Tel:
+49 (0)241 95 163 153
Fax:
+49 (0)241 95 163 155
E-Mail:
orders@anticorps-enligne.fr

RPL29 anticorps (AA 27-153)

L’anticorps anti-RPL29 Polyclonal Lapin est utilisé pour la détection de RPL29 dans des échantillons de Humain, Souris, Rat et Singe. Il a été validé pour WB, ELISA, IF, IHC, ICC et FACS.
N° du produit ABIN7600993
500,50 €
Plus frais de livraison 40,00 € et TVA
100 μg
Destination: France
Envoi sous 8 à 12 jours ouvrables

Aperçu rapide pour RPL29 anticorps (AA 27-153) (ABIN7600993)

Antigène

RPL29 (Ribosomal Protein L29 (RPL29))

Reactivité

Humain, Souris, Rat, Singe

Hôte

  • 10
  • 4
Lapin

Clonalité

  • 14
Polyclonal

Conjugué

  • 14
Cet anticorp RPL29 est non-conjugé

Application

  • 14
  • 5
  • 5
  • 3
  • 3
  • 2
  • 2
Western Blotting (WB), ELISA, Immunofluorescence (IF), Immunohistochemistry (IHC), Immunocytochemistry (ICC), Flow Cytometry (FACS)
  • Épitope

    • 2
    • 2
    • 2
    • 1
    • 1
    • 1
    • 1
    • 1
    AA 27-153

    Fonction

    Anti-RPL29 Antibody

    Réactivité croisée (Details)

    No cross-reactivity with other proteins.

    Attributs du produit

    Anti-RPL29 Antibody (ABIN7600993). Tested in ELISA, Flow Cytometry, IF, IHC, ICC, WB applications. This antibody reacts with Human, Mouse, Rat, Monkey. This is a premium antibody that guarantees superior quality, high affinity, and strong signals with minimal background in Western blot applications.

    Purification

    Immunogen affinity purified.

    Immunogène

    E.coli-derived human RPL29 recombinant protein (Position: Q27-A153).

    Isotype

    IgG
  • Indications d'application

    Western blot, 0.1-0.25 μg/mL, Human, Mouse, Rat, Monkey
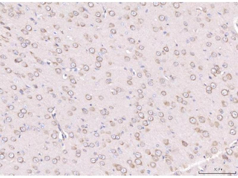
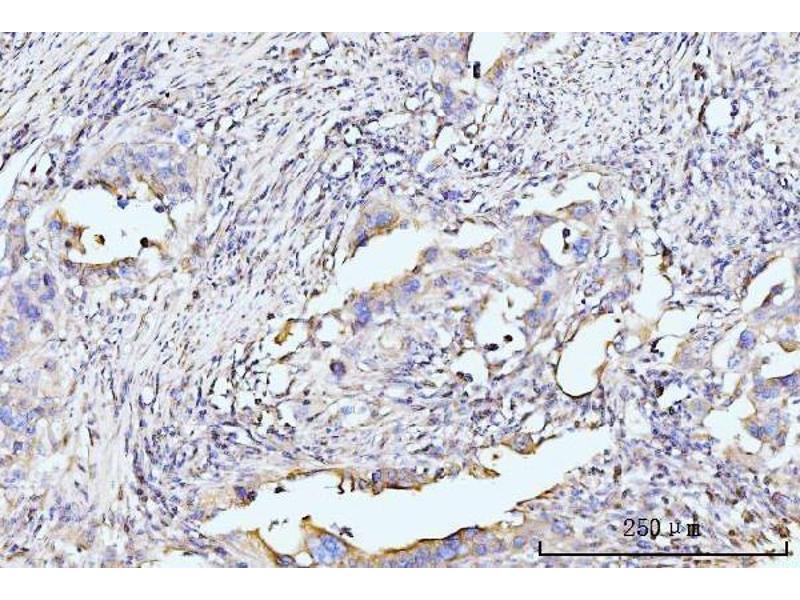
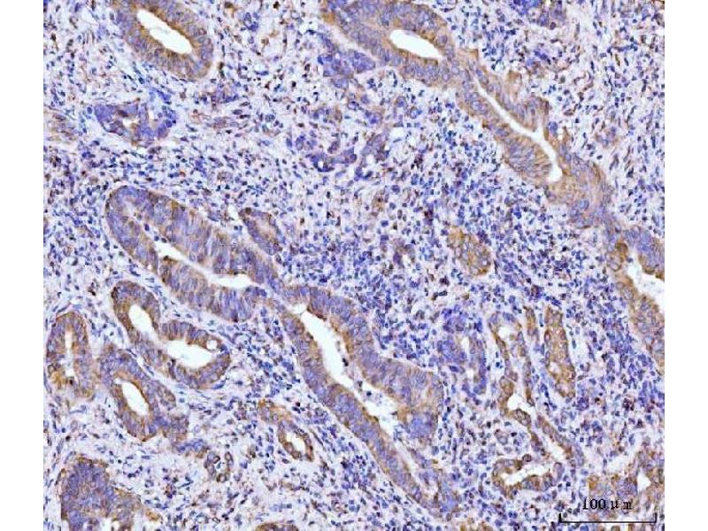
    Immunohistochemistry(Paraffin-embedded Section), 2-5 μg/mL, Human, Mouse, Rat
    Immunocytochemistry/Immunofluorescence, 5 μg/mL, Human
    Flow Cytometry (Fixed), 1-3 μg/1x106 cells, Human
    ELISA, 0.1-0.5 μg/mL, -

    Restrictions

    For Research Use only
  • Format

    Lyophilized

    Reconstitution

    Adding 0.2 mL of distilled water will yield a concentration of 500 μg/mL.

    Concentration

    500 μg/mL

    Buffer

    Each vial contains 4 mg Trehalose, 0.9 mg NaCl, 0.2 mg Na2HPO4.

    Stock

    4 °C,-20 °C

    Stockage commentaire

    At -20°C for one year from date of receipt. After reconstitution, at 4°C for one month.
    It can also be aliquotted and stored frozen at -20°C for six months. Avoid repeated freezing and thawing.
  • Antigène

    RPL29 (Ribosomal Protein L29 (RPL29))

    Autre désignation

    RPL29

    Sujet

    Synonyms: Long-chain-fatty-acid--CoA ligase 3,6.2.1.3,Long-chain acyl-CoA synthetase 3,LACS 3,ACSL3,ACS3, FACL3, LACS3,

    Tissue Specificity: Expressed in breast, ductal and invasive ductal carcinomas of the breast, sporadic colorectal adenomas and carcinomas (at protein level). Expressed in fetal brain. Expressed in lung, amygdala, eye, prostate, pancreatic and prostate cancers, head and neck tumors and embryonal tumor.

    Background: 60S ribosomal protein L29 is a protein that in humans is encoded by the RPL29 gene. Ribosomes, the organelles that catalyze protein synthesis, consist of a small 40S subunit and a large 60S subunit. Together these subunits are composed of 4 RNA species and approximately 80 structurally distinct proteins. This gene encodes a cytoplasmic ribosomal protein that is a component of the 60S subunit. The protein belongs to the L29E family of ribosomal proteins. The protein is also a peripheral membrane protein expressed on the cell surface that ly binds heparin. Although this gene was previously reported to map to 3q29-qter, it is believed that it is located at 3p21.3-p21.2. As is typical for genes encoding ribosomal proteins, there are multiple processed pseudogenes of this gene dispersed through the genome.

    Poids moléculaire

    20 kDa

    ID gène

    6159

    UniProt

    P47914
Vous êtes ici:
Chat with us!