Tel:
+49 (0)241 95 163 153
Fax:
+49 (0)241 95 163 155
E-Mail:
orders@anticorps-enligne.fr

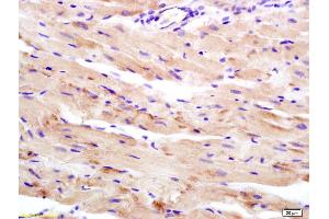
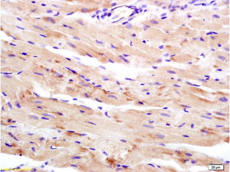
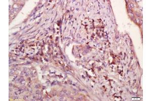
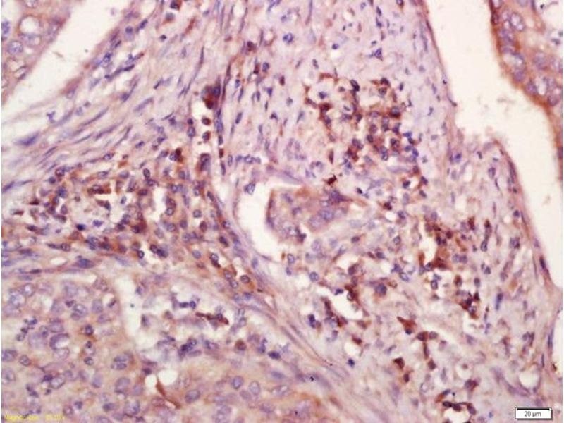
WDR26 anticorps (AA 101-200)

Cet anticorps Lapin Polyclonal détecte spécifiquement WDR26 dans WB, FACS, IF (cc), IF (p), ELISA, IHC (fro) et IHC (p). Il présente une réactivité avec des échantillons de Humain, Souris et Rat.Il a été cité dans 1 publication.
N° du produit ABIN729988
357,70 €
Plus frais de livraison 40,00 € et TVA
100 μL
Destination: France
Envoi sous 8 à 12 jours ouvrables

Aperçu rapide pour WDR26 anticorps (AA 101-200) (ABIN729988)

Antigène

Voir toutes WDR26 Anticorps
WDR26 (WD Repeat Domain 26 (WDR26))

Reactivité

  • 24
  • 21
  • 19
  • 4
  • 3
  • 3
  • 3
  • 2
  • 2
  • 2
  • 1
  • 1
Humain, Souris, Rat

Hôte

  • 24
Lapin

Clonalité

  • 24
Polyclonal

Conjugué

  • 9
  • 1
  • 1
  • 1
  • 1
  • 1
  • 1
  • 1
  • 1
  • 1
  • 1
  • 1
  • 1
  • 1
  • 1
  • 1
Cet anticorp WDR26 est non-conjugé

Application

  • 24
  • 14
  • 12
  • 12
  • 3
  • 2
  • 2
  • 1
  • 1
Western Blotting (WB), Flow Cytometry (FACS), Immunofluorescence (Cultured Cells) (IF (cc)), Immunofluorescence (Paraffin-embedded Sections) (IF (p)), ELISA, Immunohistochemistry (Frozen Sections) (IHC (fro)), Immunohistochemistry (Paraffin-embedded Sections) (IHC (p))
  • Épitope

    • 15
    • 2
    • 2
    • 1
    • 1
    • 1
    • 1
    AA 101-200

     Réactivité croisée

    Humain, Souris, Rat

    Homologie

    Dog,Cow,Horse,Chicken

    Purification

    Purified by Protein A.

    Immunogène

    KLH conjugated synthetic peptide derived from human WDR26

    Isotype

    IgG
  • Indications d'application

    WB 1:300-5000
    ELISA 1:500-1000
    FCM 1:20-100
    IHC-P 1:200-400
    IHC-F 1:100-500
    IF(IHC-P) 1:50-200
    IF(IHC-F) 1:50-200
    IF(ICC) 1:50-200

    Restrictions

    For Research Use only
  • Format

    Liquid

    Concentration

    1 μg/μL

    Buffer

    0.01M TBS( pH 7.4) with 1 % BSA, 0.02 % Proclin300 and 50 % Glycerol.

    Agent conservateur

    ProClin

    Précaution d'utilisation

    This product contains ProClin: a POISONOUS AND HAZARDOUS SUBSTANCE, which should be handled by trained staff only.

    Stock

    4 °C,-20 °C

    Stockage commentaire

    Shipped at 4°C. Store at -20°C for one year. Avoid repeated freeze/thaw cycles.

    Date de péremption

    12 months
  • Su, Min, Cao, Yan, Zhao, Li, Chai, Mei, Yang, Zhang, Zhang, Liu, Sun, Che, Yang: "LRRC19 expressed in the kidney induces TRAF2/6-mediated signals to prevent infection by uropathogenic bacteria." dans: Nature communications, Vol. 5, pp. 4434, (2014) (PubMed).

  • Antigène

    WDR26 (WD Repeat Domain 26 (WDR26))

    Autre désignation

    WDR26

    Sujet

    Synonyms: CDW2, GID7, MIP2, WD repeat-containing protein 26, CUL4- and DDB1-associated WDR protein 2, Myocardial ischemic preconditioning up-regulated protein 2, WDR26, PRO852

    Background: This gene encodes a member of the WD repeat protein family. WD repeats are minimally conserved regions of approximately 40 amino acids typically bracketed by gly-his and trp-asp (GH-WD), which may facilitate formation of heterotrimeric or multiprotein complexes. Members of this family are involved in a variety of cellular processes, including cell cycle progression, signal transduction, apoptosis, and gene regulation. Two transcript variants encoding two different isoforms have been found for this gene. [provided by RefSeq].

    ID gène

    80232

    UniProt

    Q9H7D7
Vous êtes ici:
Chat with us!