Tel:
+49 (0)241 95 163 153
Fax:
+49 (0)241 95 163 155
E-Mail:
orders@anticorps-enligne.fr

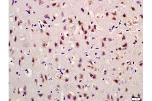
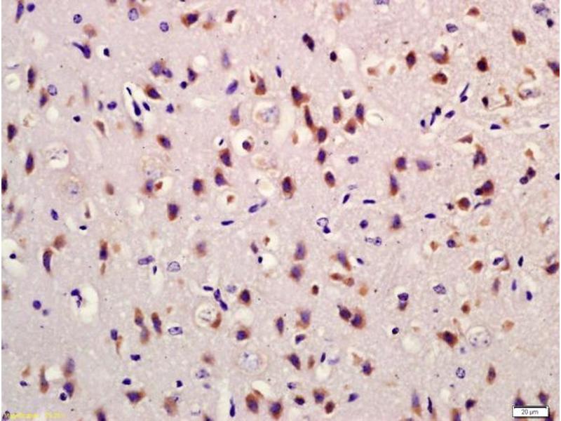
DRD5 anticorps (AA 251-350)

Il existe 1 publication pour ce produit. L’anticorps anti-DRD5 Polyclonal Lapin est utilisé pour la détection de DRD5 dans des échantillons de Souris et Rat. Il a été validé pour WB, ELISA, IHC (p), FACS, IF (cc), IF (p) et IHC (fro).
N° du produit ABIN733868
357,70 €
Plus frais de livraison 40,00 € et TVA
100 μL
Destination: France
Envoi sous 8 à 12 jours ouvrables

Aperçu rapide pour DRD5 anticorps (AA 251-350) (ABIN733868)

Antigène

Voir toutes DRD5 Anticorps
DRD5 (Dopamine Receptor D5 (DRD5))

Reactivité

  • 32
  • 17
  • 16
  • 1
  • 1
Souris, Rat

Hôte

  • 37
  • 2
  • 1
Lapin

Clonalité

  • 38
  • 2
Polyclonal

Conjugué

  • 27
  • 3
  • 3
  • 1
  • 1
  • 1
  • 1
  • 1
  • 1
  • 1
Cet anticorp DRD5 est non-conjugé

Application

  • 23
  • 17
  • 7
  • 6
  • 4
  • 3
  • 1
  • 1
  • 1
  • 1
Western Blotting (WB), ELISA, Immunohistochemistry (Paraffin-embedded Sections) (IHC (p)), Flow Cytometry (FACS), Immunofluorescence (Cultured Cells) (IF (cc)), Immunofluorescence (Paraffin-embedded Sections) (IF (p)), Immunohistochemistry (Frozen Sections) (IHC (fro))
  • Épitope

    • 6
    • 6
    • 2
    • 2
    • 2
    • 2
    • 2
    • 2
    • 2
    • 1
    • 1
    • 1
    • 1
    • 1
    • 1
    AA 251-350

     Réactivité croisée

    Souris, Rat

    Homologie

    Human

    Purification

    Purified by Protein A.

    Immunogène

    KLH conjugated synthetic peptide derived from rat DRD5

    Isotype

    IgG
  • Indications d'application

    WB 1:300-5000
    ELISA 1:500-1000
    FCM 1:20-100
    IHC-P 1:200-400
    IHC-F 1:100-500
    IF(IHC-P) 1:50-200
    IF(IHC-F) 1:50-200
    IF(ICC) 1:50-200

    Restrictions

    For Research Use only
  • Format

    Liquid

    Concentration

    1 μg/μL

    Buffer

    0.01M TBS( pH 7.4) with 1 % BSA, 0.02 % Proclin300 and 50 % Glycerol.

    Agent conservateur

    ProClin

    Précaution d'utilisation

    This product contains ProClin: a POISONOUS AND HAZARDOUS SUBSTANCE, which should be handled by trained staff only.

    Stock

    4 °C,-20 °C

    Stockage commentaire

    Shipped at 4°C. Store at -20°C for one year. Avoid repeated freeze/thaw cycles.

    Date de péremption

    12 months
  • Xu, Wang, Chen, Chen, Li, Shao, Li, Lu, Zhou: "Dopamine D1 receptor activation induces dehydroepiandrosterone sulfotransferase (SULT2A1) in HepG2 cells." dans: Acta pharmacologica Sinica, Vol. 35, Issue 7, pp. 889-98, (2014) (PubMed).

  • Antigène

    DRD5 (Dopamine Receptor D5 (DRD5))

    Autre désignation

    DRD5/Dopamine receptor 5

    Sujet

    Synonyms: D1B, D(1B) dopamine receptor, D(5) dopamine receptor, Dopamine D5 receptor, Drd5

    Background: Dopamine receptor whose activity is mediated by G proteins which activate adenylyl cyclase.

    ID gène

    25195

    UniProt

    P25115

    Pathways

    Regulation of Systemic Arterial Blood Pressure by Hormones, cAMP Metabolic Process, Regulation of long-term Neuronal Synaptic Plasticity
Vous êtes ici:
Chat with us!