Tel:
+49 (0)241 95 163 153
Fax:
+49 (0)241 95 163 155
E-Mail:
orders@anticorps-enligne.fr

SNRNP40 anticorps (AA 43-357)

L’anticorps anti-SNRNP40 Polyclonal Lapin est utilisé pour la détection de SNRNP40 dans des échantillons de Humain, Souris et Rat. Il a été validé pour WB, ELISA, IHC, FACS, ICC et IF.
N° du produit ABIN7601719
500,50 €
Plus frais de livraison 40,00 € et TVA
100 μg
Destination: France
Envoi sous 8 à 12 jours ouvrables

Aperçu rapide pour SNRNP40 anticorps (AA 43-357) (ABIN7601719)

Antigène

Voir toutes SNRNP40 Anticorps
SNRNP40 (Small Nuclear Ribonucleoprotein 40kDa (U5) (SNRNP40))

Reactivité

  • 20
  • 2
  • 2
  • 2
  • 2
  • 2
  • 2
  • 1
  • 1
  • 1
  • 1
  • 1
  • 1
Humain, Souris, Rat

Hôte

  • 20
Lapin

Clonalité

  • 20
Polyclonal

Conjugué

  • 9
  • 3
  • 3
  • 3
  • 1
  • 1
Cet anticorp SNRNP40 est non-conjugé

Application

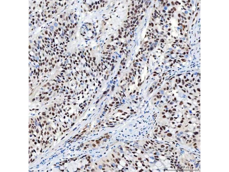
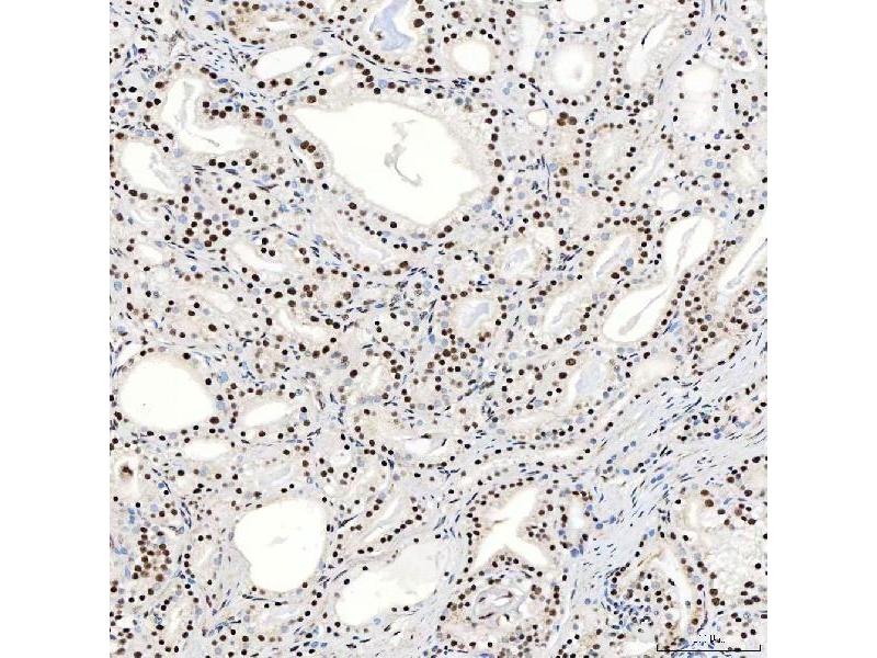
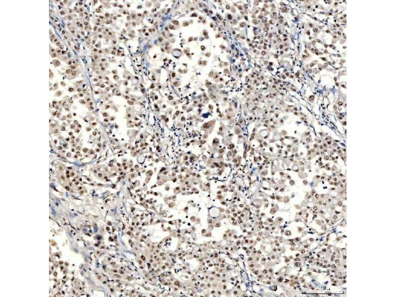
Western Blotting (WB), ELISA, Immunohistochemistry (IHC), Flow Cytometry (FACS), Immunocytochemistry (ICC), Immunofluorescence (IF)
  • Épitope

    • 8
    • 7
    • 1
    • 1
    • 1
    • 1
    • 1
    AA 43-357

    Fonction

    Anti-SNRNP40 Antibody

    Réactivité croisée (Details)

    No cross-reactivity with other proteins

    Attributs du produit

    Anti-SNRNP40 Antibody (ABIN7601719). Tested in ELISA, Flow Cytometry, IF, IHC, ICC, WB applications. This antibody reacts with Human, Mouse, Rat. This is a premium antibody that guarantees superior quality, high affinity, and strong signals with minimal background in Western blot applications.

    Purification

    Immunogen affinity purified.

    Immunogène

    E.coli-derived human SNRNP40 recombinant protein (Position: A43-Q357).

    Isotype

    IgG
  • Indications d'application

    Western blot, 0.25-0.5 μg/mL, Human, Mouse, Rat
    Immunohistochemistry(Paraffin-embedded Section), 2-5 μg/mL, Human, Mouse, Rat
    Immunocytochemistry/Immunofluorescence, 5 μg/mL, Human
    Immunofluorescence, 5 μg/mL, Human
    Flow Cytometry (Fixed), 1-3 μg/1x106 cells, Human
    ELISA, 0.1-0.5 μg/mL, -

    Restrictions

    For Research Use only
  • Format

    Lyophilized

    Reconstitution

    Adding 0.2 mL of distilled water will yield a concentration of 500 μg/mL.

    Concentration

    500 μg/mL

    Buffer

    Each vial contains 4 mg Trehalose, 0.9 mg NaCl, 0.2 mg Na2HPO4.

    Stock

    4 °C,-20 °C

    Stockage commentaire

    At -20°C for one year from date of receipt. After reconstitution, at 4°C for one month.
    It can also be aliquotted and stored frozen at -20°C for six months. Avoid repeated freezing and thawing.
  • Antigène

    SNRNP40 (Small Nuclear Ribonucleoprotein 40kDa (U5) (SNRNP40))

    Autre désignation

    SNRNP40

    Sujet

    Synonyms: Alpha-amylase 1,3.2.1.1,1,4-alpha-D-glucan glucanohydrolase 1,Salivary alpha-amylase,AMY1A,AMY1,AMY1B,AMY1,AMY1C,AMY1,

    Tissue Specificity: Highly expressed in the kidney, brain and testis and to a lower extent in heart, liver and small intestine. Expressed in the lens, cornea and retina. Strongly expressed in the distal tips of the retinal neuroepithelium that form the iris and ciliary body.

    Background: This gene encodes a component of the U5 small nuclear ribonucleoprotein (snRNP) particle. The U5 snRNP is part of the spliceosome, a multiprotein complex that catalyzes the removal of introns from pre-messenger RNAs.

    Poids moléculaire

    37 kDa

    ID gène

    9410
Vous êtes ici:
Chat with us!