ICAM4 anticorps
Aperçu rapide pour ICAM4 anticorps (ABIN7799080)
Antigène
Voir toutes ICAM4 AnticorpsReactivité
Hôte
Clonalité
Conjugué
Application
Clone
-
-
Fonction
- ICAM4 Mouse mAb
-
Réactivité croisée
- Souris, Rat
-
Purification
- Affinity Purified
-
Immunogène
- Recombinant protein of human ICAM4
-
Isotype
- IgG2a
-
-
-
-
Indications d'application
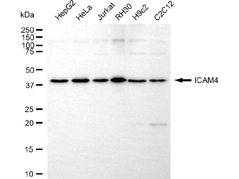
- Western Blotting (WB): 1:400-1:2,000
-
Restrictions
- For Research Use only
-
-
-
Format
- Liquid
-
Buffer
- PBS (pH 7.4) containing 50% glycerol and 0.02% sodium azide.
-
Agent conservateur
- Sodium azide
-
Précaution d'utilisation
- This product contains Sodium azide: a POISONOUS AND HAZARDOUS SUBSTANCE which should be handled by trained staff only.
-
Stock
- -20 °C
-
Stockage commentaire
- Store at -20 °C for one year.
-
Date de péremption
- 12 months
-
-
- ICAM4 (Intercellular Adhesion Molecule 4 (ICAM4))
-
Autre désignation
- ICAM4
-
Poids moléculaire
- 29 kDa
-
ID gène
- 3386
-
UniProt
- Q14773
Antigène
-