Tel:
+49 (0)241 95 163 153
Fax:
+49 (0)241 95 163 155
E-Mail:
orders@anticorps-enligne.fr

SUCLG1 anticorps (AA 25-346)

L’anticorps anti-SUCLG1 Polyclonal Lapin est utilisé pour la détection de SUCLG1 dans des échantillons de Humain et Rat. Il a été validé pour WB, ELISA, IHC, IF, ICC et FACS.
N° du produit ABIN7600906
500,50 €
Plus frais de livraison 40,00 € et TVA
100 μg
Destination: France
Envoi sous 8 à 12 jours ouvrables

Aperçu rapide pour SUCLG1 anticorps (AA 25-346) (ABIN7600906)

Antigène

Voir toutes SUCLG1 Anticorps
SUCLG1 (Succinate-CoA Ligase, alpha Subunit (SUCLG1))

Reactivité

  • 23
  • 10
  • 8
  • 4
  • 4
  • 3
  • 3
  • 3
  • 3
  • 2
  • 2
  • 2
  • 1
Humain, Rat

Hôte

  • 25
  • 1
Lapin

Clonalité

  • 25
  • 1
Polyclonal

Conjugué

  • 22
  • 2
  • 1
  • 1
Cet anticorp SUCLG1 est non-conjugé

Application

  • 21
  • 8
  • 7
  • 7
  • 5
  • 3
  • 3
  • 2
  • 2
  • 2
  • 2
  • 1
  • 1
Western Blotting (WB), ELISA, Immunohistochemistry (IHC), Immunofluorescence (IF), Immunocytochemistry (ICC), Flow Cytometry (FACS)
  • Épitope

    • 4
    • 3
    • 2
    • 2
    • 1
    • 1
    • 1
    • 1
    • 1
    • 1
    • 1
    AA 25-346

    Fonction

    Anti-SUCLG1 Antibody

    Réactivité croisée (Details)

    No cross-reactivity with other proteins.

    Attributs du produit

    Anti-SUCLG1 Antibody (ABIN7600906). Tested in ELISA, Flow Cytometry, IF, IHC, ICC, WB applications. This antibody reacts with Human, Rat. This is a premium antibody that guarantees superior quality, high affinity, and strong signals with minimal background in Western blot applications.

    Purification

    Immunogen affinity purified.

    Immunogène

    E.coli-derived human SUCLG1 recombinant protein (Position: R25-K346).

    Isotype

    IgG
  • Indications d'application

    Western blot, 0.25-0.5 μg/mL, Human, Rat
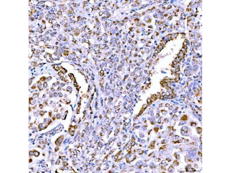
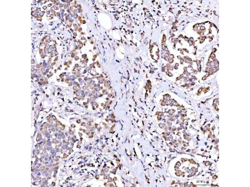
    Immunohistochemistry(Paraffin-embedded Section), 2-5 μg/mL, Human, Rat
    Immunocytochemistry/Immunofluorescence, 5 μg/mL, Human
    Immunofluorescence, 5 μg/mL, Human
    Flow Cytometry (Fixed), 1-3 μg/1x106 cells, Human
    ELISA, 0.1-0.5 μg/mL, -

    Restrictions

    For Research Use only
  • Format

    Lyophilized

    Reconstitution

    Adding 0.2 mL of distilled water will yield a concentration of 500 μg/mL.

    Concentration

    500 μg/mL

    Buffer

    Each vial contains 4 mg Trehalose, 0.9 mg NaCl, 0.2 mg Na2HPO4.

    Stock

    4 °C,-20 °C

    Stockage commentaire

    At -20°C for one year from date of receipt. After reconstitution, at 4°C for one month.
    It can also be aliquotted and stored frozen at -20°C for six months. Avoid repeated freezing and thawing.
  • Antigène

    SUCLG1 (Succinate-CoA Ligase, alpha Subunit (SUCLG1))

    Autre désignation

    SUCLG1

    Sujet

    Synonyms: ELAV-like protein 2, ELAV-like neuronal protein 1, Hu-antigen B, HuB, Nervous system-specific RNA-binding protein Hel-N1, ELAVL2, HUB

    Tissue Specificity: Brain, neural-specific.

    Background: Succinyl-CoA ligase [GDP-forming] subunit alpha, mitochondrial is an enzyme that in humans is encoded by the SUCLG1 gene. This gene encodes the alpha subunit of the heterodimeric enzyme succinate coenzyme A ligase. This enzyme is targeted to the mitochondria and catalyzes the conversion of succinyl CoA and ADP or GDP to succinate and ATP or GTP. Mutations in this gene are the cause of the metabolic disorder fatal infantile lactic acidosis and mitochondrial DNA depletion.

    Poids moléculaire

    35 kDa

    ID gène

    8802

    UniProt

    P53597
Vous êtes ici:
Chat with us!