Tel:
+49 (0)241 95 163 153
Fax:
+49 (0)241 95 163 155
E-Mail:
orders@anticorps-enligne.fr

CLCA1 anticorps

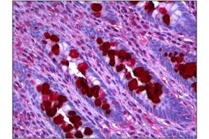
L’anticorps anti-CLCA1 Monoclonal Souris est utilisé pour la détection de CLCA1 dans des échantillons de Humain. Il a été validé pour WB, IHC (p) et EIA.
N° du produit ABIN951554
726,77 €
Plus frais de livraison 40,00 € et TVA
50 μg
Destination: France
Envoi sous 17 jours ouvrables

Aperçu rapide pour CLCA1 anticorps (ABIN951554)

Antigène

Voir toutes CLCA1 Anticorps
CLCA1 (Chloride Channel Accessory 1 (CLCA1))

Reactivité

  • 23
  • 4
  • 3
Humain

Hôte

  • 16
  • 6
  • 2
Souris

Clonalité

  • 18
  • 6
Monoclonal

Conjugué

  • 21
  • 1
  • 1
  • 1
Cet anticorp CLCA1 est non-conjugé

Application

  • 18
  • 13
  • 11
  • 6
  • 6
  • 4
  • 3
  • 2
  • 1
Western Blotting (WB), Immunohistochemistry (Paraffin-embedded Sections) (IHC (p)), Enzyme Immunoassay (EIA)

Clone

1C4
  • Specificité

    This antibody recognizes CLCA1

    Réactivité croisée (Details)

    Species reactivity (tested):Human.

    Purification

    Protein A Chromatography

    Immunogène

    Recombinant protein.

    Isotype

    IgG2a
  • Indications d'application

    Optimal working dilution should be determined by the investigator.

    Restrictions

    For Research Use only
  • Buffer

    PBS, pH 7.2

    Conseil sur la manipulation

    Avoid repeated freezing and thawing.

    Stock

    4 °C/-20 °C

    Stockage commentaire

    Store the antibody undiluted at 2-8 °C for one month or (in aliquots) at -20 °C for longer.
  • Antigène

    CLCA1 (Chloride Channel Accessory 1 (CLCA1))

    Autre désignation

    CLCA1

    Sujet

    CLCA1 belongs to the calcium sensitive chloride conductance protein family. To date, all members of this gene family map to the same site on chromosome 1p31-p22 and share high degrees of homology in size, sequence and predicted structure, but differ significantly in their tissue distributions. This gene product is expressed predominantly in the small intestine and colon mucosa, and may be involved in secretory or absorptive processes.Synonyms: CACC1, CaCC-1, Calcium-activated chloride channel family member 1, Calcium-activated chloride channel regulator 1

    ID gène

    1179

    NCBI Accession

    NP_001276

    UniProt

    A8K7I4
Vous êtes ici:
Chat with us!