Tel:
+49 (0)241 95 163 153
Fax:
+49 (0)241 95 163 155
E-Mail:
orders@anticorps-enligne.fr

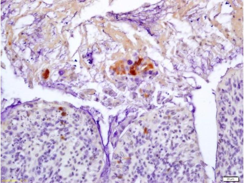
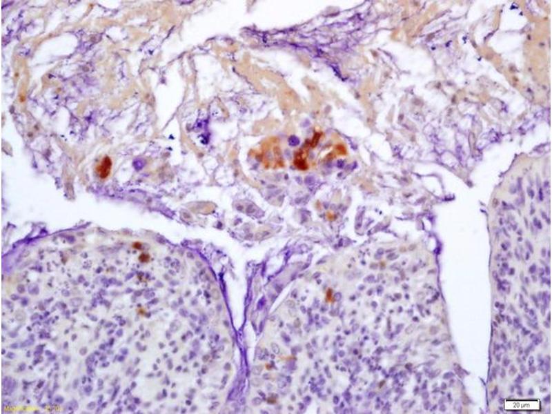
CMV p65 anticorps (AA 251-350)

Il existe 1 publication pour ce produit. L’anticorps anti-CMV p65 Polyclonal Lapin est utilisé pour la détection de CMV p65 dans des échantillons de Human Herpesvirus 5 (HHV-5), Virus, Boeuf (Vache), Humain et Souris. Il a été validé pour ELISA, WB, IF (cc), IF (p), IHC (fro) et IHC (p).
N° du produit ABIN727070
357,70 €
Plus frais de livraison 40,00 € et TVA
100 μL
Destination: France
Envoi sous 8 à 12 jours ouvrables

Aperçu rapide pour CMV p65 anticorps (AA 251-350) (ABIN727070)

Antigène

CMV p65 (Cytomegalovirus p65 (CMV p65))

Reactivité

  • 27
  • 15
  • 14
  • 14
  • 14
  • 6
Human Herpesvirus 5 (HHV-5), Virus, Boeuf (Vache), Humain, Souris

Hôte

  • 19
  • 14
Lapin

Clonalité

  • 20
  • 14
Polyclonal

Conjugué

  • 13
  • 2
  • 1
  • 1
  • 1
  • 1
  • 1
  • 1
  • 1
  • 1
  • 1
  • 1
  • 1
  • 1
  • 1
  • 1
  • 1
  • 1
  • 1
  • 1
  • 1
Cet anticorp CMV p65 est non-conjugé

Application

  • 20
  • 16
  • 13
  • 12
  • 12
  • 11
  • 9
  • 2
  • 2
  • 2
  • 1
  • 1
ELISA, Western Blotting (WB), Immunofluorescence (Cultured Cells) (IF (cc)), Immunofluorescence (Paraffin-embedded Sections) (IF (p)), Immunohistochemistry (Frozen Sections) (IHC (fro)), Immunohistochemistry (Paraffin-embedded Sections) (IHC (p))
  • Épitope

    AA 251-350

     Réactivité croisée

    Boeuf (Vache), Humain, Souris, Virus

    Réactivité croisée (Details)

    HCMV PP65

    Attributs du produit

    Antibody is specific for: HCMV PP65

    Purification

    Purified by Protein A.

    Immunogène

    KLH conjugated synthetic peptide derived from Cytomegalovirus pp65

    Isotype

    IgG
  • Indications d'application

    WB 1:300-5000
    ELISA 1:500-1000
    IHC-P 1:200-400
    IHC-F 1:100-500
    IF(IHC-P) 1:50-200
    IF(IHC-F) 1:50-200
    IF(ICC) 1:50-200

    Restrictions

    For Research Use only
  • Format

    Liquid

    Concentration

    1 μg/μL

    Buffer

    0.01M TBS( pH 7.4) with 1 % BSA, 0.02 % Proclin300 and 50 % Glycerol.

    Agent conservateur

    ProClin

    Précaution d'utilisation

    This product contains ProClin: a POISONOUS AND HAZARDOUS SUBSTANCE, which should be handled by trained staff only.

    Stock

    4 °C,-20 °C

    Stockage commentaire

    Shipped at 4°C. Store at -20°C for one year. Avoid repeated freeze/thaw cycles.

    Date de péremption

    12 months
  • Ma, Pei, Wang, Feng, Zhang, Gao: "LncRNA XIST mediates bovine mammary epithelial cell inflammatory response via NF-κB/NLRP3 inflammasome pathway." dans: Cell proliferation, Vol. 52, Issue 1, pp. e12525, (2019) (PubMed).

  • Antigène

    CMV p65 (Cytomegalovirus p65 (CMV p65))

    Autre désignation

    Cytomegalovirus pp65

    Classe de substances

    Viral Protein

    Sujet

    Synonyms: 65 kDa phosphoprotein, pp65, 65 kDa matrix phosphoprotein, Phosphoprotein UL83, Tegument protein UL83, UL83

    Background: Counteracts the host antiviral immune response by preventing IRF3 from entering the nucleus once activated and phosphorylated. Participates also in the transactivation of viral major immediate-early genes by recruiting host IFI16 to their promoters.

    ID gène

    3077579

    UniProt

    Q6SW59
Vous êtes ici:
Chat with us!