PTRF anticorps (AA 177-226)
Aperçu rapide pour PTRF anticorps (AA 177-226) (ABIN768768)
Antigène
Voir toutes PTRF AnticorpsReactivité
Hôte
Clonalité
Conjugué
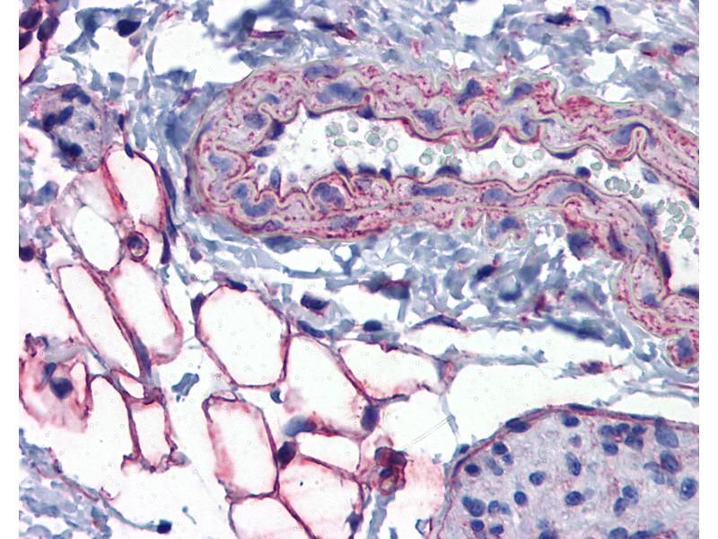
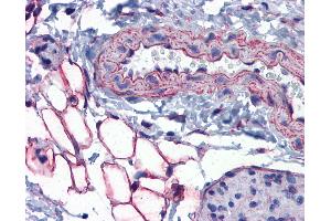
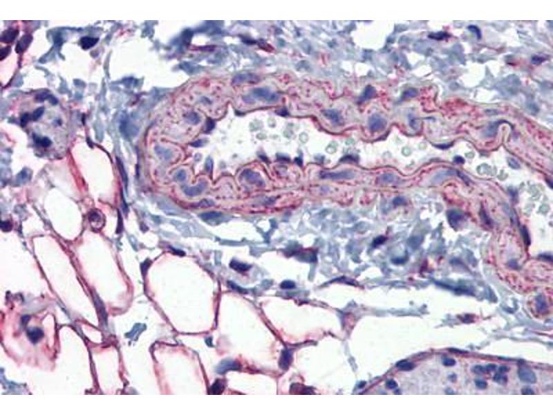
Application
-
-
Épitope
- AA 177-226
-
Specificité
- Mouse PTRF
-
Homologie
- Percent identity by BLAST analysis: Mouse (100%) Rat (92%) Human, Bovine, Rabbit, Pig (84%).
-
Purification
- Protein A purified
-
Immunogène
-
Synthetic peptide located between aa177-226 of mouse PTRF (O54724, NP_033012). Percent identity by BLAST analysis: Mouse (100%), Rat, Hamster, Elephant, Panda, Dog, Horse (92%), Opossum (85%), Human, Gorilla, Gibbon, Galago, Marmoset, Bovine, Rabbit, Pig (84%).
Type of Immunogen: Synthetic peptide -
Isotype
- IgG
-
-
-
-
Indications d'application
- Approved: IHC, IHC-P (5 μg/mL), WB (0.62 μg/mL)
-
Commentaires
-
Target Species of Antibody: Mouse
-
Restrictions
- For Research Use only
-
-
-
Format
- Lyophilized
-
Reconstitution
- After adding water, will consist of PBS buffer with 2 % sucrose
-
Concentration
- Lot specific
-
Buffer
- Lyophilized from PBS with 2 % sucrose
-
Conseil sur la manipulation
- Avoid repeat freeze-thaw cycles.
-
Stock
- 4 °C,-20 °C
-
Stockage commentaire
-
Long term: -20°C, the use of 50% glycerol is recommended if storing aliquots in -20°C for long term use (up to 1 year)
Short term (less than 1 week): 4°C. Avoid freeze-thaw cycles.
-
-
-