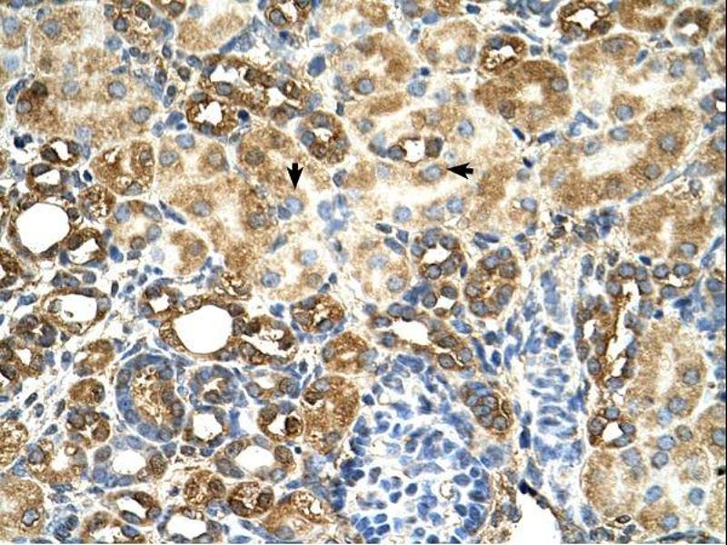
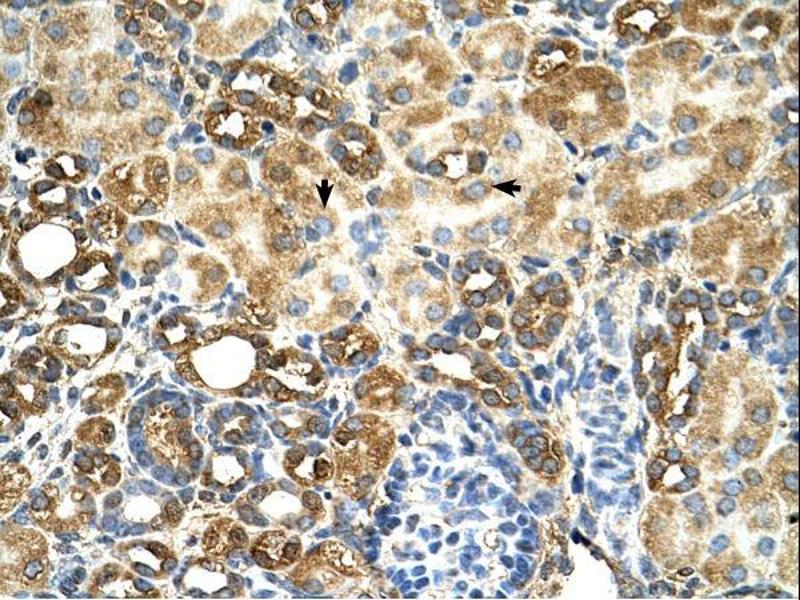
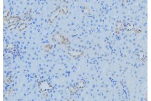
TAM41 anticorps (N-Term)
Aperçu rapide pour TAM41 anticorps (N-Term) (ABIN925970)
Antigène
Voir toutes TAM41 (TAMM41) AnticorpsReactivité
Hôte
Clonalité
Conjugué
Application
-
-
Épitope
- N-Term
-
Réactivité croisée
- Boeuf (Vache)
-
Immunogène
- C3 orf31 antibody was raised in rabbit using the N terminal of C3 RF31 as the immunogen
-
-
-
-
Indications d'application
- Optimal conditions should be determined by the investigator.
-
Commentaires
-
C3orf31 Blocking Peptide, (ABIN5612513), is also available for use as a blocking control in assays to test for specificity of this C3orf31 antibody
-
Restrictions
- For Research Use only
-
-
-
Format
- Lyophilized
-
Concentration
- Lot specific
-
Buffer
- Lyophilized powder. Add 100 µL of distilled water. Final antibody concentration is 1 mg/mL in PBS buffer.
-
Conseil sur la manipulation
- Avoid repeated freeze/thaw cycles.
-
Stock
- 4 °C/-20 °C
-
Stockage commentaire
- Store at 4 °C, following reconstitution, aliquot and store at -20 °C.
-
-
- TAM41 (TAMM41) (TAM41, Mitochondrial Translocator Assembly and Maintenance Protein (TAMM41))
-
Autre désignation
- C3orf31
-
Sujet
- C3orf31 may be involved in the translocation of transit peptide-containing proteins across the mitochondrial inner membrane. Synonyms: Polyclonal C3orf31 antibody, Anti-C3orf31 antibodyDKFZp434E0519 antibody, MGC16471 antibody.
Antigène
-