PPARD anticorps (AA 2-100)
Aperçu rapide pour PPARD anticorps (AA 2-100) (ABIN726845)
Antigène
Voir toutes PPARD AnticorpsReactivité
Hôte
Clonalité
Conjugué
Application
-
-
Épitope
- AA 2-100
-
Réactivité croisée
- Humain
-
Homologie
- Mouse,Rat
-
Purification
- Purified by Protein A.
-
Immunogène
- KLH conjugated synthetic peptide derived from mouse PPAR-delta
-
Isotype
- IgG
-
-
-
-
Indications d'application
-
WB 1:300-5000
ELISA 1:500-1000
FCM 1:20-100
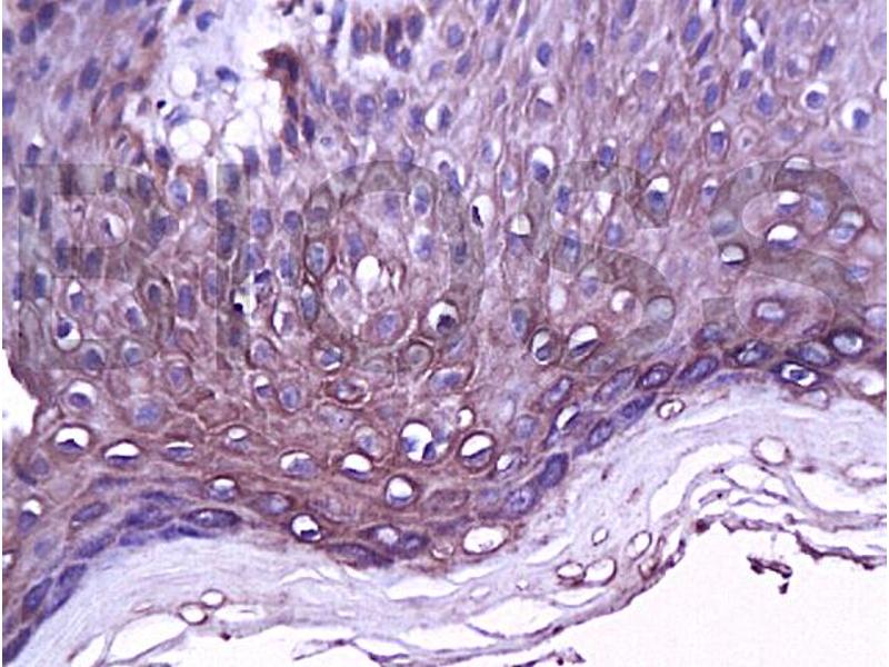
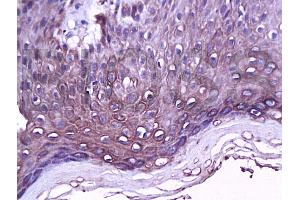
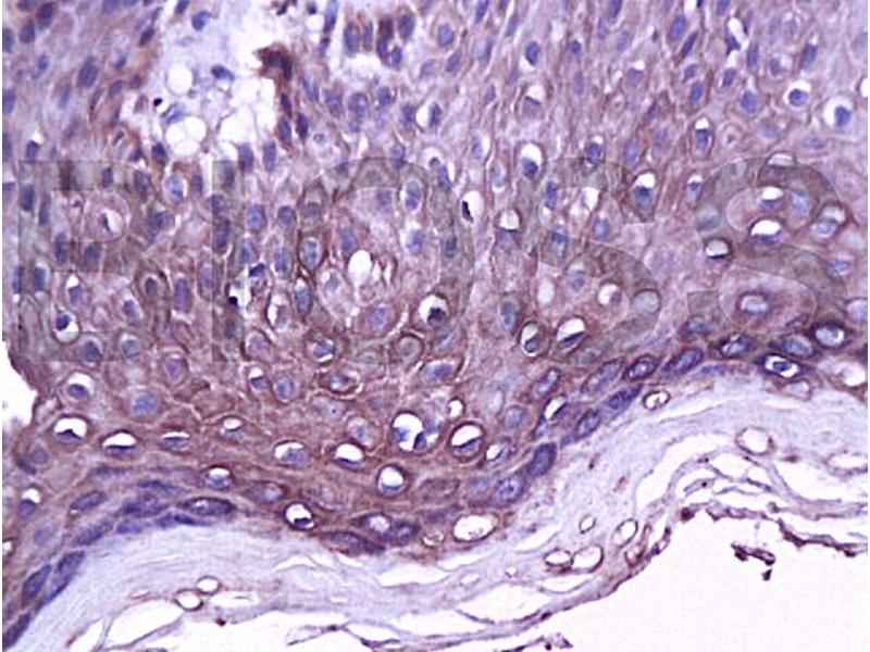
IHC-P 1:200-400
IHC-F 1:100-500
IF(IHC-P) 1:50-200
IF(IHC-F) 1:50-200
IF(ICC) 1:50-200 -
Restrictions
- For Research Use only
-
-
-
Format
- Liquid
-
Concentration
- 1 μg/μL
-
Buffer
- 0.01M TBS( pH 7.4) with 1 % BSA, 0.02 % Proclin300 and 50 % Glycerol.
-
Agent conservateur
- ProClin
-
Précaution d'utilisation
- This product contains ProClin: a POISONOUS AND HAZARDOUS SUBSTANCE, which should be handled by trained staff only.
-
Stock
- 4 °C,-20 °C
-
Stockage commentaire
- Shipped at 4°C. Store at -20°C for one year. Avoid repeated freeze/thaw cycles.
-
Date de péremption
- 12 months
-
-
- PPARD (Peroxisome Proliferator-Activated Receptor delta (PPARD))
-
Autre désignation
- PPAR delta
-
Sujet
-
Synonyms: NUC1, NUC-1, Nr1c2, Pparb, PPAR[b], Pparb/d, PPAR-beta, PPARdelta, PPAR-delta, Peroxisome proliferator-activated receptor delta, Nuclear hormone receptor 1, Nuclear receptor subfamily 1 group C member 2, Peroxisome proliferator-activated receptor beta, Ppard
Background: Ligand-activated transcription factor. Receptor that binds peroxisome proliferators such as hypolipidemic drugs and fatty acids. Has a preference for poly-unsaturated fatty acids, such as gamma-linoleic acid and eicosapentanoic acid. Once activated by a ligand, the receptor binds to promoter elements of target genes. Regulates the peroxisomal beta-oxidation pathway of fatty acids. Functions as transcription activator for the acyl-CoA oxidase gene. Decreases expression of NPC1L1 once activated by a ligand (By similarity).
-
ID gène
- 19015
-
UniProt
- P35396
-
Pathways
- Nuclear Receptor Transcription Pathway, Positive Regulation of Peptide Hormone Secretion, Steroid Hormone Mediated Signaling Pathway, Monocarboxylic Acid Catabolic Process, Smooth Muscle Cell Migration, Positive Regulation of fat Cell Differentiation
Antigène
-