Tel:
+49 (0)241 95 163 153
Fax:
+49 (0)241 95 163 155
E-Mail:
orders@anticorps-enligne.fr

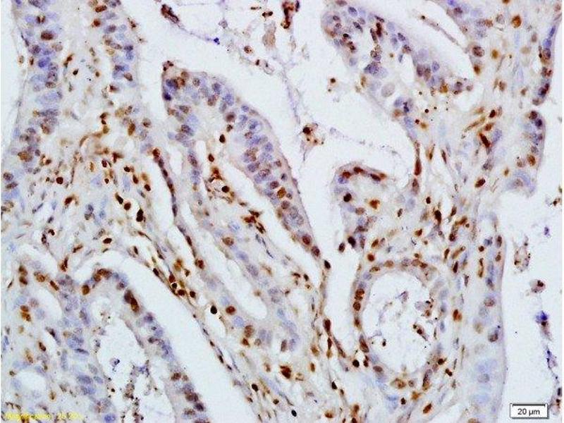
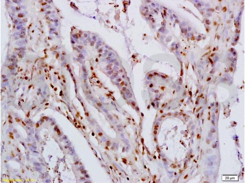
KLF2/4 anticorps (AA 415-513)

Cité dans 3 publications. Cet anticorps anti-KLF2/4 Polyclonal Lapin (ABIN737121) détecte spécifiquement KLF2/4 dans WB, FACS, IF (cc), IF (p), ELISA, IHC (fro) et IHC (p). L’anticorps est réactif avec des échantillons de Humain, Souris et Rat.
N° du produit ABIN737121
357,70 €
Plus frais de livraison 40,00 € et TVA
100 μL
Destination: France
Envoi sous 8 à 12 jours ouvrables

Aperçu rapide pour KLF2/4 anticorps (AA 415-513) (ABIN737121)

Antigène

KLF2/4 (Kruppel-Like Factor 2/4 (KLF2/4))

Reactivité

Humain, Souris, Rat

Hôte

  • 15
Lapin

Clonalité

  • 15
Polyclonal

Conjugué

  • 1
  • 1
  • 1
  • 1
  • 1
  • 1
  • 1
  • 1
  • 1
  • 1
  • 1
  • 1
  • 1
  • 1
  • 1
Cet anticorp KLF2/4 est non-conjugé

Application

Western Blotting (WB), Flow Cytometry (FACS), Immunofluorescence (Cultured Cells) (IF (cc)), Immunofluorescence (Paraffin-embedded Sections) (IF (p)), ELISA, Immunohistochemistry (Frozen Sections) (IHC (fro)), Immunohistochemistry (Paraffin-embedded Sections) (IHC (p))
  • Épitope

    AA 415-513

    Specificité

    This antibody may crossreact with KLF2 due to high sequence similarity.

     Réactivité croisée

    Humain, Souris, Rat

    Homologie

    Cow,Sheep,Pig,Horse,Chicken,Guinea Pig

    Purification

    Purified by Protein A.

    Immunogène

    KLH conjugated synthetic peptide derived from human KLF4

    Isotype

    IgG
  • Indications d'application

    WB 1:300-5000
    ELISA 1:500-1000
    FCM 1:20-100
    IHC-P 1:200-400
    IHC-F 1:100-500
    IF(IHC-P) 1:50-200
    IF(IHC-F) 1:50-200
    IF(ICC) 1:50-200

    Restrictions

    For Research Use only
  • Format

    Liquid

    Concentration

    1 μg/μL

    Buffer

    0.01M TBS( pH 7.4) with 1 % BSA, 0.02 % Proclin300 and 50 % Glycerol.

    Agent conservateur

    ProClin

    Précaution d'utilisation

    This product contains ProClin: a POISONOUS AND HAZARDOUS SUBSTANCE, which should be handled by trained staff only.

    Stock

    4 °C,-20 °C

    Stockage commentaire

    Shipped at 4°C. Store at -20°C for one year. Avoid repeated freeze/thaw cycles.

    Date de péremption

    12 months
  • Verma, Lovren, Pan, Yanagawa, Deb, Karkhanis, Quan, Teoh, Feder-Elituv, Moussa, Souza, Fremes: "Pedicled no-touch saphenous vein graft harvest limits vascular smooth muscle cell activation: the PATENT saphenous vein graft study." dans: European journal of cardio-thoracic surgery : official journal of the European Association for Cardio-thoracic Surgery, Vol. 45, Issue 4, pp. 717-25, (2014) (PubMed).

    El-Sayed, Zhang, Zhang, Liu, Abbott, Zhang, Li: "Pluripotent state induction in mouse embryonic fibroblast using mRNAs of reprogramming factors." dans: International journal of molecular sciences, Vol. 15, Issue 12, pp. 21840-64, (2014) (PubMed).

    Lovren, Pan, Quan, Singh, Shukla, Gupta, Steer, Ingram, Gupta, Al-Omran, Teoh, Marsden, Verma: "MicroRNA-145 targeted therapy reduces atherosclerosis." dans: Circulation, Vol. 126, Issue 11 Suppl 1, pp. S81-90, (2012) (PubMed).

  • Antigène

    KLF2/4 (Kruppel-Like Factor 2/4 (KLF2/4))

    Sujet

    Synonyms: EZF, GKLF, Krueppel-like factor 4, Epithelial zinc finger protein EZF, Gut-enriched krueppel-like factor, KLF4

    Background: Transcription factor, can act both as activator and as repressor. Binds the 5'-CACCC-3' core sequence. Binds to the promoter region of its own gene and can activate its own transcription. Regulates the expression of key transcription factors during embryonic development. Plays an important role in maintaining embryonic stem cells, and in preventing their differentiation. Required for establishing the barrier function of the skin and for postnatal maturation and maintenance of the ocular surface. Involved in the differentiation of epithelial cells and may also function in skeletal and kidney development. Contributes to the down-regulation of p53/TP53 transcription.

    ID gène

    9314

    UniProt

    O43474
Vous êtes ici:
Chat with us!