Tel:
+49 (0)241 95 163 153
Fax:
+49 (0)241 95 163 155
E-Mail:
orders@anticorps-enligne.fr

Recombinant RUNX1,RUNX2,RUNX3 anticorps

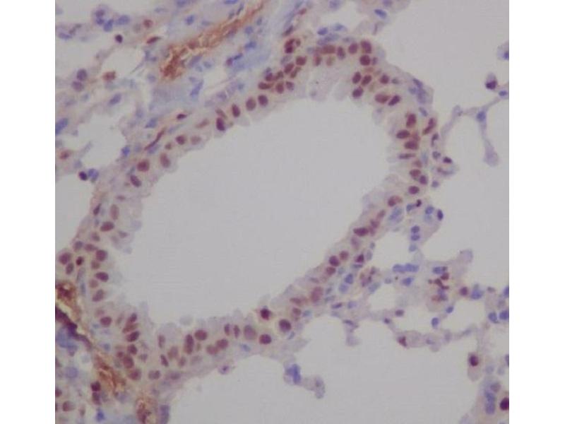
Cet anticorps anti-RUNX1,RUNX2,RUNX3 Monoclonal Lapin (ABIN7606766) détecte spécifiquement RUNX1,RUNX2,RUNX3 dans WB, IHC, ICC, IF, FACS et IP. L’anticorps est réactif avec des échantillons de Humain, Souris et Rat.
N° du produit ABIN7606766
400,40 €
Plus frais de livraison 40,00 € et TVA
Destination: France
Envoi sous 10 à 14 jours ouvrables

Aperçu rapide pour Recombinant RUNX1,RUNX2,RUNX3 anticorps (ABIN7606766)

Antigène

RUNX1,RUNX2,RUNX3

Type d'anticorp

Recombinant Antibody

Reactivité

Humain, Souris, Rat

Hôte

  • 11
Lapin

Clonalité

  • 11
Monoclonal

Conjugué

  • 2
  • 1
  • 1
  • 1
  • 1
  • 1
  • 1
  • 1
  • 1
  • 1
Inconjugué

Application

  • 11
  • 10
  • 9
  • 9
  • 2
  • 1
  • 1
Western Blotting (WB), Immunohistochemistry (IHC), Immunocytochemistry (ICC), Immunofluorescence (IF), Flow Cytometry (FACS), Immunoprecipitation (IP)

Classe de qualité

KD Validated
  • Fonction

    RUNX1/RUNX2/RUNX3 Rabbit mAb

    Specificité

    RUNX1/RUNX2/RUNX3 Antibody detects endogenous levels of total RUNX1/RUNX2/RUNX3

    Purification

    Affinity-chromatography

    Immunogène

    A synthesized peptide derived from human RUNX1/RUNX2/RUNX3

    Isotype

    IgG
  • Indications d'application

    WB:1:500~1:2000 IHC:1:50~1:200 ICC/IF:1:50~1:200 IP:1:50

    Restrictions

    For Research Use only
  • Buffer

    phosphate buffered saline , pH 7.4, 150 mM NaCl, 0.02 % sodium azide and 50 % glycerol.

    Agent conservateur

    Sodium azide

    Précaution d'utilisation

    This product contains Sodium azide: a POISONOUS AND HAZARDOUS SUBSTANCE which should be handled by trained staff only.

    Stock

    4 °C,-20 °C

    Stockage commentaire

    Store at +4°C short term. Store at -20°C long term. Avoid freeze / thaw cycle.
  • Antigène

    RUNX1,RUNX2,RUNX3

    Autre désignation

    RUNX1/RUNX2/RUNX3

    Sujet

    RUNX1, AML1, RUNX2, OSF2, RUNX3, CBFA3,

    Poids moléculaire

    51kDa

    UniProt

    Q01196
Vous êtes ici:
Chat with us!