Tel:
+49 (0)241 95 163 153
Fax:
+49 (0)241 95 163 155
E-Mail:
orders@anticorps-enligne.fr

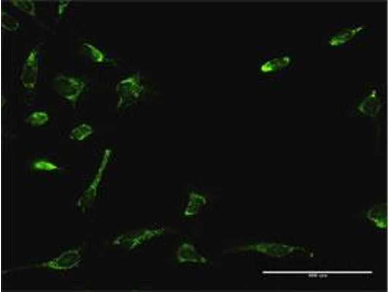
ATAD3A anticorps (AA 1-586)

Il existe 1 publication pour ce produit. L’anticorps anti-ATAD3A Polyclonal Lapin est utilisé pour la détection de ATAD3A dans des échantillons de Humain. Il a été validé pour WB, IF et IP.
N° du produit ABIN950090
636,80 €
Plus frais de livraison 40,00 € et TVA
100 μL
Destination: France
Envoi sous 8 à 9 jours ouvrables

Aperçu rapide pour ATAD3A anticorps (AA 1-586) (ABIN950090)

Antigène

Voir toutes ATAD3A Anticorps
ATAD3A (ATPase Family, AAA Domain Containing 3A (ATAD3A))

Reactivité

  • 30
  • 21
  • 19
  • 2
  • 2
  • 2
  • 1
  • 1
  • 1
Humain

Hôte

  • 28
  • 2
Lapin

Clonalité

  • 30
Polyclonal

Conjugué

  • 13
  • 2
  • 2
  • 2
  • 1
  • 1
  • 1
  • 1
  • 1
  • 1
  • 1
  • 1
  • 1
  • 1
  • 1
Cet anticorp ATAD3A est non-conjugé

Application

  • 27
  • 13
  • 7
  • 4
  • 4
  • 2
  • 1
  • 1
  • 1
Western Blotting (WB), Immunofluorescence (IF), Immunoprecipitation (IP)
  • Épitope

    • 4
    • 3
    • 3
    • 2
    • 1
    • 1
    • 1
    AA 1-586

    Fonction

    Rabbit polyclonal antibody raised against a full-length human ATAD3A protein.

    Séquence

    MSWLFGINKG PKGEGAGPPP PLPPAQPGAE GGGDRGLGDR PAPKDKWSNF DPTGLERAAK AARELEHSRY AKDALNLAQM QEQTLQLEQQ SKLKEYEAAV EQLKSEQIRA QAEERRKTLS EETRQHQARA QYQDKLARQR YEDQLKQQQL LNEENLRKQE ESVQKQEAMR RATVEREMEL RHKNEMLRVE AEARARAKAE RENADIIREQ IRLKAAEHRQ TVLESIRTAG TLFGEGFRAF VTDWDKVTAT VAGLTLLAVG VYSAKNATLV AGRFIEARLG KPSLVRETSR ITVLEALRHP IQVSRRLLSR PQDALEGVVL SPSLEARVRD IAIATRNTKK NRSLYRNILM YGPPGTGKTL FAKKLALHSG MDYAIMTGGD VAPMGREGVT AMHKLFDWAN TSRRGLLLFV DEADAFLRKR ATEKISEDLR ATLNAFLYRT GQHSNKFMLV LASNQPEQFD WAINDRINEM VHFDLPGQEE RERLVRMYFD KYVLKPATEG KQRLKLAQFD YGRKCSEVAR LTEGMSGREI AQLAVSWQAT AYASEDGVLT EAMMDTRVQD AVQQHQQKMC WLKAEGPGRG DEPSPS

     Réactivité croisée

    Humain, Souris

    Attributs du produit

    Antibody reactive against mammalian transfected lysate.

    Immunogène

    ATAD3A (AAH33109.1, 1 a.a. ~ 586 a.a) full-length human protein.
  • Indications d'application

    Optimal working dilution should be determined by the investigator.

    Restrictions

    For Research Use only
  • Format

    Liquid

    Buffer

    No additive

    Agent conservateur

    Without preservative

    Conseil sur la manipulation

    Aliquot to avoid repeated freezing and thawing.

    Stock

    -20 °C

    Stockage commentaire

    Store at -20°C or lower. Aliquot to avoid repeated freezing and thawing.
  • Goller, Seibold, Kremmer, Voos, Kolanus: "Atad3 function is essential for early post-implantation development in the mouse." dans: PLoS ONE, Vol. 8, Issue 1, pp. e54799, (2013) (PubMed).

  • Antigène

    ATAD3A (ATPase Family, AAA Domain Containing 3A (ATAD3A))

    Autre désignation

    ATAD3A

    Sujet

    Full Gene Name: ATPase family, AAA domain containing 3A
    Synonyms: FLJ10709

    ID gène

    55210
Vous êtes ici:
Chat with us!