Tel:
+49 (0)241 95 163 153
Fax:
+49 (0)241 95 163 155
E-Mail:
orders@anticorps-enligne.fr

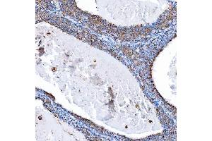
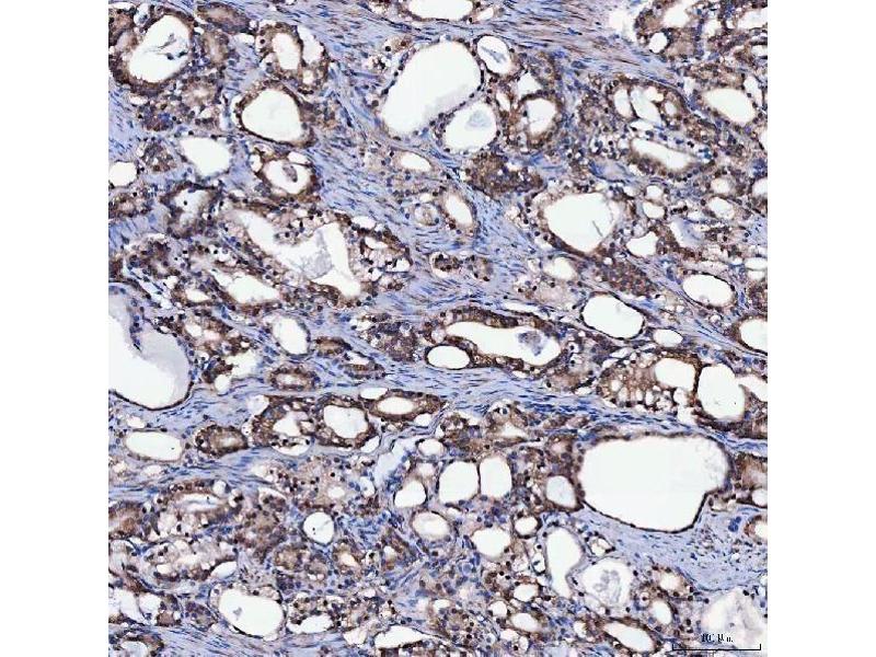
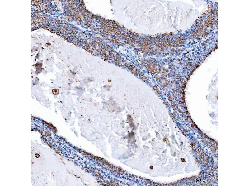
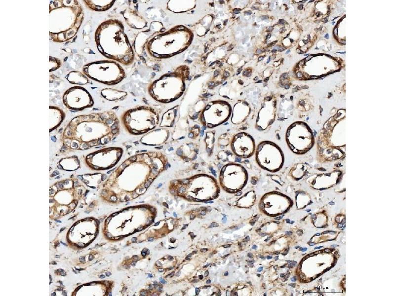
SH2D4A anticorps (AA 42-454)

L’anticorps anti-SH2D4A Polyclonal Lapin est utilisé pour la détection de SH2D4A dans des échantillons de Humain et Rat. Il a été validé pour WB, ELISA, IHC, IF, FACS et ICC.
N° du produit ABIN7601695
500,50 €
Plus frais de livraison 40,00 € et TVA
100 μg
Destination: France
Envoi sous 8 à 12 jours ouvrables

Aperçu rapide pour SH2D4A anticorps (AA 42-454) (ABIN7601695)

Antigène

Voir toutes SH2D4A Anticorps
SH2D4A (SH2 Domain Containing 4A (SH2D4A))

Reactivité

  • 22
  • 1
  • 1
Humain, Rat

Hôte

  • 18
  • 3
  • 1
Lapin

Clonalité

  • 21
  • 1
Polyclonal

Conjugué

  • 17
  • 1
  • 1
  • 1
  • 1
  • 1
Cet anticorp SH2D4A est non-conjugé

Application

  • 19
  • 13
  • 12
  • 6
  • 1
  • 1
  • 1
Western Blotting (WB), ELISA, Immunohistochemistry (IHC), Immunofluorescence (IF), Flow Cytometry (FACS), Immunocytochemistry (ICC)
  • Épitope

    • 8
    • 4
    • 3
    • 3
    • 2
    • 1
    • 1
    • 1
    • 1
    AA 42-454

    Fonction

    Anti-SH2D4A Antibody

    Réactivité croisée (Details)

    No cross-reactivity with other proteins.

    Attributs du produit

    Anti-SH2D4A Antibody (ABIN7601695). Tested in ELISA, Flow Cytometry, IF, IHC, ICC, WB applications. This antibody reacts with Human, Rat. This is a premium antibody that guarantees superior quality, high affinity, and strong signals with minimal background in Western blot applications.

    Purification

    Immunogen affinity purified.

    Immunogène

    E.coli-derived human SH2D4A recombinant protein (Position: R42-E454).

    Isotype

    IgG
  • Indications d'application

    Western blot, 0.25-0.5 μg/mL, Human, Rat
    Immunohistochemistry(Paraffin-embedded Section), 2-5 μg/mL, Human, Rat
    Immunocytochemistry/Immunofluorescence, 5 μg/mL, Human
    Flow Cytometry (Fixed), 1-3 μg/1x106 cells, Human
    ELISA, 0.1-0.5 μg/mL, -

    Restrictions

    For Research Use only
  • Format

    Lyophilized

    Reconstitution

    Adding 0.2 mL of distilled water will yield a concentration of 500 μg/mL.

    Concentration

    500 μg/mL

    Buffer

    Each vial contains 4 mg Trehalose, 0.9 mg NaCl, 0.2 mg Na2HPO4.

    Stock

    4 °C,-20 °C

    Stockage commentaire

    At -20°C for one year from date of receipt. After reconstitution, at 4°C for one month.
    It can also be aliquotted and stored frozen at -20°C for six months. Avoid repeated freezing and thawing.
  • Antigène

    SH2D4A (SH2 Domain Containing 4A (SH2D4A))

    Autre désignation

    SH2D4A

    Sujet

    Synonyms: Tudor domain-containing protein 3, TDRD3

    Tissue Specificity: Detected in heart, brain, placenta, lung, liver, skeletal muscle, kidney and pancreas.

    Background: SH2 domain-containing protein 4A is a protein that in humans is encoded by the SH2D4A gene. Using exon trapping and exon linking at chromosome 8p22 cloned SH2D4A, which they called SH2A. The deduced 454-amino acid protein contains a single SH2 domain. RT-PCR and Northern blot analysis detected ubiquitous expression of 3 SH2A transcripts, as well as aberrant expression in some cancer cell lines. Dai et al. (2002) concluded that SH2A is a docking protein that may be involved in signal transduction.

    Poids moléculaire

    50 kDa

    ID gène

    63898

    UniProt

    Q9H788
Vous êtes ici:
Chat with us!