Recombinant HES5 anticorps
Aperçu rapide pour Recombinant HES5 anticorps (ABIN7798833)
Antigène
Voir toutes HES5 AnticorpsType d'anticorp
Reactivité
Hôte
Clonalité
Conjugué
Application
Clone
-
-
Expression System
- HEK-293 Cells
-
Fonction
- HES5 Recombinant Rabbit mAb
-
Réactivité croisée
- Souris, Rat
-
Purification
- Affinity Purified
-
Immunogène
- A synthesized peptide derived from human HES5
-
Isotype
- IgG
-
-
-
-
Indications d'application
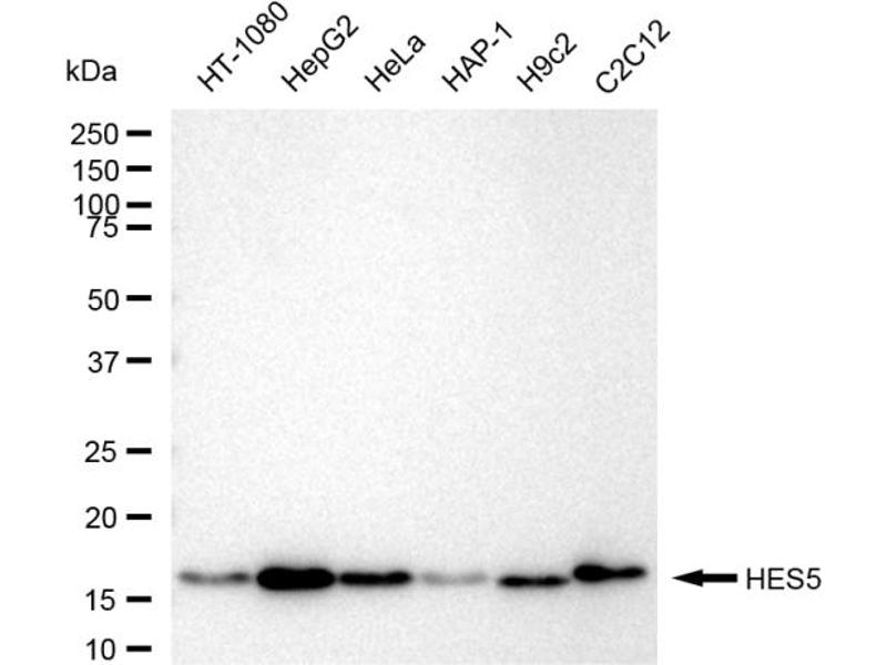
- Western Blotting (WB): 1:1,000-1:5,000
-
Restrictions
- For Research Use only
-
-
-
Format
- Liquid
-
Buffer
- PBS (pH 7.4) containing 50% glycerol and 0.02% sodium azide.
-
Agent conservateur
- Sodium azide
-
Précaution d'utilisation
- This product contains Sodium azide: a POISONOUS AND HAZARDOUS SUBSTANCE which should be handled by trained staff only.
-
Stock
- -20 °C
-
Stockage commentaire
- Store at -20 °C for one year.
-
Date de péremption
- 12 months
-
-
- HES5 (Hairy and Enhancer of Split 5 (HES5))
-
Autre désignation
- HES5
-
Poids moléculaire
- 18 kDa
-
ID gène
- 388585
-
UniProt
- Q5TA89
-
Pathways
- Stem Cell Maintenance, Tube Formation
Antigène
-