Tel:
+49 (0)241 95 163 153
Fax:
+49 (0)241 95 163 155
E-Mail:
orders@anticorps-enligne.fr

CD44 anticorps

Il existe 2+ publications pour ce produit. L’anticorps anti-CD44 Monoclonal Souris est utilisé pour la détection de CD44 dans des échantillons de Humain, Chien et Porc. Il a été validé pour FACS, WB, IHC (p) et IP.
N° du produit ABIN94121
294,49 €
Plus frais de livraison 40,00 € et TVA
100 μg
Destination: France
Envoi sous 2 à 4 jours ouvrables

Aperçu rapide pour CD44 anticorps (ABIN94121)

Antigène

Voir toutes CD44 Anticorps
CD44

Reactivité

  • 421
  • 190
  • 88
  • 31
  • 30
  • 29
  • 26
  • 22
  • 14
  • 13
  • 7
  • 7
  • 7
  • 5
  • 4
  • 4
  • 2
  • 2
  • 1
  • 1
  • 1
  • 1
  • 1
Humain, Chien, Porc

Hôte

  • 220
  • 168
  • 111
  • 11
  • 1
Souris

Clonalité

  • 391
  • 114
  • 3
Monoclonal

Conjugué

  • 206
  • 49
  • 33
  • 29
  • 24
  • 10
  • 9
  • 8
  • 8
  • 6
  • 5
  • 5
  • 5
  • 5
  • 5
  • 4
  • 4
  • 4
  • 3
  • 3
  • 3
  • 3
  • 3
  • 3
  • 3
  • 3
  • 3
  • 3
  • 3
  • 3
  • 3
  • 3
  • 3
  • 3
  • 3
  • 3
  • 3
  • 3
  • 3
  • 3
  • 2
  • 2
  • 2
  • 2
  • 2
  • 2
  • 2
  • 1
  • 1
  • 1
  • 1
Cet anticorp CD44 est non-conjugé

Application

  • 347
  • 213
  • 161
  • 97
  • 82
  • 79
  • 65
  • 50
  • 40
  • 39
  • 33
  • 29
  • 15
  • 9
  • 7
  • 6
  • 6
  • 5
  • 4
  • 3
  • 3
  • 3
  • 2
  • 2
  • 2
  • 2
  • 2
  • 2
  • 1
  • 1
  • 1
  • 1
  • 1
  • 1
Flow Cytometry (FACS), Western Blotting (WB), Immunohistochemistry (Paraffin-embedded Sections) (IHC (p)), Immunoprecipitation (IP)

Clone

MEM-263
  • Fonction

    Anti-Hu CD44 Purified

    Réactivité croisée (Details)

    Human, Porcine, Canine (Dog)

    Attributs du produit

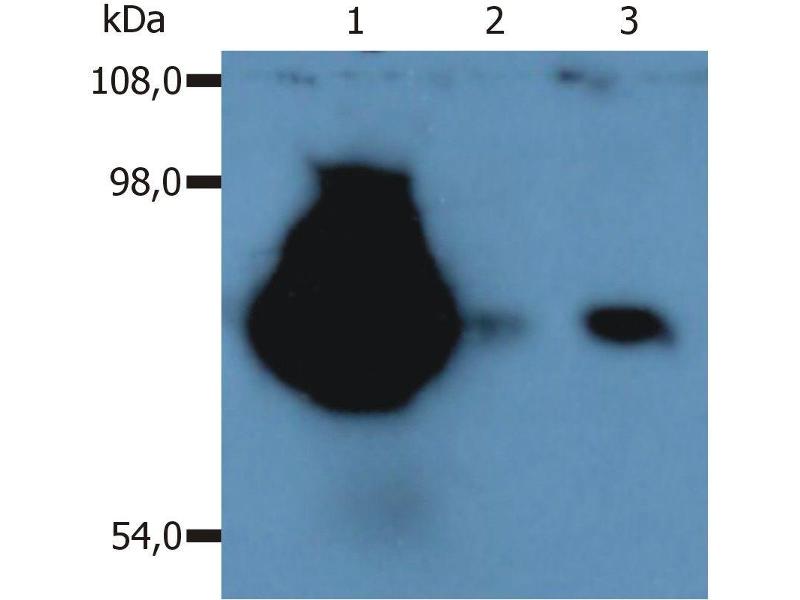
    The antibody MEM-263 reacts with extracellular (N-terminal) domain of standard CD44 (Phagocyte glycoprotein 1), a 80-95 kDa transmembrane glycoprotein (hyaladherin family) present on the most of cells and tissues (leukocytes, endothelial cells, mesenchymal cells, etc.), it is negative on platelets and hepatocytes.

    Purification

    Purified by protein-A affinity chromatography.

    Pureté

    > 95 % (by SDS-PAGE)

    Immunogène

    COS-7 cells (African Green Monkey).

    Isotype

    IgG1
  • Indications d'application

    Flow cytometry: Recommended dilution: 4 μg/mL.
    Western blotting: Recommended dilution: 2 μg/mL, 60 min on vertical incubator, positive control: Kg-1a human acute leukemia cell lysate, JURKAT human leukemia T-cell lysate, non-reducing conditions, 6 % separating gel.
    Immunohistochemistry (paraffin sections): Recommended dilution: 10 μg/mL, positive tissue: uterus, myometrium.

    Restrictions

    For Research Use only
  • Format

    Liquid

    Concentration

    1 mg/mL

    Buffer

    Phosphate buffered saline (PBS), pH 7.4, 15 mM sodium azide

    Agent conservateur

    Sodium azide

    Précaution d'utilisation

    This product contains Sodium azide: a POISONOUS AND HAZARDOUS SUBSTANCE which should be handled by trained staff only.

    Conseil sur la manipulation

    Do not freeze

    Stock

    4 °C

    Stockage commentaire

    Store at 2-8°C. Do not freeze.
  • Elashry, Gaertner, Klymiuk, Eldaey, Wenisch, Arnhold: "Characterisation of stemness and multipotency of ovine muscle-derived stem cells from various muscle sources." dans: Journal of anatomy, Vol. 239, Issue 2, pp. 336-350, (2021) (PubMed).

    Klein, Weisshardt, Kleff, Jastrow, Jakob, Ergün: "Vascular wall-resident CD44+ multipotent stem cells give rise to pericytes and smooth muscle cells and contribute to new vessel maturation." dans: PLoS ONE, Vol. 6, Issue 5, pp. e20540, (2011) (PubMed).

  • Antigène

    CD44

    Autre désignation

    CD44

    Sujet

    CD44 Molecule,CD44 is a transmembrane glycoprotein expressed on the surface of most cells, which serves as a receptor for hyaluronan. CD44 mediates angiogenesis, cell adhesion, proliferation and migration, it is thus important for lymphocyte activation, recirculation and homing, it can thus serve e.g. as a modulator of macrophage recruitment in response to pathogen. Although CD44 functions are essential for physiological activities of normal cells, elevated CD44 expression correlates with poor prognosis in many carcinomas, facilitating tumour growth and metastasis, antiapoptosis and directional motility of cancer cells.,PGP-I, HUTCH-I, ECMR-III, Hermes antigen, Hyaluronate receptor, Heparan sulfate proteoglycan, Epican, MC56, MIC4, INLU, LHR

    ID gène

    960

    UniProt

    P16070

    Pathways

    Glycosaminoglycan Metabolic Process, Autophagy, Negative Regulation of intrinsic apoptotic Signaling
Vous êtes ici:
Chat with us!