×
Pour une meilleure utilisation, nous vous conseillons d’activer Javascript dans votre navigateur.
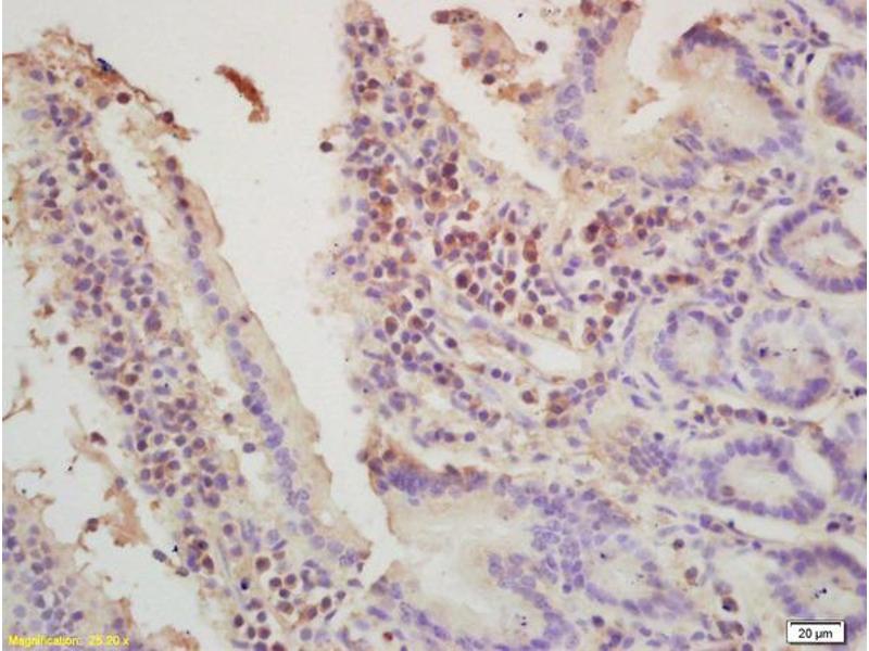
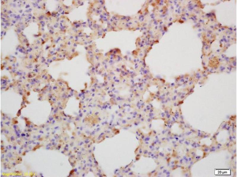
IL28A anticorps
L’anticorps anti-IL28A Polyclonal Lapin est utilisé pour la détection de IL28A dans des échantillons de Humain, Souris, Boeuf (Vache), Chien et Porc. Il a été validé pour WB et ELISA.
N° du produit ABIN748223
357,70 €
Plus frais de livraison 40,00 € et TVA
Envoi sous 12 à 17 jours ouvrables
Aperçu rapide pour IL28A anticorps (ABIN748223)
Antigène
Voir toutes IL28A Anticorps
IL28A
(Interleukin 28A (Interferon, lambda 2) (IL28A))
Reactivité
Toutes les réactivités sur IL28A Anticorps
Humain, Souris, Boeuf (Vache), Chien, Porc
Hôte
Toutes les hôtes sur IL28A Anticorps
Lapin
Clonalité
Toutes les clonalités sur IL28A Anticorps
Polyclonal
Conjugué
Tous les conjugués à travers IL28A Anticorps
Cet anticorp IL28A est non-conjugé
Application
Tous les applications à travers IL28A Anticorps.
Western Blotting (WB), ELISA
Détail du produit anti-IL28A anticorps
(cache)
Réactivité croisée
Humain, Souris
Homologie
Dog,Cow,Pig,Horse
Purification
Purified by Protein A.
Immunogène
KLH conjugated synthetic peptide derived from human IL-28A
Isotype
IgG
Alternatives
(show)
Information d'application
(cache)
Indications d'application
WB(1:100-500) Optimal working dilution should be determined by the investigator.
Restrictions
For Research Use only
Stockage
(cache)
Format
Liquid
Concentration
1 mg/mL
Buffer
0.01M TBS( pH 7.4) with 1 % BSA, 0.02 % Proclin300 and 50 % Glycerol.
Agent conservateur
Sodium azide
Précaution d'utilisation
This product contains sodium azide: a POISONOUS AND HAZARDOUS SUBSTANCE which should be handled by trained staff only.
Stock
4 °C,-20 °C
Stockage commentaire
Shipped at 4°C. Store at -20°C for one year. Avoid repeated freeze/thaw cycles.
Date de péremption
12 months
Détails sur IL28A
(cache)
Antigène
IL28A
(Interleukin 28A (Interferon, lambda 2) (IL28A))
Autre désignation
IL-28A/IFNL2
Sujet
Optional[synonyms]: Interleukin 28/Interferon lambda-2, Interleukin 28A, IL28A, IFNL2, IL-28A, EG330496, Ifnl2, IFNL2_HUMAN.
Poids moléculaire
22kDa
ID gène
282616
UniProt
Q8IZJ0
Vus récemment
(cache)
Chat with us , powered by LiveChat