Tel:
+49 (0)241 95 163 153
Fax:
+49 (0)241 95 163 155
E-Mail:
orders@anticorps-enligne.fr

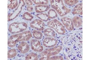
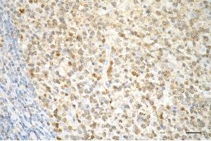
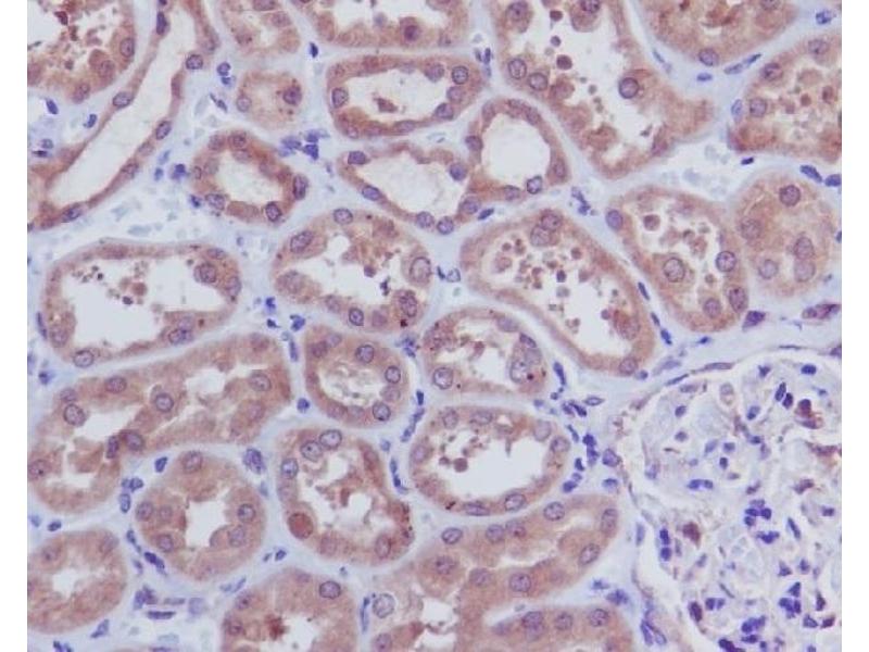
Recombinant Caspase 3 p12 anticorps

L’anticorps anti-Caspase 3 p12 Monoclonal Lapin est utilisé pour la détection de Caspase 3 p12 dans des échantillons de Humain, Souris et Rat. Il a été validé pour WB, IF, IHC, ICC et IP.
N° du produit ABIN7606912
400,40 €
Plus frais de livraison 40,00 € et TVA
Destination: France
Envoi sous 10 à 14 jours ouvrables

Aperçu rapide pour Recombinant Caspase 3 p12 anticorps (ABIN7606912)

Antigène

Caspase 3 p12

Type d'anticorp

Recombinant Antibody

Reactivité

Humain, Souris, Rat

Hôte

  • 13
Lapin

Clonalité

  • 10
  • 3
Monoclonal

Conjugué

  • 4
  • 1
  • 1
  • 1
  • 1
  • 1
  • 1
  • 1
  • 1
  • 1
Inconjugué

Application

  • 13
  • 12
  • 10
  • 9
  • 2
  • 2
  • 1
  • 1
Western Blotting (WB), Immunofluorescence (IF), Immunohistochemistry (IHC), Immunocytochemistry (ICC), Immunoprecipitation (IP)

Classe de qualité

KD Validated
  • Fonction

    Caspase-3 p12 Rabbit mAb

    Specificité

    Caspase-3 p12 Antibody detects endogenous levels of Caspase-3 p12

    Purification

    Affinity-chromatography

    Immunogène

    A synthesized peptide derived from human Caspase-3 p12

    Isotype

    IgG
  • Indications d'application

    WB 1:500~1:1000 IHC 1:100~1:500 ICC/IF 1:50~1:200

    Restrictions

    For Research Use only
  • Buffer

    phosphate buffered saline , pH 7.4, 150 mM NaCl, 0.02 % sodium azide and 50 % glycerol.

    Agent conservateur

    Sodium azide

    Précaution d'utilisation

    This product contains Sodium azide: a POISONOUS AND HAZARDOUS SUBSTANCE which should be handled by trained staff only.

    Stock

    4 °C,-20 °C

    Stockage commentaire

    Store at +4°C short term. Store at -20°C long term. Avoid freeze / thaw cycle.
  • Antigène

    Caspase 3 p12

    Autre désignation

    Caspase-3 p12

    Sujet

    Apopain, CASP-3, CASP3, Caspase-3 subunit p12, CPP-32, Cysteine protease CPP32, Protein Yama, SCA-1, SREBP cleavage activity 1,

    Poids moléculaire

    12,29,32kDa

    UniProt

    P42574
Vous êtes ici:
Chat with us!