COX6C anticorps
Aperçu rapide pour COX6C anticorps (ABIN7798249)
Antigène
Voir toutes COX6C AnticorpsReactivité
Hôte
Clonalité
Conjugué
Application
Classe de qualité
Clone
-
-
Fonction
- KD-Validated COX6C Mouse mAb
-
Purification
- Affinity Purified
-
Immunogène
- Recombinant protein of human COX6C
-
Isotype
- IgG1
-
-
-
-
Indications d'application
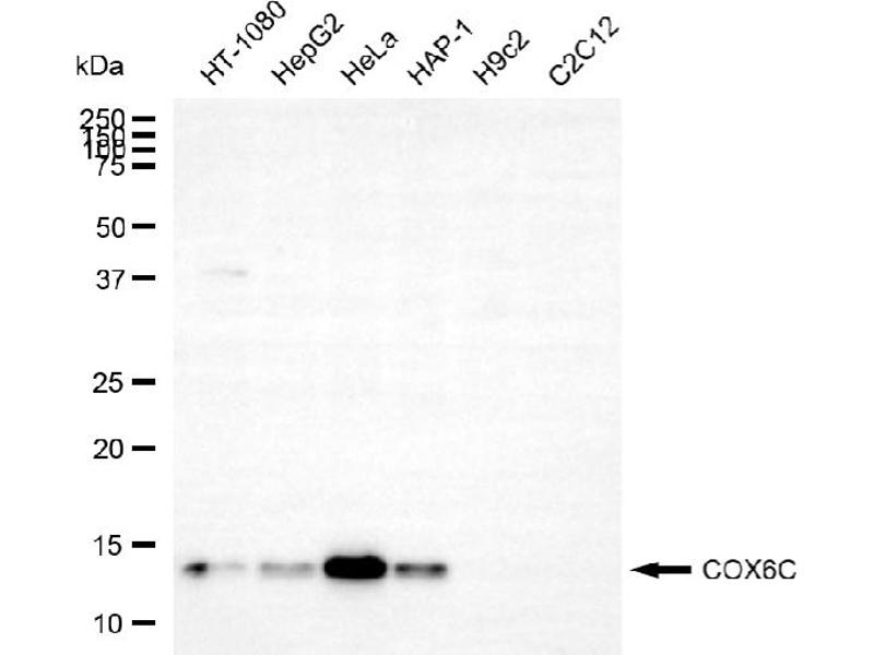
- Western Blotting (WB): 1:400-1:2,000, Flow Cytometry (FCM): 1:200-1:2,000
-
Commentaires
-
We assess the antibodies’ specificity and selectivity using knockdown techniques. Our validation approach is straightforward: if an antibody identifies a signal in wild-type (WT) cells, but this signal is absent or noticeably reduced in gene-silenced (KD) cells, we consider the antibody to be highly specific.
-
Restrictions
- For Research Use only
-
-
-
Format
- Liquid
-
Buffer
- PBS (pH 7.4) containing 50% glycerol and 0.02% sodium azide.
-
Agent conservateur
- Sodium azide
-
Précaution d'utilisation
- This product contains Sodium azide: a POISONOUS AND HAZARDOUS SUBSTANCE which should be handled by trained staff only.
-
Stock
- -20 °C
-
Stockage commentaire
- Store at -20 °C for one year.
-
Date de péremption
- 12 months
-
-
- COX6C (Cytochrome C Oxidase Subunit VIc (COX6C))
-
Autre désignation
- COX6C
-
Poids moléculaire
- 9 kDa
-
ID gène
- 1345
-
UniProt
- P09669
-
Pathways
- Proton Transport
Antigène
-