Cnpase anticorps
Aperçu rapide pour Cnpase anticorps (ABIN7797416)
Antigène
Voir toutes Cnpase (CNP) AnticorpsReactivité
Hôte
Clonalité
Conjugué
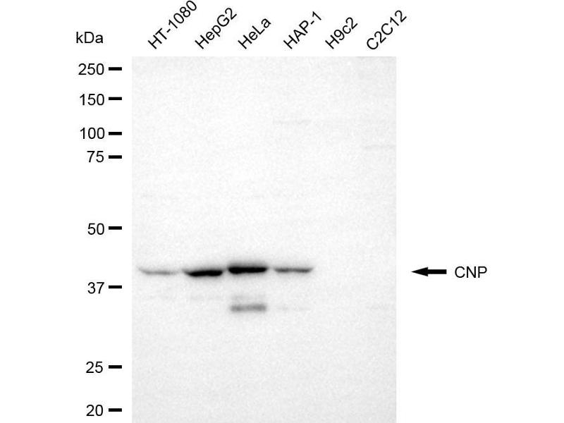
Application
Classe de qualité
Clone
-
-
Fonction
- KD-Validated CNP Mouse mAb
-
Purification
- Affinity Purified
-
Immunogène
- Recombinant protein of human CNPase
-
Isotype
- IgG1 kappa
-
-
-
-
Indications d'application
- Western Blotting (WB): 1:1,000-1:5,000, Flow Cytometry (FCM): 1:200-1:2,000
-
Commentaires
-
We assess the antibodies’ specificity and selectivity using knockdown techniques. Our validation approach is straightforward: if an antibody identifies a signal in wild-type (WT) cells, but this signal is absent or noticeably reduced in gene-silenced (KD) cells, we consider the antibody to be highly specific.
-
Restrictions
- For Research Use only
-
-
-
Format
- Liquid
-
Buffer
- PBS (pH 7.4) containing 50% glycerol and 0.02% sodium azide.
-
Agent conservateur
- Sodium azide
-
Précaution d'utilisation
- This product contains Sodium azide: a POISONOUS AND HAZARDOUS SUBSTANCE which should be handled by trained staff only.
-
Stock
- -20 °C
-
Stockage commentaire
- Store at -20 °C for one year.
-
Date de péremption
- 12 months
-
-
- Cnpase (CNP) (2',3'-Cyclic Nucleotide 3' phosphodiesterase (CNP))
-
Autre désignation
- CNP
-
Poids moléculaire
- 48 kDa
-
ID gène
- 1267
-
UniProt
- P09543
Antigène
-