C7orf50 anticorps
Aperçu rapide pour C7orf50 anticorps (ABIN7798084)
Antigène
Reactivité
Hôte
Clonalité
Conjugué
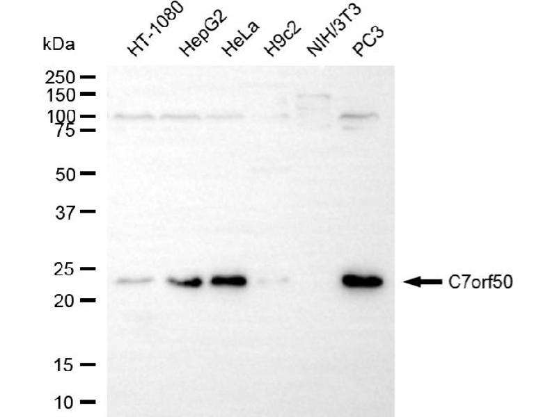
Application
Classe de qualité
Clone
-
-
Fonction
- KD-Validated C7orf50 Mouse mAb
-
Réactivité croisée
- Rat
-
Purification
- Affinity Purified
-
Immunogène
- Recombinant protein of human C7orf50
-
Isotype
- IgG2b
-
-
-
-
Indications d'application
- Western Blotting (WB): 1:400-1:2,000
-
Commentaires
-
We assess the antibodies’ specificity and selectivity using knockdown techniques. Our validation approach is straightforward: if an antibody identifies a signal in wild-type (WT) cells, but this signal is absent or noticeably reduced in gene-silenced (KD) cells, we consider the antibody to be highly specific.
-
Restrictions
- For Research Use only
-
-
-
Format
- Liquid
-
Buffer
- PBS (pH 7.4) containing 50% glycerol and 0.02% sodium azide.
-
Agent conservateur
- Sodium azide
-
Précaution d'utilisation
- This product contains Sodium azide: a POISONOUS AND HAZARDOUS SUBSTANCE which should be handled by trained staff only.
-
Stock
- -20 °C
-
Stockage commentaire
- Store at -20 °C for one year.
-
Date de péremption
- 12 months
-
-
- C7orf50 (Chromosome 7 Open Reading Frame 50 (C7orf50))
-
Autre désignation
- C7orf50
-
Poids moléculaire
- 22 kDa
-
ID gène
- 84310
-
UniProt
- Q9BRJ6
Antigène
-