Tel:
+49 (0)241 95 163 153
Fax:
+49 (0)241 95 163 155
E-Mail:
orders@anticorps-enligne.fr

Recombinant Desmocollin 1 anticorps

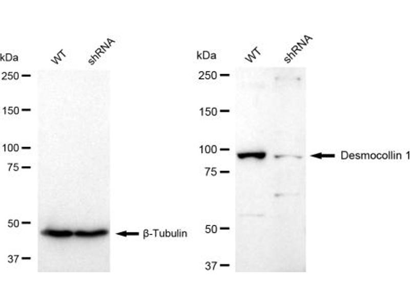
Cet anticorps anti-Desmocollin 1 Monoclonal Lapin (Clone 23GB5210) (ABIN7798315) détecte spécifiquement Desmocollin 1 dans WB et FACS. L’anticorps est réactif avec des échantillons de Humain.
N° du produit ABIN7798315
598,92 €
Plus frais de livraison 40,00 € et TVA
100 μL
Destination: France
Envoi sous 7 à 10 jours ouvrables

Aperçu rapide pour Recombinant Desmocollin 1 anticorps (ABIN7798315)

Antigène

Voir toutes Desmocollin 1 (DSC1) Anticorps
Desmocollin 1 (DSC1)

Type d'anticorp

Recombinant Antibody

Reactivité

  • 38
  • 9
  • 4
Humain

Hôte

  • 37
  • 3
  • 1
Lapin

Clonalité

  • 36
  • 5
Monoclonal

Conjugué

  • 27
  • 3
  • 2
  • 1
  • 1
  • 1
  • 1
  • 1
  • 1
  • 1
  • 1
  • 1
Cet anticorp Desmocollin 1 est non-conjugé

Application

  • 30
  • 16
  • 15
  • 6
  • 5
  • 3
  • 3
  • 2
  • 2
  • 1
  • 1
Western Blotting (WB), Flow Cytometry (FACS)

Classe de qualité

KD Validated

Clone

23GB5210
  • Expression System

    HEK-293 Cells

    Fonction

    KD-Validated Desmocollin 1 Recombinant Rabbit mAb

     Réactivité croisée

    Souris, Rat

    Purification

    Affinity Purified

    Immunogène

    A synthesized peptide derived from human Desmocollin 1

    Isotype

    IgG
  • Indications d'application

    Western Blotting (WB): 1:1,000-1:5,000, Flow Cytometry (FCM): 1:200-1:2,000

    Commentaires

    We assess the antibodies’ specificity and selectivity using knockdown techniques. Our validation approach is straightforward: if an antibody identifies a signal in wild-type (WT) cells, but this signal is absent or noticeably reduced in gene-silenced (KD) cells, we consider the antibody to be highly specific.

    Restrictions

    For Research Use only
  • Format

    Liquid

    Buffer

    PBS (pH 7.4) containing 50% glycerol and 0.02% sodium azide.

    Agent conservateur

    Sodium azide

    Précaution d'utilisation

    This product contains Sodium azide: a POISONOUS AND HAZARDOUS SUBSTANCE which should be handled by trained staff only.

    Stock

    -20 °C

    Stockage commentaire

    Store at -20 °C for one year.

    Date de péremption

    12 months
  • Antigène

    Desmocollin 1 (DSC1)

    Autre désignation

    Desmocollin 1

    Poids moléculaire

    100 kDa

    ID gène

    1823

    UniProt

    Q08554
Vous êtes ici:
Chat with us!