CNTN3 anticorps (AA 301-400)
Aperçu rapide pour CNTN3 anticorps (AA 301-400) (ABIN761441)
Antigène
Voir toutes CNTN3 AnticorpsReactivité
Hôte
Clonalité
Conjugué
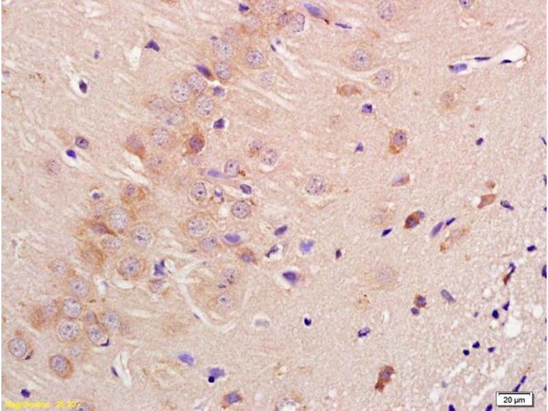
Application
-
-
Épitope
- AA 301-400
-
Réactivité croisée
- Rat
-
Homologie
- Human,Mouse,Dog,Cow,Horse,Chicken,Rabbit
-
Purification
- Purified by Protein A.
-
Immunogène
- KLH conjugated synthetic peptide derived from human Contactin 3
-
Isotype
- IgG
-
-
-
-
Indications d'application
-
ELISA 1:500-1000
IHC-P 1:200-400
IHC-F 1:100-500
IF(IHC-P) 1:50-200
IF(IHC-F) 1:50-200
IF(ICC) 1:50-200 -
Restrictions
- For Research Use only
-
-
-
Format
- Liquid
-
Concentration
- 1 μg/μL
-
Buffer
- 0.01M TBS( pH 7.4) with 1 % BSA, 0.02 % Proclin300 and 50 % Glycerol.
-
Agent conservateur
- ProClin
-
Précaution d'utilisation
- This product contains ProClin: a POISONOUS AND HAZARDOUS SUBSTANCE, which should be handled by trained staff only.
-
Stock
- 4 °C,-20 °C
-
Stockage commentaire
- Shipped at 4°C. Store at -20°C for one year. Avoid repeated freeze/thaw cycles.
-
Date de péremption
- 12 months
-
-
- CNTN3 (Contactin 3 (Plasmacytoma Associated) (CNTN3))
-
Autre désignation
- Contactin 3
-
Sujet
-
Synonyms: PCS, PANG, BIG-1, Contactin-3, Brain-derived immunoglobulin superfamily protein 1, Plasmacytoma-associated neuronal glycoprotein, CNTN3, KIAA1496
Background: Contactins mediate cell surface interactions during nervous system development. Has some neurite outgrowth-promoting activity (By similarity).
-
ID gène
- 5067
-
UniProt
- Q9P232
Antigène
-