Tel:
+49 (0)241 95 163 153
Fax:
+49 (0)241 95 163 155
E-Mail:
orders@anticorps-enligne.fr

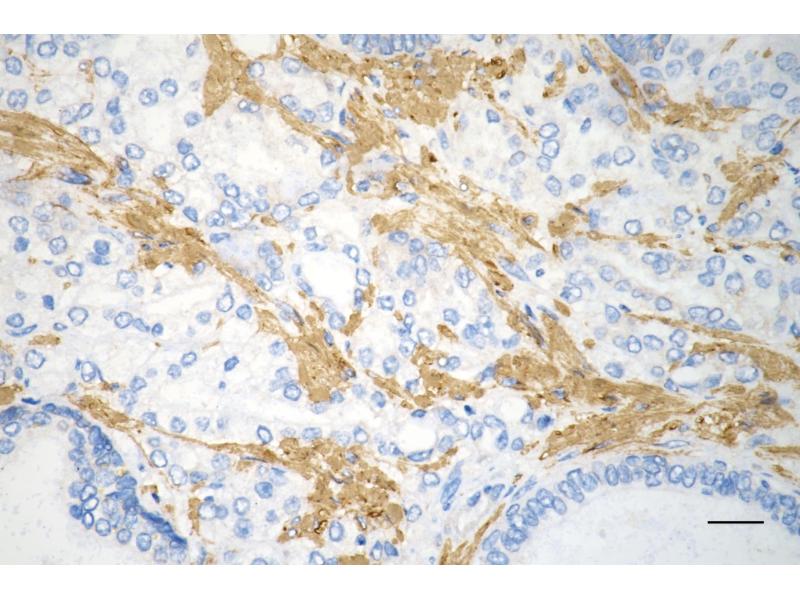
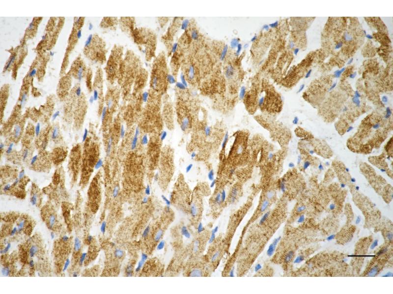
Recombinant Desmin anticorps

L’anticorps anti-Desmin Monoclonal Lapin est utilisé pour la détection de Desmin dans des échantillons de Humain. Il a été validé pour WB, FACS et IF (p).
N° du produit ABIN7798314
598,92 €
Plus frais de livraison 40,00 € et TVA
100 μL
Destination: France
Envoi sous 7 à 10 jours ouvrables

Aperçu rapide pour Recombinant Desmin anticorps (ABIN7798314)

Antigène

Voir toutes Desmin (DES) Anticorps
Desmin (DES)

Type d'anticorp

Recombinant Antibody

Reactivité

  • 197
  • 118
  • 99
  • 56
  • 38
  • 13
  • 13
  • 9
  • 9
  • 5
  • 4
  • 3
  • 2
  • 1
Humain

Hôte

  • 140
  • 58
  • 2
Lapin

Clonalité

  • 115
  • 85
  • 1
Monoclonal

Conjugué

  • 98
  • 10
  • 8
  • 6
  • 4
  • 3
  • 3
  • 3
  • 3
  • 3
  • 3
  • 3
  • 3
  • 3
  • 3
  • 3
  • 3
  • 3
  • 3
  • 3
  • 3
  • 3
  • 2
  • 2
  • 2
  • 2
  • 2
  • 2
  • 2
  • 2
  • 2
  • 2
  • 1
  • 1
  • 1
  • 1
Cet anticorp Desmin est non-conjugé

Application

  • 135
  • 106
  • 53
  • 44
  • 38
  • 23
  • 21
  • 20
  • 13
  • 13
  • 10
  • 10
  • 3
  • 2
  • 2
  • 2
  • 1
  • 1
Western Blotting (WB), Flow Cytometry (FACS), Immunofluorescence (Paraffin-embedded Sections) (IF (p))

Classe de qualité

KD Validated

Clone

23GB3120
  • Expression System

    HEK-293 Cells

    Fonction

    KD-Validated Desmin Recombinant Rabbit mAb

     Réactivité croisée

    Rat

    Purification

    Affinity Purified

    Immunogène

    A synthesized peptide derived from human Desmin

    Isotype

    IgG
  • Indications d'application

    Western Blotting (WB): 1:1,000-1:5,000, Flow Cytometry (FCM): 1:200-1:2,000, Immunohistochemistry-Paraffin (IHC-P): 1:100-1:200

    Commentaires

    We assess the antibodies’ specificity and selectivity using knockdown techniques. Our validation approach is straightforward: if an antibody identifies a signal in wild-type (WT) cells, but this signal is absent or noticeably reduced in gene-silenced (KD) cells, we consider the antibody to be highly specific.

    Restrictions

    For Research Use only
  • Format

    Liquid

    Buffer

    PBS (pH 7.4) containing 50% glycerol and 0.02% sodium azide.

    Agent conservateur

    Sodium azide

    Précaution d'utilisation

    This product contains Sodium azide: a POISONOUS AND HAZARDOUS SUBSTANCE which should be handled by trained staff only.

    Stock

    -20 °C

    Stockage commentaire

    Store at -20 °C for one year.

    Date de péremption

    12 months
  • Antigène

    Desmin (DES)

    Autre désignation

    Desmin

    Poids moléculaire

    54 kDa

    ID gène

    1674

    UniProt

    P17661
Vous êtes ici:
Chat with us!