×
Pour une meilleure utilisation, nous vous conseillons d’activer Javascript dans votre navigateur.
Recombinant ATG9A anticorps
Cet anticorps Lapin Monoclonal détecte spécifiquement ATG9A dans WB, IHC, IF, ICC et IP. Il présente une réactivité avec des échantillons de Humain, Rat et Souris.
N° du produit ABIN7606902
400,40 €
Plus frais de livraison 40,00 € et TVA
50 μL ABIN7690895
100 μL ABIN7606902
50 μL ABIN7690895
100 μL ABIN7606902
Envoi sous 10 à 14 jours ouvrables
Aperçu rapide pour Recombinant ATG9A anticorps (ABIN7606902)
Antigène
Voir toutes ATG9A Anticorps
ATG9A
(ATG9 Autophagy Related 9 Homolog A (S. Cerevisiae) (ATG9A))
Type d'anticorp
Recombinant Antibody
Reactivité
Toutes les réactivités sur ATG9A Anticorps
Humain, Rat, Souris
Hôte
Toutes les hôtes sur ATG9A Anticorps
Lapin
Clonalité
Toutes les clonalités sur ATG9A Anticorps
Monoclonal
Conjugué
Tous les conjugués à travers ATG9A Anticorps
Cet anticorp ATG9A est non-conjugé
Application
Tous les applications à travers ATG9A Anticorps.
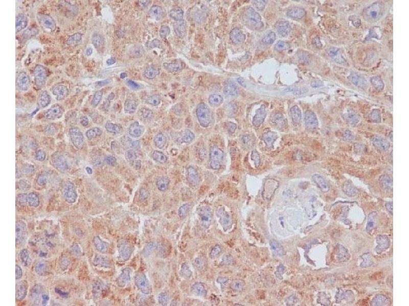
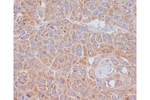
Western Blotting (WB), Immunohistochemistry (IHC), Immunofluorescence (IF), Immunocytochemistry (ICC), Immunoprecipitation (IP)
Classe de qualité
KD Validated
Détail du produit anti-ATG9A anticorps
(cache)
Fonction
ATG9A Rabbit mAb
Specificité
ATG9A Antibody detects endogenous levels of ATG9A
Purification
Affinity-chromatography
Immunogène
A synthesized peptide derived from human ATG9A
Isotype
IgG
Alternatives
(show)
Information d'application
(cache)
Indications d'application
WB 1:1000~1:2000 IHC 1:50~1:200 ICC/IF 1:50~1:200 IP 1:50
Restrictions
For Research Use only
Stockage
(cache)
Buffer
phosphate buffered saline , pH 7.4, 150 mM NaCl, 0.02 % sodium azide and 50 % glycerol.
Agent conservateur
Sodium azide
Précaution d'utilisation
This product contains Sodium azide: a POISONOUS AND HAZARDOUS SUBSTANCE which should be handled by trained staff only.
Stock
4 °C,-20 °C
Stockage commentaire
Store at +4°C short term. Store at -20°C long term. Avoid freeze / thaw cycle.
Détails sur ATG9A
(cache)
Antigène
ATG9A
(ATG9 Autophagy Related 9 Homolog A (S. Cerevisiae) (ATG9A))
Autre désignation
ATG9A
Sujet
ATG9A, APG9-like 1, Autophagy 9-like 1 protein, Autophagy-related protein 9A, MGD3208, MATG9, APG9 autophagy 9-like 1, APG9L1, Autophagy related 9A,
Poids moléculaire
94kDa
UniProt
Q7Z3C6
Vus récemment
(cache)
Chat with us , powered by LiveChat