RCL anticorps (AA 101-174)
Aperçu rapide pour RCL anticorps (AA 101-174) (ABIN872485)
Antigène
Voir toutes RCL (C6orf108) AnticorpsReactivité
Hôte
Clonalité
Conjugué
Application
-
-
Épitope
- AA 101-174
-
Réactivité croisée
- Humain, Rat
-
Homologie
- Mouse,Dog,Pig,Horse,Rabbit
-
Purification
- Purified by Protein A.
-
Immunogène
- KLH conjugated synthetic peptide derived from human RCL/c Myc responsive
-
Isotype
- IgG
-
-
-
-
Indications d'application
-
WB 1:300-5000
ELISA 1:500-1000
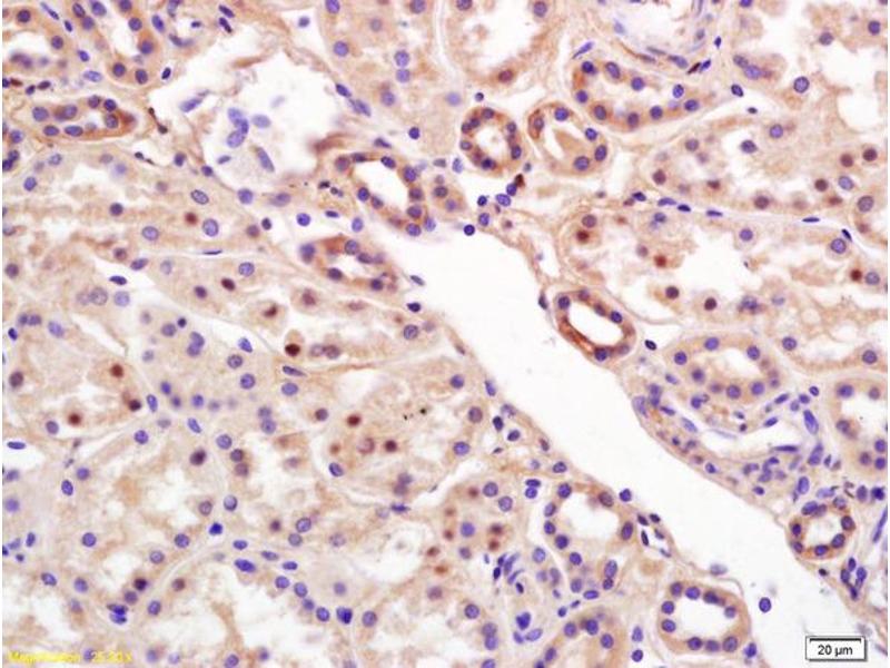
IHC-P 1:200-400
IHC-F 1:100-500
IF(IHC-P) 1:50-200
IF(IHC-F) 1:50-200
IF(ICC) 1:50-200 -
Restrictions
- For Research Use only
-
-
-
Format
- Liquid
-
Concentration
- 1 μg/μL
-
Buffer
- 0.01M TBS( pH 7.4) with 1 % BSA, 0.02 % Proclin300 and 50 % Glycerol.
-
Agent conservateur
- ProClin
-
Précaution d'utilisation
- This product contains ProClin: a POISONOUS AND HAZARDOUS SUBSTANCE, which should be handled by trained staff only.
-
Stock
- 4 °C,-20 °C
-
Stockage commentaire
- Shipped at 4°C. Store at -20°C for one year. Avoid repeated freeze/thaw cycles.
-
Date de péremption
- 12 months
-
-
- RCL (C6orf108) (Chromosome 6 Open Reading Frame 108 (C6orf108))
-
Autre désignation
- RCL
-
Sujet
-
Synonyms: RCL, C6orf108, dJ330M21.3, 2'-deoxynucleoside 5'-phosphate N-hydrolase 1, c-Myc-responsive protein RCL, DNPH1
Background: Catalyzes the cleavage of the N-glycosidic bond of deoxyribonucleoside 5'-monophosphates to yield deoxyribose 5-phosphate and a purine or pyrimidine base. Deoxyribonucleoside 5'-monophosphates containing purine bases are preferred to those containing pyrimidine bases.
-
ID gène
- 10591
-
UniProt
- O43598
Antigène
-