Tel:
+49 (0)241 95 163 153
Fax:
+49 (0)241 95 163 155
E-Mail:
orders@anticorps-enligne.fr

Recombinant Haloacid Dehalogenase-Like Hydrolase Domain-Containing 5 (HDHD5) anticorps

L’anticorps anti-Haloacid Dehalogenase-Like Hydrolase Domain-Containing 5 Monoclonal Lapin est utilisé pour la détection de Haloacid Dehalogenase-Like Hydrolase Domain-Containing 5 dans des échantillons de Humain. Il a été validé pour WB, FACS, ICC et IF (p).
N° du produit ABIN7798836
598,92 €
Plus frais de livraison 40,00 € et TVA
100 μL
Destination: France
Envoi sous 7 à 10 jours ouvrables

Aperçu rapide pour Recombinant Haloacid Dehalogenase-Like Hydrolase Domain-Containing 5 (HDHD5) anticorps (ABIN7798836)

Antigène

Haloacid Dehalogenase-Like Hydrolase Domain-Containing 5 (HDHD5)

Type d'anticorp

Recombinant Antibody

Reactivité

  • 2
  • 1
  • 1
Humain

Hôte

  • 2
Lapin

Clonalité

  • 1
  • 1
Monoclonal

Conjugué

  • 2
Inconjugué

Application

  • 2
  • 1
  • 1
  • 1
  • 1
  • 1
Western Blotting (WB), Flow Cytometry (FACS), Immunocytochemistry (ICC), Immunofluorescence (Paraffin-embedded Sections) (IF (p))

Classe de qualité

KD Validated

Clone

23GB6585
  • Expression System

    HEK-293 Cells

    Fonction

    KD-Validated HDHD5 Recombinant Rabbit mAb

    Purification

    Affinity Purified

    Immunogène

    A synthesized peptide derived from human CECR5

    Isotype

    IgG
  • Indications d'application

    Western Blotting (WB): 1:1,000-1:5,000, Flow Cytometry (FCM): 1:200-1:2,000, Immunocytochemistry (ICC): 1:100-1:1,000, Immunohistochemistry-Paraffin (IHC-P): 1:100-1:200

    Commentaires

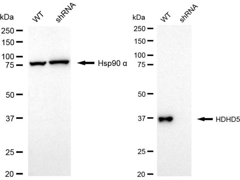
    We assess the antibodies’ specificity and selectivity using knockdown techniques. Our validation approach is straightforward: if an antibody identifies a signal in wild-type (WT) cells, but this signal is absent or noticeably reduced in gene-silenced (KD) cells, we consider the antibody to be highly specific.

    Restrictions

    For Research Use only
  • Format

    Liquid

    Buffer

    PBS (pH 7.4) containing 50% glycerol and 0.02% sodium azide.

    Agent conservateur

    Sodium azide

    Précaution d'utilisation

    This product contains Sodium azide: a POISONOUS AND HAZARDOUS SUBSTANCE which should be handled by trained staff only.

    Stock

    -20 °C

    Stockage commentaire

    Store at -20 °C for one year.

    Date de péremption

    12 months
  • Antigène

    Haloacid Dehalogenase-Like Hydrolase Domain-Containing 5 (HDHD5)

    Autre désignation

    HDHD5

    Poids moléculaire

    46 kDa

    ID gène

    27440

    UniProt

    Q9BXW7
Vous êtes ici:
Chat with us!