Tel:
+49 (0)241 95 163 153
Fax:
+49 (0)241 95 163 155
E-Mail:
orders@anticorps-enligne.fr

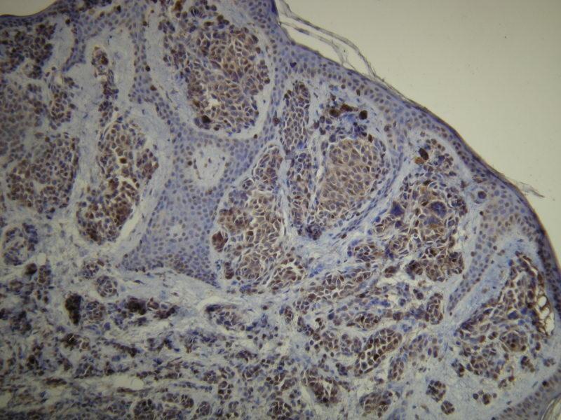
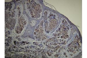
S-100 anticorps (N-Term)

L’anticorps anti-S-100 Monoclonal Lapin est utilisé pour la détection de S-100 dans des échantillons de Humain. Il a été validé pour IHC (p).
N° du produit ABIN870446
262,43 €
Plus frais de livraison 40,00 € et TVA
Destination: France
Envoi sous 3 à 5 jours ouvrables

Aperçu rapide pour S-100 anticorps (N-Term) (ABIN870446)

Antigène

S-100

Reactivité

  • 3
  • 2
  • 2
Humain

Hôte

  • 3
Lapin

Clonalité

  • 3
Monoclonal

Conjugué

  • 1
  • 1
  • 1
Cet anticorp S-100 est non-conjugé

Application

  • 2
  • 1
Immunohistochemistry (Paraffin-embedded Sections) (IHC (p))

Clone

D28-E
  • Épitope

    AA 55-74, N-Term

    Fonction

    Anti-S-100

    Specificité

    S-100

    Immunogène

    Peptide derived from N-terminal sequence of human S100-A1 protein. Antibody recognizes the epitope between Val55 - Glu74.

    Isotype

    IgG
  • Indications d'application

    1:100 - 200

    Restrictions

    For Research Use only
  • Format

    Liquid

    Buffer

    20 mM Tris-HCI, pH 8.0, Stabilizer: 20 mg/mL BSA, Preservative: 0.05 % sodium azide

    Agent conservateur

    Sodium azide

    Précaution d'utilisation

    This product contains Sodium azide: a POISONOUS AND HAZARDOUS SUBSTANCE which should be handled by trained staff only.

    Stock

    4 °C

    Stockage commentaire

    +2 °C to +8 °C
  • Antigène

    S-100

    Sujet

    S-100 is a low molecular weight protein expressed in glial cells, chondrocytes, macrophages, Langerhans cells, dendritic cells, adipocytes, keratinocytes and breast epithelial cells. S-100 is involved in regulation of protein phosphorylation, calcium homeostasis, cell differentiation, and inflammatory response. In clinical diagnostics, S-100 protein expression is used as a marker of peripheral nerve tumors, astrocytomas, melanomas and clear cell sarcomas.

    UniProt

    P23297
Vous êtes ici:
Chat with us!