  • 14
  • 1
  • 1
  • 1
  • 1
  • 1
  • 1
  • 1
  • 1
  • 1
  • 1
  • 1
  • 1
  • 1
  • 1
Cet anticorp FIP1L1 est non-conjugé

Application

  • 28
  • 13
  • 13
  • 7
  • 7
  • 6
  • 5
  • 3
  • 2
  • 1
Western Blotting (WB), Immunohistochemistry (IHC), Immunofluorescence (IF), ELISA, Immunocytochemistry (ICC), Flow Cytometry (FACS)
  • Épitope

    • 15
    • 1
    • 1
    • 1
    • 1
    • 1
    • 1
    • 1
    • 1
    AA 23-558

    Fonction

    Anti-FIP1L1 Antibody

    Réactivité croisée (Details)

    No cross-reactivity with other proteins.

    Attributs du produit

    Anti-FIP1L1 Antibody (ABIN7600761). Tested in ELISA, Flow Cytometry, IF, IHC, ICC, WB applications. This antibody reacts with Human, Mouse, Rat. This is a premium antibody that guarantees superior quality, high affinity, and strong signals with minimal background in Western blot applications.

    Purification

    Immunogen affinity purified.

    Immunogène

    E.coli-derived human FIP1L1 recombinant protein (Position: E23-E558).

    Isotype

    IgG
  • Indications d'application

    Western blot, 0.25-0.5 μg/mL, Human, Mouse, Rat
    Immunohistochemistry(Paraffin-embedded Section), 2-5 μg/mL, Human
    Immunocytochemistry/Immunofluorescence, 5 μg/mL, Human
    Immunofluorescence, 5 μg/mL, Human
    Flow Cytometry (Fixed), 1-3 μg/1x106 cells, Human
    ELISA, 0.1-0.5 μg/mL, -

    Restrictions

    For Research Use only
  • Format

    Lyophilized

    Reconstitution

    Adding 0.2 mL of distilled water will yield a concentration of 500 μg/mL.

    Concentration

    500 μg/mL

    Buffer

    Each vial contains 4 mg Trehalose, 0.9 mg NaCl, 0.2 mg Na2HPO4.

    Stock

    4 °C,-20 °C

    Stockage commentaire

    At -20°C for one year from date of receipt. After reconstitution, at 4°C for one month.
    It can also be aliquotted and stored frozen at -20°C for six months. Avoid repeated freezing and thawing.
  • Antigène

    FIP1L1 (FIP1 Like 1 (FIP1L1))

    Autre désignation

    FIP1L1

    Sujet

    Synonyms: Probable ATP-dependent RNA helicase DDX4, DEAD box protein 4, Vasa homolog, DDX4, VASA

    Tissue Specificity: Expressed only in ovary and testis. Expressed in migratory primordial germ cells in the region of the gonadal ridge in both sexes.

    Background: Factor interacting with PAPOLA and CPSF1 (i.e, FIP1L1, also termed Pre-mRNA 3'-end-processing factor FIP1) is a protein that in humans is encoded by the FIP1L1 gene (also known as Rhe, FIP1, and hFip1). This gene encodes a subunit of the CPSF (cleavage and polyadenylation specificity factor) complex that polyadenylates the 3' end of mRNA precursors. This gene, the homolog of yeast Fip1 (factor interacting with PAP), binds to U-rich sequences of pre-mRNA and stimulates poly(A) polymerase activity. Its N-terminus contains a PAP-binding site and its C-terminus an RNA-binding domain. An interstitial chromosomal deletion on 4q12 creates an in-frame fusion of human genes FIP1L1 and PDGFRA (platelet-derived growth factor receptor, alpha). The FIP1L1-PDGFRA fusion gene encodes a constitutively activated tyrosine kinase that joins the first 233 amino acids of FIP1L1 to the last 523 amino acids of PDGFRA. This gene fusion and chromosomal deletion is the cause of some forms of idiopathic hypereosinophilic syndrome (HES). This syndrome, recently reclassified as chronic eosinophilic leukemia (CEL), is responsive to treatment with tyrosine kinase inhibitors. Alternative splicing results in multiple transcript variants encoding distinct isoforms.

    Poids moléculaire

    72 kDa

    ID gène

    81608
Vous êtes ici:
Chat with us!