ARHGAP1 anticorps
Aperçu rapide pour ARHGAP1 anticorps (ABIN7800198)
Antigène
Voir toutes ARHGAP1 AnticorpsReactivité
Hôte
Clonalité
Conjugué
Application
-
-
Fonction
- ARHGAP1 Mouse Oligoclonal Antibody
-
Réactivité croisée
- Souris, Rat
-
Purification
- Affinity Purified
-
Immunogène
- Recombinant protein of human ARHGAP1
-
Isotype
- IgG
-
-
-
-
Indications d'application
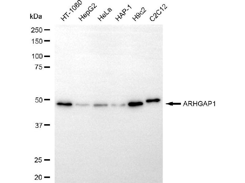
- Western Blotting (WB): 1:400-1:2,000, Flow Cytometry (FCM): 1:200-1:2,000
-
Restrictions
- For Research Use only
-
-
-
Format
- Liquid
-
Buffer
- PBS (pH 7.4) containing 50% glycerol and 0.02% sodium azide.
-
Agent conservateur
- Sodium azide
-
Précaution d'utilisation
- This product contains Sodium azide: a POISONOUS AND HAZARDOUS SUBSTANCE which should be handled by trained staff only.
-
Stock
- -20 °C
-
Stockage commentaire
- Store at -20 °C for one year.
-
Date de péremption
- 12 months
-
-
- ARHGAP1 (rho GTPase Activating Protein 1 (ARHGAP1))
-
Autre désignation
- ARHGAP1
-
Poids moléculaire
- 50 kDa
-
ID gène
- 392
-
UniProt
- Q07960
Antigène
-