Tel:
+49 (0)241 95 163 153
Fax:
+49 (0)241 95 163 155
E-Mail:
orders@anticorps-enligne.fr

Recombinant KIF11 anticorps

Cet anticorps anti-KIF11 Monoclonal Lapin (Clone 23GB2025) (ABIN7799200) détecte spécifiquement KIF11 dans WB et FACS. L’anticorps est réactif avec des échantillons de Humain.
N° du produit ABIN7799200
598,92 €
Plus frais de livraison 40,00 € et TVA
100 μL
Destination: France
Envoi sous 7 à 10 jours ouvrables

Aperçu rapide pour Recombinant KIF11 anticorps (ABIN7799200)

Antigène

Voir toutes KIF11 Anticorps
KIF11 (Kinesin Family Member 11 (KIF11))

Type d'anticorp

Recombinant Antibody

Reactivité

  • 94
  • 11
  • 6
  • 2
  • 1
  • 1
  • 1
  • 1
  • 1
  • 1
  • 1
Humain

Hôte

  • 80
  • 14
Lapin

Clonalité

  • 58
  • 36
Monoclonal

Conjugué

  • 49
  • 5
  • 4
  • 3
  • 3
  • 3
  • 3
  • 3
  • 3
  • 3
  • 1
  • 1
  • 1
  • 1
  • 1
  • 1
  • 1
  • 1
  • 1
  • 1
  • 1
  • 1
  • 1
  • 1
  • 1
Cet anticorp KIF11 est non-conjugé

Application

  • 75
  • 32
  • 30
  • 26
  • 18
  • 14
  • 13
  • 13
  • 13
  • 10
  • 3
  • 2
  • 1
  • 1
Western Blotting (WB), Flow Cytometry (FACS)

Classe de qualité

KD Validated

Clone

23GB2025
  • Expression System

    HEK-293 Cells

    Fonction

    KD-Validated Kinesin family member 11 Recombinant Rabbit mAb

    Purification

    Affinity Purified

    Immunogène

    A synthesized peptide derived from human Eg5

    Isotype

    IgG
  • Indications d'application

    Western Blotting (WB): 1:1,000-1:5,000, Flow Cytometry (FCM): 1:200-1:2,000

    Commentaires

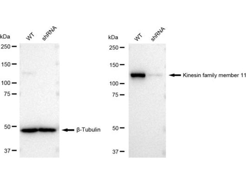
    We assess the antibodies’ specificity and selectivity using knockdown techniques. Our validation approach is straightforward: if an antibody identifies a signal in wild-type (WT) cells, but this signal is absent or noticeably reduced in gene-silenced (KD) cells, we consider the antibody to be highly specific.

    Restrictions

    For Research Use only
  • Format

    Liquid

    Buffer

    PBS (pH 7.4) containing 50% glycerol and 0.02% sodium azide.

    Agent conservateur

    Sodium azide

    Précaution d'utilisation

    This product contains Sodium azide: a POISONOUS AND HAZARDOUS SUBSTANCE which should be handled by trained staff only.

    Stock

    -20 °C

    Stockage commentaire

    Store at -20 °C for one year.

    Date de péremption

    12 months
  • Antigène

    KIF11 (Kinesin Family Member 11 (KIF11))

    Autre désignation

    Kinesin family member 11

    Poids moléculaire

    119 kDa

    ID gène

    3832

    UniProt

    P52732
Vous êtes ici:
Chat with us!