Tel:
+49 (0)241 95 163 153
Fax:
+49 (0)241 95 163 155
E-Mail:
orders@anticorps-enligne.fr

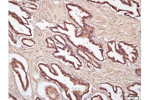
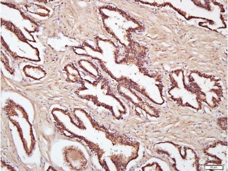
ALOX15B anticorps (AA 13-110)

Cet anticorps anti-ALOX15B Polyclonal Lapin (ABIN873138) détecte spécifiquement ALOX15B dans ELISA, IF (cc), IF (p), IHC (p) et IHC (fro). L’anticorps est réactif avec des échantillons de Rat.
N° du produit ABIN873138
357,70 €
Plus frais de livraison 40,00 € et TVA
100 μL
Destination: France
Envoi sous 8 à 12 jours ouvrables

Aperçu rapide pour ALOX15B anticorps (AA 13-110) (ABIN873138)

Antigène

Voir toutes ALOX15B Anticorps
ALOX15B (Arachidonate 15-Lipoxygenase B (ALOX15B))

Reactivité

  • 35
  • 20
  • 6
  • 5
  • 4
  • 4
  • 4
  • 2
  • 2
  • 1
Rat

Hôte

  • 47
  • 2
Lapin

Clonalité

  • 47
  • 2
Polyclonal

Conjugué

  • 25
  • 3
  • 2
  • 2
  • 1
  • 1
  • 1
  • 1
  • 1
  • 1
  • 1
  • 1
  • 1
  • 1
  • 1
  • 1
  • 1
  • 1
  • 1
  • 1
  • 1
Cet anticorp ALOX15B est non-conjugé

Application

  • 23
  • 14
  • 12
  • 12
  • 9
  • 5
  • 5
  • 2
  • 2
  • 1
  • 1
  • 1
  • 1
ELISA, Immunofluorescence (Cultured Cells) (IF (cc)), Immunofluorescence (Paraffin-embedded Sections) (IF (p)), Immunohistochemistry (Paraffin-embedded Sections) (IHC (p)), Immunohistochemistry (Frozen Sections) (IHC (fro))
  • Épitope

    • 14
    • 6
    • 4
    • 4
    • 3
    • 2
    • 2
    • 1
    • 1
    • 1
    • 1
    • 1
    • 1
    • 1
    • 1
    AA 13-110

     Réactivité croisée

    Rat

    Homologie

    Human,Mouse,Cow,Pig,Horse,Rabbit

    Purification

    Purified by Protein A.

    Immunogène

    KLH conjugated synthetic peptide derived from human ALOX15B/15 Lipoxygenase 2

    Isotype

    IgG
  • Indications d'application

    ELISA 1:500-1000
    IHC-P 1:200-400
    IHC-F 1:100-500
    IF(IHC-P) 1:50-200
    IF(IHC-F) 1:50-200
    IF(ICC) 1:50-200

    Restrictions

    For Research Use only
  • Format

    Liquid

    Concentration

    1 μg/μL

    Buffer

    0.01M TBS( pH 7.4) with 1 % BSA, 0.02 % Proclin300 and 50 % Glycerol.

    Agent conservateur

    ProClin

    Précaution d'utilisation

    This product contains ProClin: a POISONOUS AND HAZARDOUS SUBSTANCE, which should be handled by trained staff only.

    Stock

    4 °C,-20 °C

    Stockage commentaire

    Shipped at 4°C. Store at -20°C for one year. Avoid repeated freeze/thaw cycles.

    Date de péremption

    12 months
  • Antigène

    ALOX15B (Arachidonate 15-Lipoxygenase B (ALOX15B))

    Autre désignation

    ALOX15B

    Sujet

    Synonyms: 15-LOX-2, Arachidonate 15-lipoxygenase B, 15-LOX-B, 15-lipoxygenase 2, Arachidonate 15-lipoxygenase type II, Linoleate 13-lipoxygenase 15-LOb, ALOX15B

    Background: Non-heme iron-containing dioxygenase that catalyzes the stereo-specific peroxidation of free and esterified polyunsaturated fatty acids generating a spectrum of bioactive lipid mediators. Converts arachidonic acid to 15S-hydroperoxyeicosatetraenoic acid/(15S)-HPETE. Also acts on linoleic acid to produce 13-hydroxyoctadecadienoic acid/13-HPODE. Has no detectable 8S-lipoxygenase activity but reacts with (8S)-HPETE to produce (8S,15S)-diHPETE. May regulate progression through the cell cycle and cell proliferation. May also regulate cytokine secretion by macrophages and therefore play a role in the immune response. May also regulate macrophage differentiation into proatherogenic foam cells.

    ID gène

    247

    UniProt

    O15296
Vous êtes ici:
Chat with us!