Tel:
+49 (0)241 95 163 153
Fax:
+49 (0)241 95 163 155
E-Mail:
orders@anticorps-enligne.fr

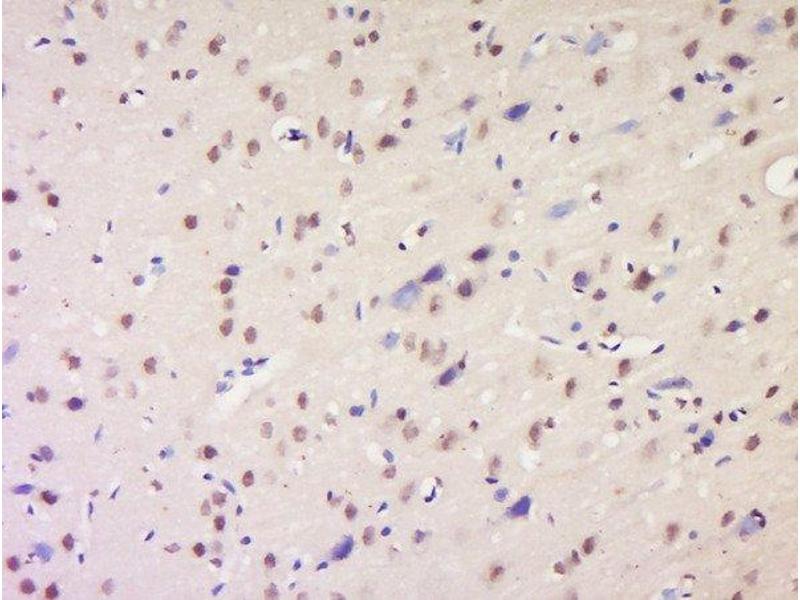
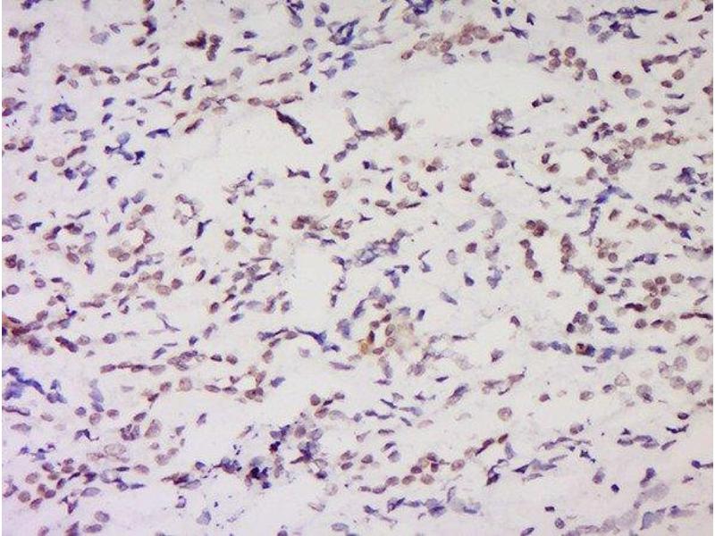
NSD1 anticorps (AA 2401-2600)

Cet anticorps Lapin Polyclonal détecte spécifiquement NSD1 dans ELISA, IF (cc), IF (p), IHC (fro) et IHC (p). Il présente une réactivité avec des échantillons de Humain, Souris et Rat.
N° du produit ABIN872593
357,70 €
Plus frais de livraison 40,00 € et TVA
100 μL
Destination: France
Envoi sous 8 à 12 jours ouvrables

Aperçu rapide pour NSD1 anticorps (AA 2401-2600) (ABIN872593)

Antigène

Voir toutes NSD1 Anticorps
NSD1 (Nuclear Receptor Binding SET Domain Protein 1 (NSD1))

Reactivité

Humain, Souris, Rat

Hôte

  • 22
  • 19
Lapin

Clonalité

  • 23
  • 18
Polyclonal

Conjugué

  • 14
  • 2
  • 1
  • 1
  • 1
  • 1
  • 1
  • 1
  • 1
  • 1
  • 1
  • 1
  • 1
  • 1
  • 1
  • 1
  • 1
  • 1
  • 1
  • 1
  • 1
  • 1
  • 1
  • 1
  • 1
  • 1
  • 1
Cet anticorp NSD1 est non-conjugé

Application

  • 16
  • 12
  • 12
  • 10
  • 7
  • 3
  • 3
  • 2
  • 2
  • 1
  • 1
ELISA, Immunofluorescence (Cultured Cells) (IF (cc)), Immunofluorescence (Paraffin-embedded Sections) (IF (p)), Immunohistochemistry (Frozen Sections) (IHC (fro)), Immunohistochemistry (Paraffin-embedded Sections) (IHC (p))
  • Épitope

    • 14
    • 7
    • 7
    • 6
    • 2
    AA 2401-2600

     Réactivité croisée

    Humain, Souris, Rat

    Homologie

    Dog,Cow,Sheep,Pig,Horse,Rabbit

    Purification

    Purified by Protein A.

    Immunogène

    KLH conjugated synthetic peptide derived from human NSD1

    Isotype

    IgG
  • Indications d'application

    ELISA 1:500-1000
    IHC-P 1:200-400
    IHC-F 1:100-500
    IF(IHC-P) 1:50-200
    IF(IHC-F) 1:50-200
    IF(ICC) 1:50-200

    Restrictions

    For Research Use only
  • Format

    Liquid

    Concentration

    1 μg/μL

    Buffer

    0.01M TBS( pH 7.4) with 1 % BSA, 0.02 % Proclin300 and 50 % Glycerol.

    Agent conservateur

    ProClin

    Précaution d'utilisation

    This product contains ProClin: a POISONOUS AND HAZARDOUS SUBSTANCE, which should be handled by trained staff only.

    Stock

    4 °C,-20 °C

    Stockage commentaire

    Shipped at 4°C. Store at -20°C for one year. Avoid repeated freeze/thaw cycles.

    Date de péremption

    12 months
  • Antigène

    NSD1 (Nuclear Receptor Binding SET Domain Protein 1 (NSD1))

    Autre désignation

    Nsd1

    Sujet

    Synonyms: Androgen receptor coactivator 267 kDa protein, Androgen receptor-associated protein of 267 kDa, ARA267, H3 K36 HMTase, H3-K36-HMTase, H4 K20 HMTase, H4-K20-HMTase, Histone-lysine N-methyltransferase, H3 lysine-36 and H4 lysine-20 specic, KMT3B, Lysine N-methyltransferase 3B, NR binding SET domain containing protein, NR-binding SET domain-containing protein, Nsd1, NSD1_HUMAN, Nuclear receptor binding SET domain containing protein 1, Nuclear receptor-binding SET domain-containing protein 1.

    Background: This gene encodes a protein containing a SET domain, 2 LXXLL motifs, 3 nuclear translocation signals (NLSs), 4 plant homeodomain (PHD) finger regions, and a proline-rich region. The encoded protein enhances androgen receptor (AR) transactivation, and this enhancement can be increased further in the presence of other androgen receptor associated coregulators. This protein may act as a nucleus-localized, basic transcriptional factor and also as a bifunctional transcriptional regulator. Mutations of this gene have been associated with Sotos syndrome and Weaver syndrome. One version of childhood acute myeloid leukemia is the result of a cryptic translocation with the breakpoints occurring within nuclear receptor-binding Su-var, enhancer of zeste, and trithorax domain protein 1 on chromosome 5 and nucleoporin, 98-kd on chromosome 11. Two transcript variants encoding distinct isoforms have been identified for this gene. [provided by RefSeq, Jul 2008].

    ID gène

    64324
Vous êtes ici:
Chat with us!