Tel:
+49 (0)241 95 163 153
Fax:
+49 (0)241 95 163 155
E-Mail:
orders@anticorps-enligne.fr

Recombinant Methionine--tRNA Ligase, Cytoplasmic anticorps

L’anticorps anti-Methionine--tRNA Ligase, Cytoplasmic Monoclonal Lapin est utilisé pour la détection de Methionine--tRNA Ligase, Cytoplasmic dans des échantillons de Humain. Il a été validé pour WB et FACS.
N° du produit ABIN7799382
598,92 €
Plus frais de livraison 40,00 € et TVA
100 μL
Destination: France
Envoi sous 7 à 10 jours ouvrables

Aperçu rapide pour Recombinant Methionine--tRNA Ligase, Cytoplasmic anticorps (ABIN7799382)

Antigène

Methionine--tRNA Ligase, Cytoplasmic

Type d'anticorp

Recombinant Antibody

Reactivité

  • 3
  • 1
  • 1
Humain

Hôte

  • 3
Lapin

Clonalité

  • 3
Monoclonal

Conjugué

  • 3
Inconjugué

Application

  • 3
  • 3
  • 2
  • 1
  • 1
  • 1
  • 1
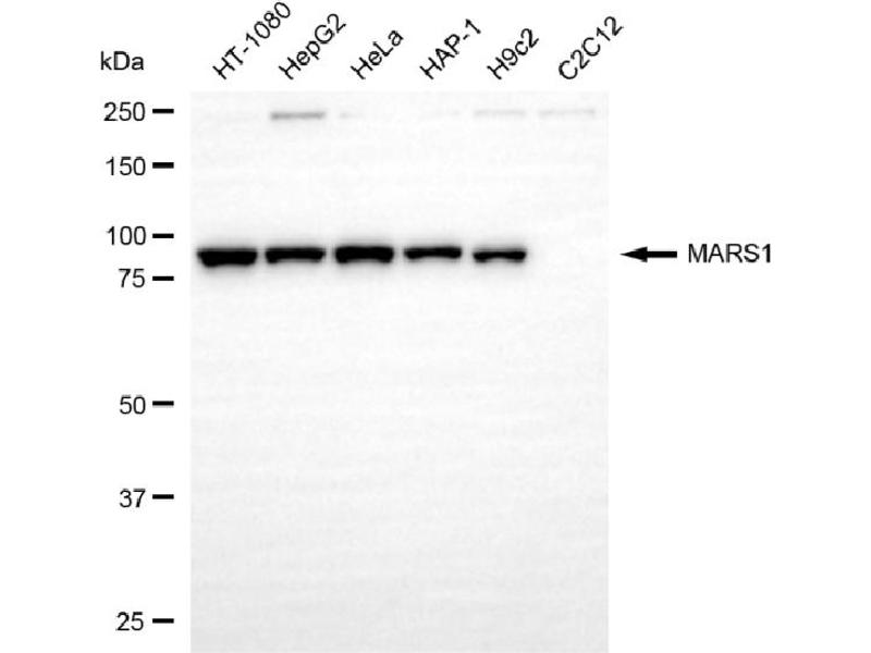
Western Blotting (WB), Flow Cytometry (FACS)

Classe de qualité

KD Validated

Clone

25GB185
  • Expression System

    HEK-293 Cells

    Fonction

    KD-Validated MARS1 Recombinant Rabbit mAb

     Réactivité croisée

    Rat

    Purification

    Affinity Purified

    Immunogène

    A synthesized peptide derived from human MARS

    Isotype

    IgG
  • Indications d'application

    Western Blotting (WB): 1:1,000-1:5,000, Flow Cytometry (FCM): 1:200-1:2,000

    Commentaires

    We assess the antibodies’ specificity and selectivity using knockdown techniques. Our validation approach is straightforward: if an antibody identifies a signal in wild-type (WT) cells, but this signal is absent or noticeably reduced in gene-silenced (KD) cells, we consider the antibody to be highly specific.

    Restrictions

    For Research Use only
  • Format

    Liquid

    Buffer

    PBS (pH 7.4) containing 50% glycerol and 0.02% sodium azide.

    Agent conservateur

    Sodium azide

    Précaution d'utilisation

    This product contains Sodium azide: a POISONOUS AND HAZARDOUS SUBSTANCE which should be handled by trained staff only.

    Stock

    -20 °C

    Stockage commentaire

    Store at -20 °C for one year.

    Date de péremption

    12 months
  • Antigène

    Methionine--tRNA Ligase, Cytoplasmic

    Autre désignation

    MARS1

    Poids moléculaire

    101 kDa

    ID gène

    4141

    UniProt

    P56192
Vous êtes ici:
Chat with us!