RNH1 anticorps
Aperçu rapide pour RNH1 anticorps (ABIN7800210)
Antigène
Voir toutes RNH1 AnticorpsReactivité
Hôte
Clonalité
Conjugué
Application
Classe de qualité
Clone
-
-
Fonction
- KD-Validated RNH1 Mouse mAb
-
Purification
- Affinity Purified
-
Immunogène
- Recombinant protein of human RNH1
-
Isotype
- IgG1
-
-
-
-
Indications d'application
- Western Blotting (WB): 1:500-1:2,500
-
Commentaires
-
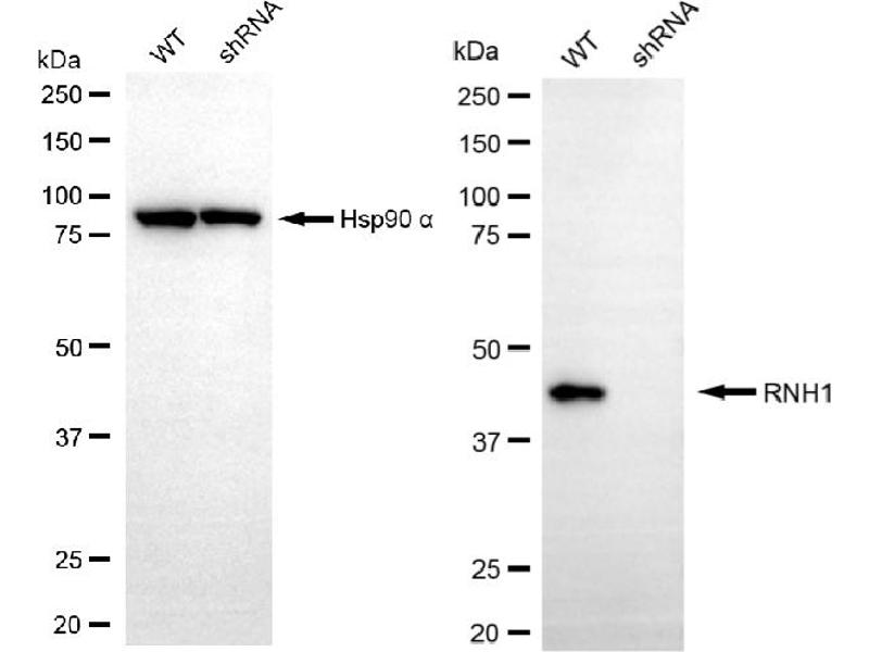
We assess the antibodies’ specificity and selectivity using knockdown techniques. Our validation approach is straightforward: if an antibody identifies a signal in wild-type (WT) cells, but this signal is absent or noticeably reduced in gene-silenced (KD) cells, we consider the antibody to be highly specific.
-
Restrictions
- For Research Use only
-
-
-
Format
- Liquid
-
Buffer
- PBS (pH 7.4) containing 50% glycerol and 0.02% sodium azide.
-
Agent conservateur
- Sodium azide
-
Précaution d'utilisation
- This product contains Sodium azide: a POISONOUS AND HAZARDOUS SUBSTANCE which should be handled by trained staff only.
-
Stock
- -20 °C
-
Stockage commentaire
- Store at -20 °C for one year.
-
Date de péremption
- 12 months
-
-
- RNH1 (Ribonuclease/angiogenin Inhibitor 1 (RNH1))
-
Autre désignation
- RNH1
-
Poids moléculaire
- 50 kDa
-
ID gène
- 6050
-
UniProt
- P13489
Antigène
-