Tel:
+49 (0)241 95 163 153
Fax:
+49 (0)241 95 163 155
E-Mail:
orders@anticorps-enligne.fr

Recombinant HDAC10 anticorps

L’anticorps anti-HDAC10 Monoclonal Lapin est utilisé pour la détection de HDAC10 dans des échantillons de Humain. Il a été validé pour WB et FACS.
N° du produit ABIN7798926
598,92 €
Plus frais de livraison 40,00 € et TVA
100 μL
Destination: France
Envoi sous 7 à 10 jours ouvrables

Aperçu rapide pour Recombinant HDAC10 anticorps (ABIN7798926)

Antigène

Voir toutes HDAC10 Anticorps
HDAC10 (Histone Deacetylase 10 (HDAC10))

Type d'anticorp

Recombinant Antibody

Reactivité

  • 77
  • 41
  • 23
  • 4
Humain

Hôte

  • 67
  • 10
Lapin

Clonalité

  • 51
  • 26
Monoclonal

Conjugué

  • 36
  • 6
  • 4
  • 4
  • 2
  • 2
  • 2
  • 2
  • 2
  • 2
  • 1
  • 1
  • 1
  • 1
  • 1
  • 1
  • 1
  • 1
  • 1
  • 1
  • 1
  • 1
  • 1
  • 1
  • 1
Cet anticorp HDAC10 est non-conjugé

Application

  • 46
  • 29
  • 21
  • 18
  • 13
  • 13
  • 13
  • 11
  • 6
  • 4
  • 3
  • 2
  • 1
  • 1
Western Blotting (WB), Flow Cytometry (FACS)

Classe de qualité

KD Validated

Clone

24GB6050
  • Expression System

    HEK-293 Cells

    Fonction

    KD-Validated Histone deacetylase 10 Recombinant Rabbit mAb

     Réactivité croisée

    Souris, Rat

    Purification

    Affinity Purified

    Immunogène

    A synthesized peptide derived from human HDAC10

    Isotype

    IgG
  • Indications d'application

    Western Blotting (WB): 1:1,000-1:5,000, Flow Cytometry (FCM): 1:200-1:2,000

    Commentaires

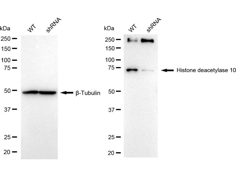
    We assess the antibodies’ specificity and selectivity using knockdown techniques. Our validation approach is straightforward: if an antibody identifies a signal in wild-type (WT) cells, but this signal is absent or noticeably reduced in gene-silenced (KD) cells, we consider the antibody to be highly specific.

    Restrictions

    For Research Use only
  • Format

    Liquid

    Buffer

    PBS (pH 7.4) containing 50% glycerol and 0.02% sodium azide.

    Agent conservateur

    Sodium azide

    Précaution d'utilisation

    This product contains Sodium azide: a POISONOUS AND HAZARDOUS SUBSTANCE which should be handled by trained staff only.

    Stock

    -20 °C

    Stockage commentaire

    Store at -20 °C for one year.

    Date de péremption

    12 months
  • Antigène

    HDAC10 (Histone Deacetylase 10 (HDAC10))

    Autre désignation

    Histone deacetylase 10

    Poids moléculaire

    71 kDa

    ID gène

    83933

    UniProt

    Q969S8
Vous êtes ici:
Chat with us!