Tel:
+49 (0)241 95 163 153
Fax:
+49 (0)241 95 163 155
E-Mail:
orders@anticorps-enligne.fr

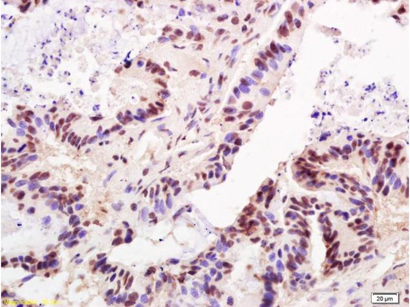
TBPL1 anticorps (AA 301-400)

L’anticorps anti-TBPL1 Polyclonal Lapin est utilisé pour la détection de TBPL1 dans des échantillons de Humain et Souris. Il a été validé pour WB, ELISA, IF (cc), IF (p), IHC (p) et IHC (fro).
N° du produit ABIN736418
357,70 €
Plus frais de livraison 40,00 € et TVA
100 μL
Destination: France
Envoi sous 8 à 12 jours ouvrables

Aperçu rapide pour TBPL1 anticorps (AA 301-400) (ABIN736418)

Antigène

Voir toutes TBPL1 Anticorps
TBPL1 (TBP-Like 1 (TBPL1))

Reactivité

  • 76
  • 41
  • 32
  • 10
  • 3
  • 2
  • 2
  • 2
  • 2
  • 1
  • 1
  • 1
  • 1
  • 1
Humain, Souris

Hôte

  • 78
  • 3
  • 1
Lapin

Clonalité

  • 59
  • 23
Polyclonal

Conjugué

  • 22
  • 11
  • 6
  • 4
  • 4
  • 4
  • 4
  • 4
  • 4
  • 4
  • 2
  • 2
  • 1
  • 1
  • 1
  • 1
  • 1
  • 1
  • 1
  • 1
  • 1
  • 1
  • 1
Cet anticorp TBPL1 est non-conjugé

Application

  • 62
  • 31
  • 23
  • 21
  • 21
  • 19
  • 13
  • 12
  • 12
  • 3
  • 2
  • 2
Western Blotting (WB), ELISA, Immunofluorescence (Cultured Cells) (IF (cc)), Immunofluorescence (Paraffin-embedded Sections) (IF (p)), Immunohistochemistry (Paraffin-embedded Sections) (IHC (p)), Immunohistochemistry (Frozen Sections) (IHC (fro))
  • Épitope

    • 14
    • 7
    • 7
    • 5
    • 4
    • 4
    • 3
    • 3
    • 3
    • 2
    • 2
    • 2
    • 1
    • 1
    • 1
    • 1
    • 1
    AA 301-400

     Réactivité croisée

    Humain, Souris

    Homologie

    Rat,Dog,Pig,Rabbit

    Purification

    Purified by Protein A.

    Immunogène

    KLH conjugated synthetic peptide derived from human TRF2

    Isotype

    IgG
  • Indications d'application

    WB 1:300-5000
    ELISA 1:500-1000
    IHC-P 1:200-400
    IHC-F 1:100-500
    IF(IHC-P) 1:50-200
    IF(IHC-F) 1:50-200
    IF(ICC) 1:50-200

    Restrictions

    For Research Use only
  • Format

    Liquid

    Concentration

    1 μg/μL

    Buffer

    0.01M TBS( pH 7.4) with 1 % BSA, 0.02 % Proclin300 and 50 % Glycerol.

    Agent conservateur

    ProClin

    Précaution d'utilisation

    This product contains ProClin: a POISONOUS AND HAZARDOUS SUBSTANCE, which should be handled by trained staff only.

    Stock

    4 °C,-20 °C

    Stockage commentaire

    Shipped at 4°C. Store at -20°C for one year. Avoid repeated freeze/thaw cycles.

    Date de péremption

    12 months
  • Antigène

    TBPL1 (TBP-Like 1 (TBPL1))

    Autre désignation

    TRF2

    Sujet

    Synonyms: TRF2, TRBF2, Telomeric repeat-binding factor 2, TTAGGG repeat-binding factor 2, Telomeric DNA-binding protein, TERF2

    Background: Binds the telomeric double-stranded 5'-TTAGGG-3' repeat and plays a central role in telomere maintenance and protection against end-to-end fusion of chromosomes. In addition to its telomeric DNA-binding role, required to recruit a number of factors and enzymes required for telomere protection, including the shelterin complex, TERF2IP/RAP1 and DCLRE1B/Apollo. Component of the shelterin complex (telosome) that is involved in the regulation of telomere length and protection. Shelterin associates with arrays of double-stranded 5'-TTAGGG-3' repeats added by telomerase and protects chromosome ends, without its protective activity, telomeres are no longer hidden from the DNA damage surveillance and chromosome ends are inappropriately processed by DNA repair pathways. Together with DCLRE1B/Apollo, plays a key role in telomeric loop (T loop) formation by generating 3' single-stranded overhang at the leading end telomeres: T loops have been proposed to protect chromosome ends from degradation and repair. Required both to recruit DCLRE1B/Apollo to telomeres and activate the exonuclease activity of DCLRE1B/Apollo. Preferentially binds to positive supercoiled DNA. Together with DCLRE1B/Apollo, required to control the amount of DNA topoisomerase (TOP1, TOP2A and TOP2B) needed for telomere replication during fork passage and prevent aberrant telomere topology. Recruits TERF2IP/RAP1 to telomeres, thereby participating in to repressing homology-directed repair (HDR), which can affect telomere length.

    ID gène

    7014

    UniProt

    Q15554
Vous êtes ici:
Chat with us!