Recombinant Non-Syndromic Hearing Impairment Protein 5 (GSDME) anticorps
Aperçu rapide pour Recombinant Non-Syndromic Hearing Impairment Protein 5 (GSDME) anticorps (ABIN7799622)
Antigène
Type d'anticorp
Reactivité
Hôte
Clonalité
Conjugué
Application
Classe de qualité
Clone
-
-
Expression System
- HEK-293 Cells
-
Fonction
- KD-Validated GSDME Recombinant Rabbit mAb
-
Réactivité croisée
- Souris
-
Purification
- Affinity Purified
-
Immunogène
- Recombinant protein of human GSDME
-
Isotype
- IgG
-
-
-
-
Indications d'application
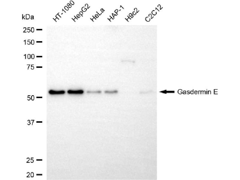
- Western Blotting (WB): 1:1,000-1:5,000, Flow Cytometry (FCM): 1:200-1:2,000
-
Commentaires
-
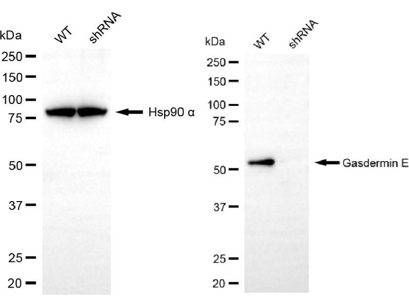
We assess the antibodies’ specificity and selectivity using knockdown techniques. Our validation approach is straightforward: if an antibody identifies a signal in wild-type (WT) cells, but this signal is absent or noticeably reduced in gene-silenced (KD) cells, we consider the antibody to be highly specific.
-
Restrictions
- For Research Use only
-
-
-
Format
- Liquid
-
Buffer
- PBS (pH 7.4) containing 50% glycerol and 0.02% sodium azide.
-
Agent conservateur
- Sodium azide
-
Précaution d'utilisation
- This product contains Sodium azide: a POISONOUS AND HAZARDOUS SUBSTANCE which should be handled by trained staff only.
-
Stock
- -20 °C
-
Stockage commentaire
- Store at -20 °C for one year.
-
Date de péremption
- 12 months
-
-
- Non-Syndromic Hearing Impairment Protein 5 (GSDME)
-
Autre désignation
- GSDME
-
Poids moléculaire
- 55 kDa
-
ID gène
- 1687
-
UniProt
- O60443
Antigène
-