Tel:
+49 (0)241 95 163 153
Fax:
+49 (0)241 95 163 155
E-Mail:
orders@anticorps-enligne.fr

KSHV K8 alpha anticorps

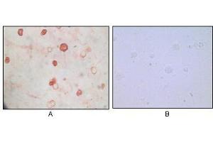
L’anticorps anti-KSHV K8 alpha Monoclonal Souris est utilisé pour la détection de KSHV K8 alpha dans des échantillons de Human Herpesvirus 8 (HHV-8). Il a été validé pour ICC, WB et ELISA.
N° du produit ABIN933839
1.321,10 €
Plus frais de livraison 40,00 € et TVA
100 μL
Destination: France
Envoi sous 13 à 17 jours ouvrables

Aperçu rapide pour KSHV K8 alpha anticorps (ABIN933839)

Antigène

KSHV K8 alpha

Reactivité

Human Herpesvirus 8 (HHV-8)

Hôte

  • 2
Souris

Clonalité

  • 2
Monoclonal

Conjugué

  • 2
Inconjugué

Application

  • 2
  • 2
  • 1
  • 1
Immunocytochemistry (ICC), Western Blotting (WB), ELISA

Clone

8C12G10G1
  • Immunogène

    KSHV K8 alpha antibody was raised in Mouse using a purified recombinant fragment of KSHV K8alpha expressed in E. coli as the immunogen.

    Isotype

    IgG2a
  • Indications d'application

    ELISA: 1:10,000, ICC: 1:200-1:1000, WB: 1:500-1:2000

    Restrictions

    For Research Use only
  • Format

    Liquid

    Concentration

    Lot specific

    Buffer

    as a liquid In ascitic fluid containg 0.03 % sodium azide.

    Agent conservateur

    Sodium azide

    Précaution d'utilisation

    This product contains Sodium azide: a POISONOUS AND HAZARDOUS SUBSTANCE which should be handled by trained staff only.

    Conseil sur la manipulation

    Avoid repeated freeze/thaw cycles

    Stock

    -20 °C

    Stockage commentaire

    Store at 4 °C for short term storage. Store at -20 °C for long term storage.
  • Antigène

    KSHV K8 alpha

    Classe de substances

    Viral Protein
Vous êtes ici:
Chat with us!