Tel:
+49 (0)241 95 163 153
Fax:
+49 (0)241 95 163 155
E-Mail:
orders@anticorps-enligne.fr

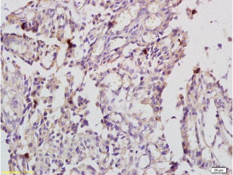
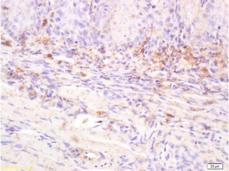
IL20RA anticorps (AA 135-171)

L’anticorps anti-IL20RA Polyclonal Lapin est utilisé pour la détection de IL20RA dans des échantillons de Humain, Souris et Rat. Il a été validé pour WB, IHC (p) et IF (p).
N° du produit ABIN748103
357,70 €
Plus frais de livraison 40,00 € et TVA
100 μL
Destination: France
Envoi sous 8 à 12 jours ouvrables

Aperçu rapide pour IL20RA anticorps (AA 135-171) (ABIN748103)

Antigène

Voir toutes IL20RA Anticorps
IL20RA (Interleukin 20 Receptor alpha (IL20RA))

Reactivité

Humain, Souris, Rat

Hôte

  • 21
  • 6
  • 2
Lapin

Clonalité

  • 21
  • 8
Polyclonal

Conjugué

  • 22
  • 1
  • 1
  • 1
  • 1
  • 1
  • 1
  • 1
Cet anticorp IL20RA est non-conjugé

Application

  • 19
  • 14
  • 7
  • 6
  • 6
  • 2
  • 2
  • 1
Western Blotting (WB), Immunohistochemistry (Paraffin-embedded Sections) (IHC (p)), Immunofluorescence (Paraffin-embedded Sections) (IF (p))
  • Épitope

    • 4
    • 3
    • 1
    • 1
    • 1
    • 1
    • 1
    • 1
    • 1
    • 1
    • 1
    • 1
    AA 135-171

     Réactivité croisée

    Humain, Souris, Rat

    Purification

    Purified by Protein A.

    Immunogène

    KLH conjugated synthetic peptide derived from human IL-20RA

    Isotype

    IgG
  • Indications d'application

    WB 1:100-1000
    IHC-P 1:100-500
    IF(IHC-P) 1:50-200

    Restrictions

    For Research Use only
  • Format

    Liquid

    Concentration

    1 μg/μL

    Buffer

    Aqueous buffered solution containing 1 % BSA, 50 % glycerol and 0.09 % sodium azide.

    Agent conservateur

    Sodium azide

    Précaution d'utilisation

    This product contains Sodium azide: a POISONOUS AND HAZARDOUS SUBSTANCE, which should be handled by trained staff only.

    Stock

    -20 °C

    Stockage commentaire

    Store at -20°C for 12 months.

    Date de péremption

    12 months
  • Antigène

    IL20RA (Interleukin 20 Receptor alpha (IL20RA))

    Autre désignation

    Il-20r alpha

    Sujet

    Synonyms: CRF2-8, IL-2R1, IL-2RA, IL-2R-alpha, Interleukin-2 receptor subunit alpha, IL-2 receptor subunit alpha, Cytokine receptor class-II member 8, Cytokine receptor family 2 member 8, ZcytoR7, IL2RA, UNQ681/PRO1315

    Background: The IL2RA/IL2RB dimer is a receptor for IL19, IL2 and IL24. The IL2RA/IL1RB dimer is a receptor for IL26.

    ID gène

    53832

    UniProt

    Q9UHF4
Vous êtes ici:
Chat with us!